Suppr超能文献

原发性肝鳞状细胞癌:病例系列及文献综述

Primary Squamous Cell Carcinoma of Liver: Case Series and Review of Literatures.

作者信息

Zhang Xu-Feng, Du Zhao-Qing, Liu Xue-Min, Lv Yi

机构信息

From the Department of Hepatobiliary Surgery, Institute of Advanced Surgical Technology and Engineering, the First Affiliated Hospital of Medical College, Xi'an Jiaotong University, Xi'an, Shaanxi Province, PR China (X-FZ, Z-QD, X-ML, YL).

出版信息

Medicine (Baltimore). 2015 Jul;94(28):e868. doi: 10.1097/MD.0000000000000868.

Abstract

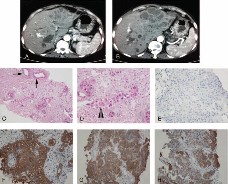
Primary squamous cell carcinoma (SCC) of liver is rare, and its prognosis is extremely poor. This study aims at reviewing the clinical data of all pathologically diagnosed liver cancer in our institute, and discussing the clinical presentation, diagnosis, treatment, and prognosis of our cases of SCC and the literatures reported previously. All the patients undergoing liver surgery or biopsy for liver cancers from 2002 to 2013 in our hospital were reviewed, and the liver specimens were examined pathologically. A literature search for case reports of primary SCC of liver published until December 31, 2014, was performed on PubMed, MEDLINE, Scopus Elsevier, Cochrane, and Google Scholar. The primitive data of the case reports were all included and analyzed if available. From January 2002 to October 2013, 2210 cases of liver cancer were diagnosed pathologically in our hospital. Among, 4 cases (0.2%) were diagnosed as primary SCC of liver. All were negative for hepatitis B infection, but present with liver cyst and/or hepatolithiasis. One patient underwent radical resection, but died of tumor recurrence 18 months postoperatively. One patient received transcatheter arterial chemoembolization and 1 patient received laparotomy and alcohol injection, but died 9 and 4 months after surgery, respectively. The last patient received only biopsy and supportive treatment, and finally died of tumor metastasis 6 months later. From 1970 to 2014, 31 cases of primary liver SCC have been published in English previously. Thirty one cases and the 4 cases in the present study were included. The average age of the patients were 54 years (range 18-83), with a male to female ratio of 19:16. Twenty patients had liver cysts, 7 had bile duct stones, and 2 cases had both. Patients undergoing radical surgery had better prognosis than those undergoing palliative treatments (median survival 17 vs 5 months, P = 0.005, log-rank test). Patients with liver cysts seemed to have worse prognosis than those with bile duct stones (median survival 7 vs 18 months, P = 0.090, log-rank test). Primary liver SCC seems to be mostly originated from liver cyst or hepatolithiasis. Radical surgery should be firstly recommended, although the prognosis might be unfavorable.

摘要

原发性肝癌(SCC)极为罕见,其预后极差。本研究旨在回顾我院所有经病理诊断的肝癌临床资料,探讨我院原发性肝癌病例的临床表现、诊断、治疗及预后,并与既往报道的文献进行讨论。回顾了我院2002年至2013年期间所有因肝癌接受肝脏手术或活检的患者,并对肝脏标本进行了病理检查。在PubMed、MEDLINE、Scopus Elsevier、Cochrane和谷歌学术上检索截至2014年12月31日发表的原发性肝癌病例报告。如果有可用的病例报告原始数据,则全部纳入并进行分析。2002年1月至2013年10月,我院经病理诊断肝癌2210例。其中,4例(0.2%)被诊断为原发性肝癌。所有患者乙肝感染均为阴性,但均伴有肝囊肿和/或肝内胆管结石。1例患者接受了根治性切除,但术后18个月死于肿瘤复发。1例患者接受了经动脉化疗栓塞术,1例患者接受了剖腹手术及酒精注射,但分别于术后9个月和4个月死亡。最后1例患者仅接受了活检及支持治疗,最终于6个月后死于肿瘤转移。1970年至2014年,英文文献中此前已发表31例原发性肝癌病例。纳入了31例病例及本研究中的4例病例。患者平均年龄54岁(范围18 - 83岁),男女比例为19:16。20例患者有肝囊肿,7例有胆管结石,2例两者均有。接受根治性手术的患者预后优于接受姑息性治疗的患者(中位生存期17个月对5个月,P = 0.005,对数秩检验)。有肝囊肿的患者预后似乎比有胆管结石的患者差(中位生存期7个月对18个月,P = 0.090,对数秩检验)。原发性肝癌似乎大多起源于肝囊肿或肝内胆管结石。尽管预后可能不佳,但应首先推荐根治性手术。

https://cdn.ncbi.nlm.nih.gov/pmc/blobs/c3bf/4617094/ebee540be3ca/medi-94-e0868-g002.jpg

文献检索

告别复杂PubMed语法,用中文像聊天一样搜索,搜遍4000万医学文献。AI智能推荐,让科研检索更轻松。

立即免费搜索

文件翻译

保留排版,准确专业,支持PDF/Word/PPT等文件格式,支持 12+语言互译。

免费翻译文档

深度研究

AI帮你快速写综述,25分钟生成高质量综述,智能提取关键信息,辅助科研写作。

立即免费体验