Gu Hua, Zhao Zhaohui
Department of Neurosurgery, The First People's Hospital of Huzhou (First Affiliated Hospital of Huzhou University), Huzhou, Zhejiang 313000, P.R. China.
Exp Ther Med. 2022 Nov 2;24(6):740. doi: 10.3892/etm.2022.11676. eCollection 2022 Dec.
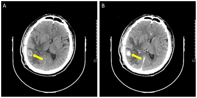
Intracranial infectious aneurysm (IIA) is one of the most severe complications of infective endocarditis (IE). Approximately 2-9% of patients with IE have IIA, which possibly results in severe neurological deficits. Currently, the most common treatment for IIA is endovascular treatment, while excision surgery is less common. The present study describes the case of a 33-year-old male patient who underwent a primary evacuation of an intracerebral hemorrhage (ICH) in the right temporal lobe. The patient was diagnosed with IE and IIA by examinations with an enhanced computed tomography scan, echocardiography and blood culture. In the recovery period after surgery, the patient suffered intracerebral rebleeding and underwent a surgery of IIA excision. The patient finally achieved a good prognosis without severe neurological dysfunction. In summary, IIAs are extremely rare entities, and a rare cause of spontaneous ICH. Previous research has demonstrated that the majority of ruptured IIAs receive endovascular treatment rather than conventional surgery. In the case presented herein, IIA surgical excision was successfully performed and complete pathological results were obtained, which has rarely been reported in the literature. The present case report reinforces the validity of traditional craniotomy according to the characteristics of IIAs.
颅内感染性动脉瘤(IIA)是感染性心内膜炎(IE)最严重的并发症之一。约2-9%的IE患者患有IIA,这可能导致严重的神经功能缺损。目前,IIA最常见的治疗方法是血管内治疗,而切除手术则较少见。本研究描述了一名33岁男性患者的病例,该患者接受了右侧颞叶脑出血(ICH)的初次血肿清除术。通过增强计算机断层扫描、超声心动图和血培养检查,该患者被诊断为IE和IIA。在术后恢复期,患者发生颅内再出血,并接受了IIA切除术。患者最终获得了良好的预后,没有严重的神经功能障碍。总之,IIA是极为罕见的疾病,是自发性ICH的罕见原因。先前的研究表明,大多数破裂的IIA接受血管内治疗而非传统手术。在本文报道的病例中,成功进行了IIA手术切除并获得了完整的病理结果,这在文献中鲜有报道。本病例报告根据IIA的特点强化了传统开颅手术的有效性。