Suppr超能文献

肝原发性鳞状细胞癌对卡铂和 5-氟尿嘧啶反应良好:病例报告。

Primary Squamous Cell Carcinoma of the Liver with Good Response to Carboplatin and 5-Flurouracil: A Case Report.

机构信息

Division of Hematology and Oncology, Department of Internal Medicine, Taichung Armed Forces General Hospital, Taichung 411, Taiwan.

Division of Hematology and Oncology, Department of Internal Medicine, Tri-Service General Hospital, National Defense Medical Center, Taipei 114, Taiwan.

出版信息

Medicina (Kaunas). 2022 Dec 17;58(12):1864. doi: 10.3390/medicina58121864.

Abstract

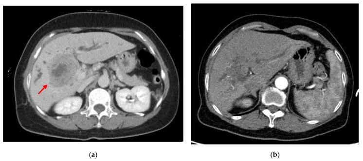
Primary squamous cell carcinoma (SCC) of the liver is a rare disease that is difficult to diagnose until the pathology is confirmed. The age of the patients generally ranges from 18 to 83 years. The pathogenesis of primary SCC of the liver remains unclear and therapeutic guidelines have not yet been established. The overall survival rate may be less than 1 year. The prognosis for patients without surgery is worse than that for patients who undergo surgery. Herein, we report a case of primary SCC of the liver that responded well to intravenous carboplatin and 5-flurouracil (5-FU) with the aim of providing an alternative therapeutic option. A 61-year-old woman with no history of alcohol use disorder, cirrhosis, exposure to hepatotoxic chemicals, or a remarkable family history presented to our hospital with a complaint of epigastric pain, poor appetite, and fatigue, which had occurred 3 days before presentation. Blood tests revealed levels of alpha-fetoprotein of <2.0 ng/mL, carcinoembryonic antigen of 4.39 ng/mL, carbohydrate antigen (CA) 19-9 of 1306.15 U/mL, CA 125 of 66.3 U/mL, CA 153 of 19.7 U/mL, and SCC antigen of 8.5 ng/mL. Computed tomography scans of the abdomen showed a 5.8-cm lobulated soft-tissue mass with central necrosis in segment 6 of the liver, which caused compression of the common hepatic duct. Pathological examination of the masses revealed squamous cell carcinoma with focal glandular differentiation. The patient underwent palliative chemotherapy with intravenous carboplatin 150 mg (day 1) and 5-FU 1000 mg (days 1−4) instead of surgery. After two cycles of chemotherapy, jaundice and liver function improved. The patient was discharged in stable condition and was followed up in our outpatient department. Although the patient refused to undergo surgery, no tumor recurrence or distant metastasis was found during the 8-month follow-up period. This report highlights that neoadjuvant chemotherapy with carboplatin and 5-FU can be considered for primary SCC of the liver before a liver resection.

摘要

原发性肝细胞鳞状细胞癌(SCC)是一种罕见疾病,在病理确诊前难以诊断。患者的年龄一般在 18 岁至 83 岁之间。原发性肝细胞 SCC 的发病机制尚不清楚,也尚未制定治疗指南。总体存活率可能不到 1 年。未手术的患者预后比手术的患者差。在此,我们报告了一例对静脉注射卡铂和 5-氟尿嘧啶(5-FU)反应良好的原发性肝细胞 SCC 病例,旨在提供一种替代的治疗选择。一位 61 岁的女性,无酒精使用障碍、肝硬化、接触肝毒性化学物质或显著家族史,因上腹痛、食欲不振和疲劳就诊,这些症状在就诊前 3 天出现。血液检查显示甲胎蛋白水平<2.0ng/mL,癌胚抗原 4.39ng/mL,糖类抗原(CA)19-9 为 1306.15U/mL,CA 125 为 66.3U/mL,CA 153 为 19.7U/mL,鳞状细胞癌抗原为 8.5ng/mL。腹部计算机断层扫描显示肝脏 6 段有一个 5.8 厘米分叶状软组织肿块,中央有坏死,压迫肝总管。肿块的病理检查显示为鳞状细胞癌,伴有局灶性腺分化。患者接受了静脉注射卡铂 150mg(第 1 天)和 5-FU 1000mg(第 1-4 天)的姑息性化疗,而非手术。两个周期的化疗后,黄疸和肝功能改善。患者病情稳定出院,并在我院门诊进行随访。尽管患者拒绝手术,但在 8 个月的随访期间未发现肿瘤复发或远处转移。本报告强调,在进行肝切除术前,卡铂和 5-FU 的新辅助化疗可考虑用于原发性肝细胞 SCC。

https://cdn.ncbi.nlm.nih.gov/pmc/blobs/600d/9787845/0a16d2a14fcb/medicina-58-01864-g001.jpg

文献检索

告别复杂PubMed语法,用中文像聊天一样搜索,搜遍4000万医学文献。AI智能推荐,让科研检索更轻松。

立即免费搜索

文件翻译

保留排版,准确专业,支持PDF/Word/PPT等文件格式,支持 12+语言互译。

免费翻译文档

深度研究

AI帮你快速写综述,25分钟生成高质量综述,智能提取关键信息,辅助科研写作。

立即免费体验