Suppr超能文献

成人伴横纹肌样分化的膀胱尿路上皮肿瘤:临床、病理和免疫组织化学研究。

Adult urinary bladder tumors with rhabdomyosarcomatous differentiation: clinical, pathological and immunohistochemical studies.

机构信息

Department of Pathology and Laboratory Medicine, Hospital of the University of Pennsylvania, Philadelphia, PA, USA.

出版信息

Diagn Pathol. 2011 Jul 15;6:66. doi: 10.1186/1746-1596-6-66.

Abstract

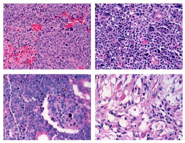
Adult rhabdomyosarcoma (RMS) in the urinary bladder is rare, and is the subject of case reports and small series. It consists of sheets of small round blue cells with high nuclear cytoplasmic ratio, brisk mitosis and apoptosis. In this study, we reported one case of pure rhabdomyosarcoma and two cases of urothelial carcinomas with extensive rhabdomyosarcomatous differentiation. In addition, their immunohistochemical profile was compared to that of small cell carcinoma of the bladder. Our study showed that sufficient sampling was critical for the diagnosis of urothelial carcinoma with extensive rhabdomyosarcomatous differentiation. As adult RMS in the bladder and urothelial carcinoma with rhabdomyosarcomatous differentiation shared morphological features with small cell carcinoma of the bladder, appropriate immunohistochemical stains were necessary in the differential diagnosis. We showed both rhabdomyosarcoma and rhabdomyosarcomatous areas of the urothelial carcinoma were positive for myogenin, negative for cytokeratin and chromogranin stains. In contrast, small cell carcinoma was positive for cytokeratin, and 7 out of 9 cases were also positive for chromogranin. Both rhabdomyosarcoma and small cell carcinoma could be positive for synaptophysin, a potential pitfall to avoid. In addition, all of the tumors with rhabdomyosarcomatous differentiation were negative for FKHR rearrangement.

摘要

成人膀胱横纹肌肉瘤(RMS)较为罕见,目前仅见于病例报告和小样本研究。该肿瘤由核浆比例高、有丝分裂活跃和凋亡明显的小圆形蓝色细胞构成。本研究报道了 1 例纯横纹肌肉瘤和 2 例广泛横纹肌肉瘤分化的尿路上皮癌。此外,我们比较了其免疫组化表型与膀胱小细胞癌的免疫组化表型。本研究表明,充分的取材对于诊断广泛横纹肌肉瘤分化的尿路上皮癌至关重要。由于膀胱成人 RMS 和具有横纹肌肉瘤分化的尿路上皮癌与膀胱小细胞癌在形态学上具有相似性,因此在鉴别诊断中需要进行适当的免疫组化染色。我们的研究结果显示,横纹肌肉瘤和尿路上皮癌的横纹肌肉瘤分化区域均对肌球蛋白原呈阳性,对细胞角蛋白和嗜铬粒蛋白染色呈阴性。相比之下,小细胞癌对细胞角蛋白呈阳性,9 例中有 7 例对嗜铬粒蛋白呈阳性。横纹肌肉瘤和小细胞癌都可能对突触素呈阳性,这是一个潜在的误诊陷阱。此外,所有具有横纹肌肉瘤分化的肿瘤均对 FKHR 重排呈阴性。

https://cdn.ncbi.nlm.nih.gov/pmc/blobs/f443/3150238/537ff2267434/1746-1596-6-66-1.jpg

文献检索

告别复杂PubMed语法,用中文像聊天一样搜索,搜遍4000万医学文献。AI智能推荐,让科研检索更轻松。

立即免费搜索

文件翻译

保留排版,准确专业,支持PDF/Word/PPT等文件格式,支持 12+语言互译。

免费翻译文档

深度研究

AI帮你快速写综述,25分钟生成高质量综述,智能提取关键信息,辅助科研写作。

立即免费体验