Suppr超能文献

严重 COVID-19 相关心肌炎合并心源性休克 - 辅助设备治疗 - 一例报告并复习。

Severe COVID-19-associated myocarditis with cardiogenic shock - management with assist devices - a case report & review.

机构信息

Department of Anaesthesiology, Intensive Care Medicine and Pain Therapy, University Hospital Frankfurt, Goethe University Frankfurt, Frankfurt, Germany.

Division of Cardiology, Department of Internal Medicine III, University Hospital Frankfurt, Goethe University Frankfurt, Frankfurt, Germany.

出版信息

BMC Anesthesiol. 2022 Dec 12;22(1):385. doi: 10.1186/s12871-022-01890-4.

Abstract

BACKGROUND

Primary viral myocarditis associated with severe acute respiratory syndrome coronavirus 2 (SARS-Cov2) infection is a rare diagnosis.

CASE PRESENTATION

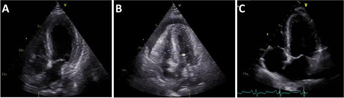
We report the case of an unvaccinated, healthy patient with cardiogenic shock in the context of a COVID-19-associated myocarditis and therapy with simultaneous veno-arterial extracorporeal membrane oxygenation (VA-ECMO) and percutaneous left ventricular decompression therapy with an Impella. The aim of this review is to provide an overview of therapeutic options for patients with COVID-19-associated myocarditis.

CONCLUSIONS

The majority of patients required a combination of two assist devices to achieve sufficient cardiac output until recovery of left ventricular ejection fraction. Due to the rapid onset of this fulminant cardiogenic shock immediate invasive bridging therapy in a specialized center was lifesaving.

摘要

背景

与严重急性呼吸综合征冠状病毒 2 (SARS-CoV2) 感染相关的原发性病毒性心肌炎是一种罕见的诊断。

病例介绍

我们报告了一例未接种疫苗的健康患者,因 COVID-19 相关性心肌炎合并心源性休克,同时接受静脉-动脉体外膜肺氧合 (VA-ECMO) 和 Impella 经皮左心室减压治疗。本综述的目的是提供 COVID-19 相关性心肌炎患者治疗选择的概述。

结论

大多数患者需要两种辅助设备联合使用,以在左心室射血分数恢复之前获得足够的心输出量。由于这种暴发性心源性休克的快速发作,在专门中心进行即刻有创桥接治疗是挽救生命的关键。

https://cdn.ncbi.nlm.nih.gov/pmc/blobs/62bb/9743770/cdd82643b1cb/12871_2022_1890_Fig1_HTML.jpg

文献AI研究员

20分钟写一篇综述,助力文献阅读效率提升50倍。

立即体验

用中文搜PubMed

大模型驱动的PubMed中文搜索引擎

马上搜索

文档翻译

学术文献翻译模型,支持多种主流文档格式。

立即体验