Suppr超能文献

Hu 绵羊和藏绵羊睾丸生精转录组研究。

Transcriptomic Study of Spermatogenesis in the Testis of Hu Sheep and Tibetan Sheep.

机构信息

College of Animal Science and Technology, Gansu Agricultural University, Lanzhou 730070, China.

出版信息

Genes (Basel). 2022 Nov 25;13(12):2212. doi: 10.3390/genes13122212.

Abstract

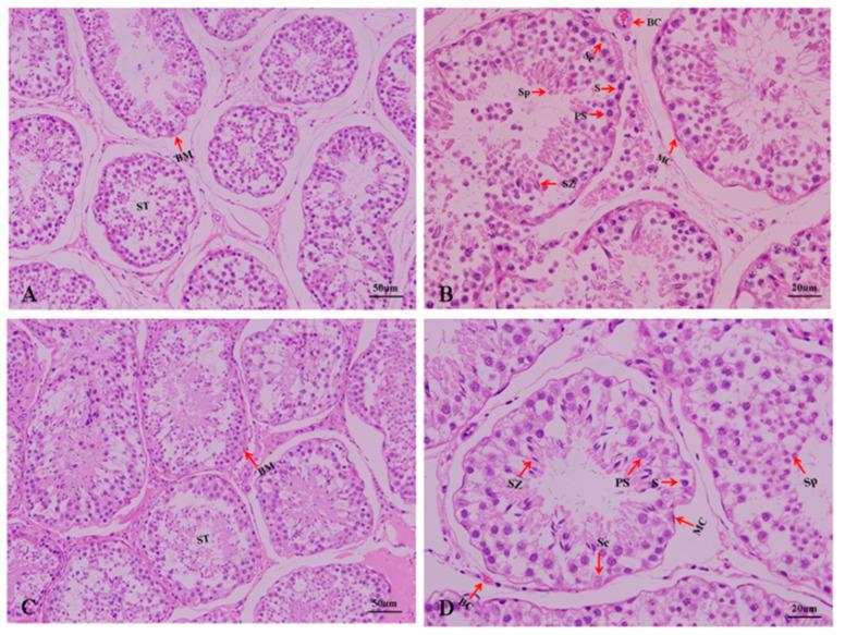
Numerous genes involved in male reproduction regulate testis development and spermatogenesis. In this study, the testis tissue transcriptome was used to identify candidate genes and key pathways associated with fecundity in sheep. Histological analysis of testis tissue using hematoxylin-eosin (HE) routine staining was performed for two sheep breeds. Overall, 466 differentially expressed genes (DEGs) were identified between Hu sheep (HS) and Tibetan sheep (TS) through RNA sequencing technology (RNA-Seq), including 226 upregulated and 240 downregulated genes. Functional analysis showed that several terms and pathways, such as "protein digestion and absorption", "cAMP signaling pathway", "focal adhesion", and "p53 signaling pathway" were closely related to testis development and spermatogenesis. Several genes (including , , , , , and ) were significantly enriched in these terms and pathways and might affect the reproduction of sheep by regulating the migration of spermatogenic cells, apoptosis of spermatogenic cells, and secretion of sterol hormones via testicular interstitial cells. Our results provide a theoretical basis for better understanding the molecular mechanisms of reproduction in sheep.

摘要

许多参与男性生殖的基因调节睾丸发育和精子发生。在这项研究中,使用睾丸组织转录组来鉴定与绵羊繁殖力相关的候选基因和关键途径。使用苏木精-伊红(HE)常规染色对两种绵羊品种的睾丸组织进行组织学分析。通过 RNA 测序技术(RNA-Seq),总共在湖羊(HS)和藏羊(TS)之间鉴定出 466 个差异表达基因(DEG),包括 226 个上调基因和 240 个下调基因。功能分析表明,几个术语和途径,如“蛋白质消化吸收”、“cAMP 信号通路”、“粘着斑”和“p53 信号通路”与睾丸发育和精子发生密切相关。几个基因(包括 、 、 、 、 和 )在这些术语和途径中显著富集,可能通过调节精子细胞的迁移、精子细胞的凋亡以及睾丸间质细胞分泌固醇激素来影响绵羊的繁殖。我们的研究结果为更好地理解绵羊生殖的分子机制提供了理论依据。

https://cdn.ncbi.nlm.nih.gov/pmc/blobs/71ca/9778047/7dfaa7bb9001/genes-13-02212-g001.jpg

文献AI研究员

20分钟写一篇综述,助力文献阅读效率提升50倍。

立即体验

用中文搜PubMed

大模型驱动的PubMed中文搜索引擎

马上搜索

文档翻译

学术文献翻译模型,支持多种主流文档格式。

立即体验