Suppr超能文献

从(某植物拉丁名)果实中分离得到的桦木酸(一种活性五环三萜)在小鼠体内的单次及重复剂量(28天)静脉毒性评估 。 (注:括号内“(L.)”处原文缺失具体植物拉丁名,需补充完整才能准确翻译植物相关部分)

Single and repeated dose (28 days) intravenous toxicity assessment of bartogenic acid (an active pentacyclic triterpenoid) isolated from (L.) fruits in mice.

作者信息

Dubey Vishal Kumar, Madan Swati, Rajput Satyendra K, Singh Anu T, Jaggi Manu, Mittal Amit Kumar

机构信息

Dabur Research Foundation, 22, Site IV, Sahibabad, Ghaziabad 201010, Uttar Pradesh, India.

Amity Institute of Pharmacy, Amity University Uttar Pradesh, Sector-125, Noida 201313, Uttar Pradesh, India.

出版信息

Curr Res Toxicol. 2021 Oct 28;3:100057. doi: 10.1016/j.crtox.2021.10.004. eCollection 2022.

Abstract

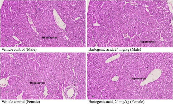
Bartogenic acid (BA), an active pentacyclic triterpenoid, has been reported for anti-diabetic, anti-inflammatory, anti-arthritic, anti-cancer, and anti-tumor activity. However, toxicity profiling of BA has not been reported till date. Hence, this study is designed to evaluate the single dose (12.5, 25, 50 and 100 mg/kg) and repeated dose (1.5, 6, and 24 mg/kg) intravenous toxicity of BA in BALB/c mice. Control group received vehicle. In single dose toxicity study, two mortalities were observed at 100 mg/kg of BA whereas lower doses were well tolerated. In repeated dose toxicity study, no mortality was observed. 1.5 mg/kg of BA was well tolerated in mice of both sexes. At 6 mg/kg of BA, female mice showed significant reduction in the body weight as compared to the control group however no significant change was observed in male mice. 24 mg/kg of BA showed significant reduction in the body weight in mice of both sexes. Further, these mice showed significant change in the relative organ weight. However, no toxicologically relevant changes were observed in hematology, biochemistry, and histopathology. Based on the findings, No-Observed-Adverse-Effect-Level (NOAEL) for BA were found to be<24 mg/kg for male mice and<6 mg/kg for female mice.

摘要

桦木酸(BA)是一种活性五环三萜类化合物,已报道具有抗糖尿病、抗炎、抗关节炎、抗癌和抗肿瘤活性。然而,迄今为止尚未报道过BA的毒性分析。因此,本研究旨在评估BA对BALB/c小鼠的单剂量(12.5、25、50和100mg/kg)和重复剂量(1.5、6和24mg/kg)静脉毒性。对照组给予赋形剂。在单剂量毒性研究中,在100mg/kg的BA剂量下观察到两例死亡,而较低剂量耐受性良好。在重复剂量毒性研究中,未观察到死亡。1.5mg/kg的BA在雌雄小鼠中耐受性良好。在6mg/kg的BA剂量下,雌性小鼠体重与对照组相比显著降低,而雄性小鼠未观察到显著变化。24mg/kg的BA在雌雄小鼠中均显示体重显著降低。此外,这些小鼠的相对器官重量有显著变化。然而,在血液学、生物化学和组织病理学方面未观察到毒理学相关变化。基于这些发现,BA对雄性小鼠的未观察到不良反应水平(NOAEL)为<24mg/kg,对雌性小鼠为<6mg/kg。

https://cdn.ncbi.nlm.nih.gov/pmc/blobs/31f7/9731886/6b02a4299cac/ga1.jpg

文献AI研究员

20分钟写一篇综述,助力文献阅读效率提升50倍。

立即体验

用中文搜PubMed

大模型驱动的PubMed中文搜索引擎

马上搜索

文档翻译

学术文献翻译模型,支持多种主流文档格式。

立即体验