• 文献检索
  • 文档翻译
  • 深度研究
  • 学术资讯
  • Suppr Zotero 插件Zotero 插件
  • 邀请有礼
  • 套餐&价格
  • 历史记录
应用&插件
Suppr Zotero 插件Zotero 插件浏览器插件Mac 客户端Windows 客户端微信小程序
定价
高级版会员购买积分包购买API积分包
服务
文献检索文档翻译深度研究API 文档MCP 服务
关于我们
关于 Suppr公司介绍联系我们用户协议隐私条款
关注我们

Suppr 超能文献

核心技术专利:CN118964589B侵权必究
粤ICP备2023148730 号-1Suppr @ 2026

文献检索

告别复杂PubMed语法,用中文像聊天一样搜索,搜遍4000万医学文献。AI智能推荐,让科研检索更轻松。

立即免费搜索

文件翻译

保留排版,准确专业,支持PDF/Word/PPT等文件格式,支持 12+语言互译。

免费翻译文档

深度研究

AI帮你快速写综述,25分钟生成高质量综述,智能提取关键信息,辅助科研写作。

立即免费体验

类脂蛋白沉积症的口腔表现及牙科治疗考量:一例报告并文献综述

Oral Manifestations and Dental Management Considerations of Lipoid Proteinosis: A Case Report and Review of Literature.

作者信息

Jahanimoghadam Fatemeh, Hasheminejad Jelveh

机构信息

Social Determinants on Oral Health Research Center, Kerman University of Medical Sciences, Kerman Iran.

Pediatric Dentistry Resident, School of Dentistry, Kerman University of Medical Sciences, Kerman, Iran.

出版信息

J Dent (Shiraz). 2022 Sep;23(3):321-326. doi: 10.30476/DENTJODS.2021.89748.1435.

DOI:10.30476/DENTJODS.2021.89748.1435
PMID:36506885
原文链接:https://pmc.ncbi.nlm.nih.gov/articles/PMC9719597/
Abstract

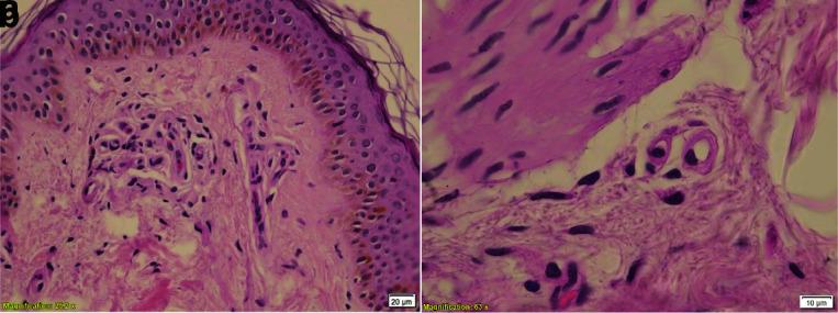
Lipoid proteinosis (LP) is a sporadic congenital metabolic disorder characterized by deposition of hyaline material in various organs. It has a very low prevalence rate of approximately 300 cases reported up to now. It has a vast spectrum of manifestations ranging from asymptomatic skin lesions to the rare but life-threatening laryngeal obstruction. The knowledge of the clinical features of the disease such as hoarseness of voice from infancy, mucocutaneous manifestations, moniliform blepharosis (multiple, beaded papules along the eyelash line) and dental anomalies such as hypoplasia or aplasia of teeth may help oral health care practitioners improve the quality of their patient's life. This case report describes a typical 10-year-old boy who presented to the Department of Pediatric Dentistry, Faculty of Dentistry, University of Medical Sciences, Kerman, Iran with the typical recurrent skin and mucosal lesions, hoarseness, and blepharosis. In addition, he stated a gradual hearing loss, which is not reported as a common manifestation. Moreover, psychosocial issues regarding his appearance and quality of voice had led to absenteeism from school. A punch biopsy obtained from a lesion on his forearm revealed the characteristic histopathological view and directed to the diagnosis of lipoid proteinosis. Dental treatment was initiated with focus on preventive dentistry due to the restricted mouth opening, which was expected to get worse overtime. There is no definitive cure for this disease and the treatment is symptomatic in most cases. A proper workup can result in early diagnosis and management of dental complications, which are difficult to control due to restricted mouth opening, which may significantly affect the patient's social life.

摘要

类脂蛋白沉积症(LP)是一种散发性先天性代谢紊乱疾病,其特征是透明物质在各个器官中沉积。到目前为止,它的患病率极低,仅有约300例报告病例。它有广泛的表现形式,从无症状的皮肤病变到罕见但危及生命的喉梗阻。了解该疾病的临床特征,如婴儿期声音嘶哑、皮肤黏膜表现、念珠状睑裂斑(沿睫毛线的多个串珠状丘疹)以及牙齿发育异常如牙发育不全或牙缺失等,可能有助于口腔保健从业者提高患者的生活质量。本病例报告描述了一名典型的10岁男孩,他因典型的复发性皮肤和黏膜病变、声音嘶哑以及睑裂斑,就诊于伊朗克尔曼医科大学牙科学院儿童牙科。此外,他还表示逐渐出现听力损失,这并非常见表现。而且,关于他的外貌和嗓音质量的心理社会问题导致他缺课。从他前臂的一个病变处获取的穿刺活检显示了特征性的组织病理学表现,从而确诊为类脂蛋白沉积症。由于预计张口受限会随着时间推移而加重,因此牙科治疗以预防牙科为重点展开。这种疾病没有确切的治愈方法,大多数情况下治疗是对症的。适当的检查可以实现牙科并发症的早期诊断和管理,由于张口受限,这些并发症难以控制,这可能会严重影响患者的社交生活。

https://cdn.ncbi.nlm.nih.gov/pmc/blobs/23e3/9719597/608477b3f396/JDS-23-321-g006.jpg
https://cdn.ncbi.nlm.nih.gov/pmc/blobs/23e3/9719597/85d6d2e6ac8a/JDS-23-321-g001.jpg
https://cdn.ncbi.nlm.nih.gov/pmc/blobs/23e3/9719597/34f62cd13cb5/JDS-23-321-g002.jpg
https://cdn.ncbi.nlm.nih.gov/pmc/blobs/23e3/9719597/259932fc85cf/JDS-23-321-g003.jpg
https://cdn.ncbi.nlm.nih.gov/pmc/blobs/23e3/9719597/9a2f4d845d53/JDS-23-321-g004.jpg
https://cdn.ncbi.nlm.nih.gov/pmc/blobs/23e3/9719597/c64817d679a9/JDS-23-321-g005.jpg
https://cdn.ncbi.nlm.nih.gov/pmc/blobs/23e3/9719597/608477b3f396/JDS-23-321-g006.jpg
https://cdn.ncbi.nlm.nih.gov/pmc/blobs/23e3/9719597/85d6d2e6ac8a/JDS-23-321-g001.jpg
https://cdn.ncbi.nlm.nih.gov/pmc/blobs/23e3/9719597/34f62cd13cb5/JDS-23-321-g002.jpg
https://cdn.ncbi.nlm.nih.gov/pmc/blobs/23e3/9719597/259932fc85cf/JDS-23-321-g003.jpg
https://cdn.ncbi.nlm.nih.gov/pmc/blobs/23e3/9719597/9a2f4d845d53/JDS-23-321-g004.jpg
https://cdn.ncbi.nlm.nih.gov/pmc/blobs/23e3/9719597/c64817d679a9/JDS-23-321-g005.jpg
https://cdn.ncbi.nlm.nih.gov/pmc/blobs/23e3/9719597/608477b3f396/JDS-23-321-g006.jpg

相似文献

1
Oral Manifestations and Dental Management Considerations of Lipoid Proteinosis: A Case Report and Review of Literature.类脂蛋白沉积症的口腔表现及牙科治疗考量:一例报告并文献综述
J Dent (Shiraz). 2022 Sep;23(3):321-326. doi: 10.30476/DENTJODS.2021.89748.1435.
2
Lipoid Proteinosis with Esotropia: Report of a Rare Case and Dermoscopic Findings.伴有内斜视的类脂蛋白沉积症:1例罕见病例报告及皮肤镜检查结果
Indian J Dermatol. 2020 Jan-Feb;65(1):53-56. doi: 10.4103/ijd.IJD_523_18.
3
Lipoid Proteinosis类脂蛋白沉积症
4
Lipoid proteinosis.类脂蛋白沉积症
J Oral Maxillofac Pathol. 2009 Jul;13(2):81-4. doi: 10.4103/0973-029X.57675.
5
[Lipoid proteinosis].[类脂蛋白沉积症]
Actas Dermosifiliogr. 2005 Apr;96(3):164-6. doi: 10.1016/s0001-7310(05)73059-3.
6
Lipoid proteinosis: a rare encounter in dental office.类脂蛋白沉积症:牙科诊所中的罕见病例。
Case Rep Dent. 2015;2015:670369. doi: 10.1155/2015/670369. Epub 2015 Mar 19.
7
Lipoid proteinosis: A rare entity.类脂蛋白沉积症:一种罕见的病症。
Indian J Ophthalmol. 2015 Aug;63(8):680-1. doi: 10.4103/0301-4738.169791.
8
Lipoid proteinosis with pseudomembranous conjunctivitis.伴有假膜性结膜炎的类脂蛋白沉积症
J Am Acad Dermatol. 1986 Feb;14(2 Pt 2):367-71. doi: 10.1016/s0190-9622(86)70045-5.
9
Lipoid proteinosis in a six-year-old child.一名六岁儿童的类脂蛋白沉积症。
Indian Dermatol Online J. 2012 Jan;3(1):25-7. doi: 10.4103/2229-5178.93490.
10
Lipoid proteinosis: A rare genodermatosis with multisystemic manifestations-A case report.类脂蛋白沉积症:一种具有多系统表现的罕见遗传性皮肤病——病例报告
Clin Case Rep. 2024 Feb 6;12(2):e8512. doi: 10.1002/ccr3.8512. eCollection 2024 Feb.

引用本文的文献

1
What is in a Voice? Deciphering Clue in a Case of Facial Varioliform Scars in a Young Girl.声音中隐藏着什么?解读一名年轻女孩面部痘疮样瘢痕病例中的线索。
Dermatol Pract Concept. 2025 Jan 30;15(1):4832. doi: 10.5826/dpc.1501a4832.
2
Identification of a Novel Mutation of Extracellular Matrix Protein 1 Gene in a Chinese Family with Lipoid Proteinosis.在中国一个患有类脂蛋白沉积症的家族中鉴定细胞外基质蛋白1基因的一种新突变。
Clin Cosmet Investig Dermatol. 2023 Jun 14;16:1515-1519. doi: 10.2147/CCID.S415682. eCollection 2023.

本文引用的文献

1
Lipoid Proteinosis: A Rare Disease In Pediatric Dentistry.
Braz Dent J. 2020 Mar-Apr;31(2):186-189. doi: 10.1590/0103-6440202003054.
2
Lipoid proteinosis: A case with distinct histopathological and radiological findings.类脂蛋白沉积症:一例具有独特组织病理学和影像学表现的病例。
J Cutan Pathol. 2017 Oct;44(10):887-891. doi: 10.1111/cup.13002. Epub 2017 Jul 25.
3
Lipoid proteinosis: A review with two case reports.类脂蛋白沉积症:附两例报告的综述
Contemp Clin Dent. 2015 Apr-Jun;6(2):233-6. doi: 10.4103/0976-237X.156053.
4
Lipoid proteinosis: a rare encounter in dental office.类脂蛋白沉积症:牙科诊所中的罕见病例。
Case Rep Dent. 2015;2015:670369. doi: 10.1155/2015/670369. Epub 2015 Mar 19.
5
Oral manifestations of lipoid proteinosis: A case report and literature review.类脂蛋白沉积症的口腔表现:一例报告及文献综述。
Saudi Dent J. 2013 Apr;25(2):91-4. doi: 10.1016/j.sdentj.2012.12.004. Epub 2013 Feb 20.
6
A novel association of the additional intracranial calcification in lipoid proteinosis: a case report.类脂蛋白沉积症中额外颅内钙化的一种新关联:一例报告
J Clin Diagn Res. 2012 Nov;6(9):1579-81. doi: 10.7860/JCDR/2012/4481.2569.
7
Lipoid proteinosis.类脂蛋白沉积症
J Oral Maxillofac Pathol. 2009 Jul;13(2):81-4. doi: 10.4103/0973-029X.57675.
8
Homozygous frame shift mutation in ECM1 gene in two siblings with lipoid proteinosis.两名患有类脂蛋白沉积症的兄弟姐妹中ECM1基因的纯合移码突变
J Dermatol Case Rep. 2010 Dec 31;4(4):66-70. doi: 10.3315/jdcr.2010.1056.
9
Severe short stature: an unusual finding in lipoid proteinosis.严重身材矮小:类脂蛋白沉积症中的一种罕见表现。
J Clin Res Pediatr Endocrinol. 2008;1(2):97-101. doi: 10.4008/jcrpe.v1i2.31. Epub 2008 Nov 6.
10
A failure of mucocutaneous lymphangiogenesis may underlie the clinical features of lipoid proteinosis.
Br J Dermatol. 2007 Jan;156(1):152-7. doi: 10.1111/j.1365-2133.2006.07583.x.