Sakurai Masako, Watari Takashi, Nakamura Itaru, Azuma Kazunari, Homma Hiroshi
Department of Emergency and Critical Care Medicine, Tokyo Medical University, Tokyo, Japan.
General Medicine Center, Shimane University, Shimane, Japan.
Eur J Case Rep Intern Med. 2022 Nov 22;9(11):003653. doi: 10.12890/2022_003653. eCollection 2022.
Meningitis-related acute hydrocephalus is rare, challenging to diagnose, and has a high mortality rate.
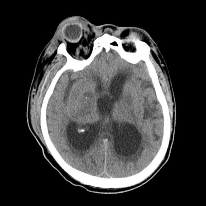
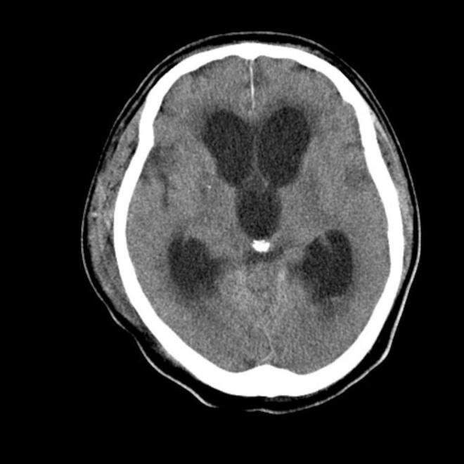
Here we describe the case of a 76-year-old patient diagnosed with bacterial meningitis who developed acute hydrocephalus and subsequently died.
Although meningitis-related acute hydrocephalus is usually non-occlusive, occlusive hydrocephalus may also occur. Moreover, worsening hydrocephalus despite cerebrospinal fluid drainage should prompt a diagnosis of obstructive hydrocephalus. In such conditions, potential management strategies include ventriculoperitoneal shunt and endoscopic third ventriculostomy.
In patients with meningitis-related hydrocephalus, worsening despite appropriate antibiotic administration, treatment may be complicated by ventriculitis and obstructive hydrocephalus, which can be fatal. If intracranial pressure is not medically controlled, bilateral decompression craniectomy should be considered as a potential management strategy.
The extreme rarity of obstructive hydrocephalus caused by bacterial meningitis can lead to delayed diagnosis and treatment.Ventriculoperitoneal shunt and endoscopic third ventriculostomy are the indicated management strategies for early diagnosis of obstructive hydrocephalus.Bilateral decompression craniectomy may be an option in such cases.
脑膜炎相关的急性脑积水较为罕见,诊断具有挑战性,且死亡率很高。
在此我们描述一例76岁诊断为细菌性脑膜炎的患者,该患者并发急性脑积水,随后死亡。
尽管脑膜炎相关的急性脑积水通常为非梗阻性,但也可能发生梗阻性脑积水。此外,尽管进行了脑脊液引流,脑积水仍加重,应提示梗阻性脑积水的诊断。在这种情况下,潜在的治疗策略包括脑室腹腔分流术和内镜下第三脑室造瘘术。
在患有脑膜炎相关脑积水的患者中,尽管给予了适当的抗生素治疗,但病情仍恶化,治疗可能因脑室炎和梗阻性脑积水而复杂化,这可能是致命的。如果颅内压无法通过药物控制,应考虑双侧减压颅骨切除术作为一种潜在的治疗策略。
细菌性脑膜炎引起的梗阻性脑积水极为罕见,可能导致诊断和治疗延迟。脑室腹腔分流术和内镜下第三脑室造瘘术是早期诊断梗阻性脑积水的指定治疗策略。双侧减压颅骨切除术在这种情况下可能是一种选择。