Ophthalmic Research Center, Research Institute for Ophthalmology and Vision Science, Shahid Beheshti University of Medical Sciences, Tehran, Iran; Department of Ophthalmology, Labbafinejad Medical Center, Shahid Beheshti University of Medical Sciences, Tehran, Iran.
Ophthalmic Research Center, Research Institute for Ophthalmology and Vision Science, Shahid Beheshti University of Medical Sciences, Tehran, Iran; School of Medicine, Isfahan University of Medical Sciences, Isfahan, Iran; Network of Immunity in Infection, Malignancy, and Autoimmunity (NIIMA), Universal Scientific Education and Research Network (USERN), Isfahan, Iran.
J Fr Ophtalmol. 2023 Jan;46(1):72-82. doi: 10.1016/j.jfo.2022.09.008. Epub 2022 Nov 24.
To review cases of acute macular neuroretinopathy (AMN) after COVID-19 vaccination and add a similar case to the literature.
A thorough PubMed search was conducted, and data from studies describing AMN after COVID-19 vaccination were extracted, tabulated, pooled, and reviewed.
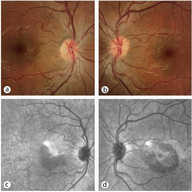
We present a case of AMN in a young woman 5 days after immunization with the BBIBP-CorV (Sinopharm) COVID-19 vaccine. Data from 21 cases were pooled and reviewed. The most frequent vaccines among the cases were recombinant ones (13/21), followed by mRNA-based (6/21) and inactivated vaccines (2/21). Only one patient (5%) was male. Seventeen over twenty-one (81%) were young women, ages 18-33. Most cases (14/21; 67%) reported recent/concurrent use of contraceptive medication. In 90% of cases (19/21), symptoms appeared within 8 days of vaccination. A confined wedge-/oval-shaped lesion morphology was more frequent than a diffuse, semilunar one. Resolution of symptoms took 4 to over 15 weeks.
Attention should be paid to the history of vaccination and contraceptive use in patients with sudden-onset visual symptoms. Optical coherence tomography is integral to the detection of AMN-related abnormalities.
回顾 COVID-19 疫苗接种后发生的急性黄斑神经视网膜病变(AMN)病例,并将类似病例添加到文献中。
对 PubMed 进行了全面检索,提取并汇总了描述 COVID-19 疫苗接种后 AMN 的研究数据,并进行了回顾。
我们报告了一例年轻女性在接种 BBIBP-CorV(国药)COVID-19 疫苗后 5 天发生 AMN 的病例。汇总并回顾了 21 例病例的数据。病例中最常见的疫苗是重组疫苗(13/21),其次是 mRNA 疫苗(6/21)和灭活疫苗(2/21)。仅有 1 名患者(5%)为男性。21 名患者中有 17 名(81%)为年轻女性,年龄在 18-33 岁之间。大多数病例(14/21;67%)报告了最近/同时使用避孕药。90%的病例(19/21)在接种疫苗后 8 天内出现症状。局限性楔形/椭圆形病变形态比弥漫性、半月形病变形态更常见。症状的缓解需要 4 到 15 周以上的时间。
在出现突发性视觉症状的患者中,应注意疫苗接种和避孕药使用的病史。光学相干断层扫描对于检测 AMN 相关异常至关重要。