Suppr超能文献

因原发性闭经而使用避孕药治疗的双侧生殖细胞肿瘤患者中出现 Swyer 综合征的迟诊。

Late Diagnosis of Swyer Syndrome in a Patient with Bilateral Germ Cell Tumor Treated with a Contraceptive Due to Primary Amenorrhea.

机构信息

Department of Endocrinology, Metabolic and Internal Diseases, Pomeranian Medical University in Szczecin, Unii Lubelskiej 1, 71-252 Szczecin, Poland.

Pediatric, Adolescent Gynecology Clinic, Department of Gynecology, Endocrinology and Gynecological Oncology, Pomeranian Medical University in Szczecin, Unii Lubelskiej 1, 71-252 Szczecin, Poland.

出版信息

Int J Environ Res Public Health. 2023 Jan 24;20(3):2139. doi: 10.3390/ijerph20032139.

Abstract

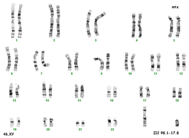
Swyer syndrome is a special form of DSD (disorders of sex development), so-called pure gonadal dysgenesis with a karyotype 46, XY and a female phenotype. One of the most important problems in patients with DSD is the risk of gonadal tumors. We present a case of a 26-year-old patient with Swyer syndrome. The patient had primary amenorrhea and no puberty characteristics. In ultrasound imaging in the vicinity of the uterus, there were two homogeneous structures. A genetic diagnosis was also performed, which showed karyotype 46, XY. The patient underwent a bilateral gonadectomy. Histopathological examination revealed the presence of dysgerminoma in both dysgenetic gonads. The follow-up of five years now did not show any changes suspected of invasion. We concluded that the primary amenorrhea, along with the absence of development of sexual characteristics, should prompt an expanded diagnosis for disorders of sex development. Gonadal dysgerminoma should be suspected even in the absence of tumor features on ultrasound and blood laboratory tests. Early prophylactic gonadectomy could protect patients from developing tumors in dysgenetic gonads.

摘要

斯维耶综合征是一种特殊形式的 DSD(性发育障碍),即所谓的纯粹性腺发育不良,核型为 46,XY,表型为女性。性发育障碍患者最重要的问题之一是性腺肿瘤的风险。我们报告了一例 26 岁的斯维耶综合征患者。该患者原发性闭经,无青春期特征。在子宫附近的超声成像中,有两个均匀的结构。还进行了基因诊断,显示核型为 46,XY。患者接受了双侧性腺切除术。组织病理学检查显示两个发育不良的性腺中均存在胚胎瘤。目前五年的随访没有显示任何怀疑侵袭的变化。我们得出结论,原发性闭经,加上性特征的缺失,应促使对性发育障碍进行扩展诊断。即使在超声和血液实验室检查中没有肿瘤特征,也应怀疑性腺生殖细胞瘤。早期预防性性腺切除术可以保护患者免受发育不良性腺中肿瘤的影响。

https://cdn.ncbi.nlm.nih.gov/pmc/blobs/f728/9916373/935abdaa8415/ijerph-20-02139-g001.jpg

文献检索

告别复杂PubMed语法,用中文像聊天一样搜索,搜遍4000万医学文献。AI智能推荐,让科研检索更轻松。

立即免费搜索

文件翻译

保留排版,准确专业,支持PDF/Word/PPT等文件格式,支持 12+语言互译。

免费翻译文档

深度研究

AI帮你快速写综述,25分钟生成高质量综述,智能提取关键信息,辅助科研写作。

立即免费体验