Suppr超能文献

性发育 XY 差异诊断中的挑战。

Challenges in the Diagnosis of XY Differences of Sexual Development.

机构信息

Vilnius University, Faculty of Medicine, LT-03101 Vilnius, Lithuania.

Centre of Obstetrics and Gynaecology, Institute of Clinical Medicine, Faculty of Medicine, Vilnius University, LT-08661 Vilnius, Lithuania.

出版信息

Medicina (Kaunas). 2022 Nov 27;58(12):1736. doi: 10.3390/medicina58121736.

Abstract

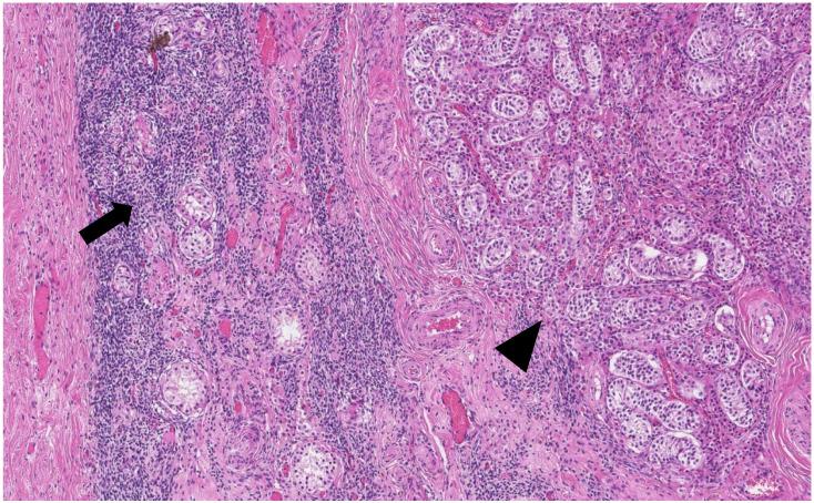
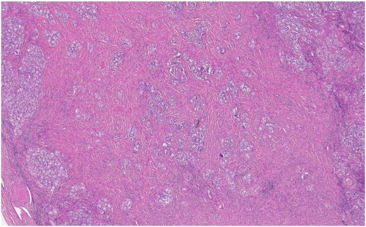
: We report the clinical case of female patient with 46,XY difference of sexual development (DSD) and discuss the challenges in the differential diagnosis between complete gonadal dysgenesis (also called Swyer syndrome) and complete androgen insensitivity syndrome. : The patient's with primary amenorrhea gynaecological examination and magnetic resonance imaging (MRI) revealed the absence of the uterus and a very short vagina. Two sclerotic structures, similar to ovaries, were recognised bilaterally in the iliac regions. Hormonal assay tests revealed hypergonadotropic hypogonadism and the testosterone level was above normal. The karyotype was 46,XY and a diagnosis of Swyer syndrome was made. At the age of 41, the patient underwent a gynaecological review and after evaluating her tests and medical history, the previous diagnosis was questioned. Therefore, a molecular analysis of sex-determining region Y (SRY) and androgen receptor (AR) genes was made and the results instead led to a definite diagnosis of complete androgen insensitivity syndrome. : The presented case illustrates that differentiating between complete gonadal dysgenesis and complete androgen insensitivity can be challenging. A well-established diagnosis is crucial because the risk of malignancy is different in those two syndromes, as well as the timing and importance of gonadectomy.

摘要

我们报告了一例 46,XY 性发育差异(DSD)的女性患者的临床病例,并讨论了在完全性腺发育不全(也称为 Swyer 综合征)和完全雄激素不敏感综合征之间进行鉴别诊断的挑战。

该患者因原发性闭经接受妇科检查和磁共振成像(MRI)检查,结果显示子宫缺失,阴道非常短。在髂区双侧发现两个类似于卵巢的硬化结构。激素测定试验显示促性腺激素性性腺功能减退,睾酮水平高于正常。核型为 46,XY,诊断为 Swyer 综合征。患者在 41 岁时接受妇科复查,在评估她的检查和病史后,对之前的诊断提出质疑。因此,进行了性决定区 Y(SRY)和雄激素受体(AR)基因的分子分析,结果明确诊断为完全雄激素不敏感综合征。

本病例说明,区分完全性腺发育不全和完全雄激素不敏感可能具有挑战性。明确的诊断至关重要,因为这两种综合征的恶性肿瘤风险不同,以及性腺切除术的时机和重要性也不同。

https://cdn.ncbi.nlm.nih.gov/pmc/blobs/ad96/9787768/649821ef4e9a/medicina-58-01736-g001.jpg

文献AI研究员

20分钟写一篇综述,助力文献阅读效率提升50倍。

立即体验

用中文搜PubMed

大模型驱动的PubMed中文搜索引擎

马上搜索

文档翻译

学术文献翻译模型,支持多种主流文档格式。

立即体验