• 文献检索
  • 文档翻译
  • 深度研究
  • 学术资讯
  • Suppr Zotero 插件Zotero 插件
  • 邀请有礼
  • 套餐&价格
  • 历史记录
应用&插件
Suppr Zotero 插件Zotero 插件浏览器插件Mac 客户端Windows 客户端微信小程序
定价
高级版会员购买积分包购买API积分包
服务
文献检索文档翻译深度研究API 文档MCP 服务
关于我们
关于 Suppr公司介绍联系我们用户协议隐私条款
关注我们

Suppr 超能文献

核心技术专利:CN118964589B侵权必究
粤ICP备2023148730 号-1Suppr @ 2026

文献检索

告别复杂PubMed语法,用中文像聊天一样搜索,搜遍4000万医学文献。AI智能推荐,让科研检索更轻松。

立即免费搜索

文件翻译

保留排版,准确专业,支持PDF/Word/PPT等文件格式,支持 12+语言互译。

免费翻译文档

深度研究

AI帮你快速写综述,25分钟生成高质量综述,智能提取关键信息,辅助科研写作。

立即免费体验

脱氧胆酸通过 AHR 通路损伤肠道干细胞导致高脂喂养小鼠肠黏膜屏障功能障碍。

Intestinal Stem Cells Damaged by Deoxycholic Acid via AHR Pathway Contributes to Mucosal Barrier Dysfunction in High-Fat Feeding Mice.

机构信息

Department of Gastroenterology, Shanghai General Hospital, Shanghai Jiao Tong University School of Medicine, Shanghai 200080, China.

Shanghai Key Laboratory of Pancreatic Diseases, Shanghai Jiao Tong University School of Medicine, Shanghai 201620, China.

出版信息

Int J Mol Sci. 2022 Dec 8;23(24):15578. doi: 10.3390/ijms232415578.

DOI:10.3390/ijms232415578
PMID:36555220
原文链接:https://pmc.ncbi.nlm.nih.gov/articles/PMC9779098/
Abstract

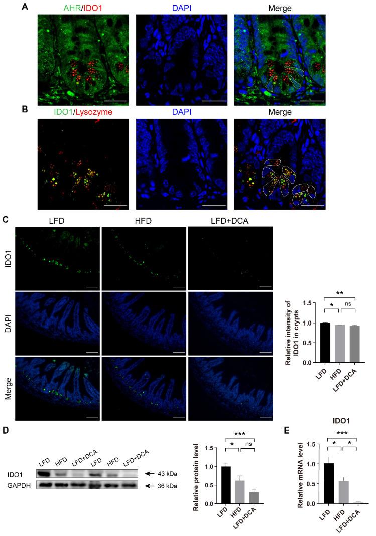
High-fat exposure leads to impaired intestinal barrier function by disrupting the function of intestinal stem cells (ISCs); however, the exact mechanism of this phenomenon is still not known. We hypothesize that high concentrations of deoxycholic acid (DCA) in response to a high-fat diet (HFD) affect aryl hydrocarbon receptor (AHR) signalling in ISCs and the intestinal barrier. For this purpose, C57BL/6J mice feeding on a low-fat diet (LFD), an HFD, an HFD with the bile acid binder cholestyramine, and a LFD with the DCA were studied. We found that high-fat feeding induced an increase in faecal DCA concentrations. An HFD or DCA diet disrupted the differentiation function of ISCs by downregulating AHR signalling, which resulted in decreased goblet cells (GCs) and MUC2, and these changes were reversed by cholestyramine. In vitro experiments showed that DCA downregulated the differentiation function of ISCs, which was reversed by the AHR agonist 6-formylindolo [3,2-b]carbazole (FICZ). Mechanistically, DCA caused a reduction in indoleamine 2,3-dioxygenase 1 (IDO1) in Paneth cells, resulting in paracrine deficiency of the AHR ligand kynurenine in crypts. We demonstrated for the first time that DCA disrupts intestinal mucosal barrier function by interfering with AHR signalling in ISCs. Supplementation with AHR ligands may be a new therapeutic target for HFD-related impaired intestinal barrier function.

摘要

高脂肪暴露通过破坏肠干细胞(ISCs)的功能导致肠道屏障功能受损;然而,这种现象的确切机制尚不清楚。我们假设高脂肪饮食(HFD)中高浓度的脱氧胆酸(DCA)会影响 ISCs 中的芳烃受体(AHR)信号和肠道屏障。为此,我们研究了 C57BL/6J 小鼠在低脂饮食(LFD)、HFD、HFD 加胆酸结合剂考来烯胺和 LFD 加 DCA 喂养下的情况。我们发现高脂肪喂养会导致粪便 DCA 浓度升高。HFD 或 DCA 饮食通过下调 AHR 信号而破坏 ISC 的分化功能,导致杯状细胞(GCs)和 MUC2 减少,这些变化可被考来烯胺逆转。体外实验表明,DCA 下调 ISC 的分化功能,而 AHR 激动剂 6-甲氧基吲哚并[3,2-b]咔唑(FICZ)可逆转这种作用。在机制上,DCA 导致潘氏细胞中色氨酸 2,3-双加氧酶 1(IDO1)减少,导致隐窝中 AHR 配体犬尿氨酸的旁分泌不足。我们首次证明,DCA 通过干扰 ISCs 中的 AHR 信号破坏肠道黏膜屏障功能。补充 AHR 配体可能是治疗与 HFD 相关的肠道屏障功能受损的新靶点。

https://cdn.ncbi.nlm.nih.gov/pmc/blobs/d13e/9779098/452f8a960bbc/ijms-23-15578-g007.jpg
https://cdn.ncbi.nlm.nih.gov/pmc/blobs/d13e/9779098/9d9dcc1ecd4d/ijms-23-15578-g001.jpg
https://cdn.ncbi.nlm.nih.gov/pmc/blobs/d13e/9779098/eb09b32ae61d/ijms-23-15578-g002.jpg
https://cdn.ncbi.nlm.nih.gov/pmc/blobs/d13e/9779098/79ea3ac858ea/ijms-23-15578-g003.jpg
https://cdn.ncbi.nlm.nih.gov/pmc/blobs/d13e/9779098/42c632f5ab48/ijms-23-15578-g004.jpg
https://cdn.ncbi.nlm.nih.gov/pmc/blobs/d13e/9779098/eff2cd1b1233/ijms-23-15578-g005.jpg
https://cdn.ncbi.nlm.nih.gov/pmc/blobs/d13e/9779098/3798b8fdedf1/ijms-23-15578-g006.jpg
https://cdn.ncbi.nlm.nih.gov/pmc/blobs/d13e/9779098/452f8a960bbc/ijms-23-15578-g007.jpg
https://cdn.ncbi.nlm.nih.gov/pmc/blobs/d13e/9779098/9d9dcc1ecd4d/ijms-23-15578-g001.jpg
https://cdn.ncbi.nlm.nih.gov/pmc/blobs/d13e/9779098/eb09b32ae61d/ijms-23-15578-g002.jpg
https://cdn.ncbi.nlm.nih.gov/pmc/blobs/d13e/9779098/79ea3ac858ea/ijms-23-15578-g003.jpg
https://cdn.ncbi.nlm.nih.gov/pmc/blobs/d13e/9779098/42c632f5ab48/ijms-23-15578-g004.jpg
https://cdn.ncbi.nlm.nih.gov/pmc/blobs/d13e/9779098/eff2cd1b1233/ijms-23-15578-g005.jpg
https://cdn.ncbi.nlm.nih.gov/pmc/blobs/d13e/9779098/3798b8fdedf1/ijms-23-15578-g006.jpg
https://cdn.ncbi.nlm.nih.gov/pmc/blobs/d13e/9779098/452f8a960bbc/ijms-23-15578-g007.jpg

相似文献

1
Intestinal Stem Cells Damaged by Deoxycholic Acid via AHR Pathway Contributes to Mucosal Barrier Dysfunction in High-Fat Feeding Mice.脱氧胆酸通过 AHR 通路损伤肠道干细胞导致高脂喂养小鼠肠黏膜屏障功能障碍。
Int J Mol Sci. 2022 Dec 8;23(24):15578. doi: 10.3390/ijms232415578.
2
An elevated deoxycholic acid level induced by high-fat feeding damages intestinal stem cells by reducing the ileal IL-22.高脂肪喂养引起的脱氧胆酸水平升高通过减少回肠中的 IL-22 来损伤肠道干细胞。
Biochem Biophys Res Commun. 2021 Nov 19;579:153-160. doi: 10.1016/j.bbrc.2021.09.061. Epub 2021 Sep 25.
3
Bile acids elevated by high-fat feeding induce endoplasmic reticulum stress in intestinal stem cells and contribute to mucosal barrier damage.高脂肪喂养导致的胆汁酸升高会诱发肠道干细胞内质网应激,并导致黏膜屏障损伤。
Biochem Biophys Res Commun. 2020 Aug 20;529(2):289-295. doi: 10.1016/j.bbrc.2020.05.226. Epub 2020 Jun 26.
4
Aryl hydrocarbon receptor activation alleviates dextran sodium sulfate-induced colitis through enhancing the differentiation of goblet cells.芳基烃受体激活通过增强杯状细胞的分化来缓解葡聚糖硫酸钠诱导的结肠炎。
Biochem Biophys Res Commun. 2019 Jun 18;514(1):180-186. doi: 10.1016/j.bbrc.2019.04.136. Epub 2019 Apr 24.
5
Secondary bile acids mediate high-fat diet-induced upregulation of R-spondin 3 and intestinal epithelial proliferation.次级胆汁酸介导高脂肪饮食诱导的 R 型脊椎蛋白 3 上调和肠道上皮细胞增殖。
JCI Insight. 2022 Oct 10;7(19):e148309. doi: 10.1172/jci.insight.148309.
6
Indole-3-aldehyde Alleviates High-Fat Diet-Induced Gut Barrier Disruption by Increasing Intestinal Stem Cell Expansion.吲哚-3-甲醛通过增加肠道干细胞的扩增来缓解高脂肪饮食引起的肠道屏障破坏。
J Agric Food Chem. 2024 Aug 28;72(34):18930-18941. doi: 10.1021/acs.jafc.4c02381. Epub 2024 Aug 15.
7
6-Formylindolo(3,2-b)carbazole induced aryl hydrocarbon receptor activation prevents intestinal barrier dysfunction through regulation of claudin-2 expression.6- 甲氧基苯并[c]咔唑诱导的芳香烃受体激活通过调节 Claudin-2 的表达防止肠道屏障功能障碍。
Chem Biol Interact. 2018 May 25;288:83-90. doi: 10.1016/j.cbi.2018.04.020. Epub 2018 Apr 20.
8
A novel mechanism for gut barrier dysfunction by dietary fat: epithelial disruption by hydrophobic bile acids.膳食脂肪致肠道屏障功能障碍的新机制:疏水性胆汁酸破坏上皮细胞。
Am J Physiol Gastrointest Liver Physiol. 2013 Feb 1;304(3):G227-34. doi: 10.1152/ajpgi.00267.2012. Epub 2012 Nov 29.
9
Microbial metabolite deoxycholic acid-mediated ferroptosis exacerbates high-fat diet-induced colonic inflammation.微生物代谢产物脱氧胆酸介导的铁死亡加剧高脂肪饮食诱导的结肠炎症。
Mol Metab. 2024 Jun;84:101944. doi: 10.1016/j.molmet.2024.101944. Epub 2024 Apr 18.
10
Gut microbiota metabolite indole-3-acetic acid maintains intestinal epithelial homeostasis through mucin sulfation.肠道微生物代谢产物吲哚-3-乙酸通过黏蛋白硫酸盐化维持肠道上皮细胞稳态。
Gut Microbes. 2024 Jan-Dec;16(1):2377576. doi: 10.1080/19490976.2024.2377576. Epub 2024 Jul 27.

引用本文的文献

1
Unraveling the complexities of diet induced obesity and glucolipid dysfunction in metabolic syndrome.解析代谢综合征中饮食诱导的肥胖和糖脂功能障碍的复杂性。
Diabetol Metab Syndr. 2025 Jul 22;17(1):292. doi: 10.1186/s13098-025-01837-y.
2
The gut microbiota-bile acid axis: a crucial regulator of immune function and metabolic health.肠道微生物群-胆汁酸轴:免疫功能和代谢健康的关键调节因子。
World J Microbiol Biotechnol. 2025 Jun 25;41(7):215. doi: 10.1007/s11274-025-04395-7.
3
ABL1‒YAP1 axis in intestinal stem cell activated by deoxycholic acid contributes to hepatic steatosis.

本文引用的文献

1
Goblet cells need some stress.杯状细胞需要承受一定的压力。
J Clin Invest. 2022 Sep 1;132(17). doi: 10.1172/JCI162030.
2
Cholecystectomy promotes colon carcinogenesis by activating the Wnt signaling pathway by increasing the deoxycholic acid level.胆囊切除术通过增加脱氧胆酸水平激活 Wnt 信号通路促进结肠癌发生。
Cell Commun Signal. 2022 May 25;20(1):71. doi: 10.1186/s12964-022-00890-8.
3
Role of bile acids and their receptors in gastrointestinal and hepatic pathophysiology.胆汁酸及其受体在胃肠道和肝脏病理生理学中的作用。
脱氧胆酸激活的肠道干细胞中的ABL1-YAP1轴导致肝脂肪变性。
J Transl Med. 2024 Dec 20;22(1):1119. doi: 10.1186/s12967-024-05865-6.
4
Brain-Gut and Microbiota-Gut-Brain Communication in Type-2 Diabetes Linked Alzheimer's Disease.2 型糖尿病与阿尔茨海默病相关的脑-肠及微生物群-肠-脑通讯。
Nutrients. 2024 Aug 3;16(15):2558. doi: 10.3390/nu16152558.
5
Urolithin A-mediated augmentation of intestinal barrier function through elevated secretory mucin synthesis.尿石素 A 通过提高分泌型黏蛋白合成来增强肠道屏障功能。
Sci Rep. 2024 Jul 8;14(1):15706. doi: 10.1038/s41598-024-65791-x.
6
Impact of Western Diet and Ultra-Processed Food on the Intestinal Mucus Barrier.西方饮食和超加工食品对肠道黏液屏障的影响。
Biomedicines. 2023 Jul 18;11(7):2015. doi: 10.3390/biomedicines11072015.
7
Different Diet Energy Levels Alter Body Condition, Glucolipid Metabolism, Fecal Microbiota and Metabolites in Adult Beagle Dogs.不同饮食能量水平改变成年比格犬的身体状况、糖脂代谢、粪便微生物群和代谢产物。
Metabolites. 2023 Apr 13;13(4):554. doi: 10.3390/metabo13040554.
Nat Rev Gastroenterol Hepatol. 2022 Jul;19(7):432-450. doi: 10.1038/s41575-021-00566-7. Epub 2022 Feb 14.
4
Deoxycholic Acid Modulates Cell-Junction Gene Expression and Increases Intestinal Barrier Dysfunction.脱氧胆酸调节细胞连接基因表达并增加肠道屏障功能障碍。
Molecules. 2022 Jan 22;27(3):723. doi: 10.3390/molecules27030723.
5
An elevated deoxycholic acid level induced by high-fat feeding damages intestinal stem cells by reducing the ileal IL-22.高脂肪喂养引起的脱氧胆酸水平升高通过减少回肠中的 IL-22 来损伤肠道干细胞。
Biochem Biophys Res Commun. 2021 Nov 19;579:153-160. doi: 10.1016/j.bbrc.2021.09.061. Epub 2021 Sep 25.
6
Blockade of IDO-Kynurenine-AhR Axis Ameliorated Colitis-Associated Colon Cancer via Inhibiting Immune Tolerance.吲哚胺 2,3-双加氧酶-犬尿氨酸-芳香烃受体轴的阻断通过抑制免疫耐受改善结肠炎相关结直肠癌。
Cell Mol Gastroenterol Hepatol. 2021;12(4):1179-1199. doi: 10.1016/j.jcmgh.2021.05.018. Epub 2021 Jun 1.
7
AHR in the intestinal microenvironment: safeguarding barrier function.肠道微环境中的 AHR:保障屏障功能。
Nat Rev Gastroenterol Hepatol. 2021 Aug;18(8):559-570. doi: 10.1038/s41575-021-00430-8. Epub 2021 Mar 19.
8
Bile acid toxicity in Paneth cells contributes to gut dysbiosis induced by high-fat feeding.胆汁酸毒性在潘氏细胞中导致高脂肪喂养引起的肠道菌群失调。
JCI Insight. 2020 Oct 15;5(20):138881. doi: 10.1172/jci.insight.138881.
9
Molecular Physiology of Bile Acid Signaling in Health, Disease, and Aging.胆汁酸信号在健康、疾病和衰老中的分子生理学
Physiol Rev. 2021 Apr 1;101(2):683-731. doi: 10.1152/physrev.00049.2019. Epub 2020 Aug 13.
10
Bile acids elevated by high-fat feeding induce endoplasmic reticulum stress in intestinal stem cells and contribute to mucosal barrier damage.高脂肪喂养导致的胆汁酸升高会诱发肠道干细胞内质网应激,并导致黏膜屏障损伤。
Biochem Biophys Res Commun. 2020 Aug 20;529(2):289-295. doi: 10.1016/j.bbrc.2020.05.226. Epub 2020 Jun 26.