Suppr超能文献

一名儿科患者的脐部孤立性纤维瘤

Solitary Fibrous Tumor of the Umbilical Region in a Pediatric Patient.

作者信息

Vaswani Shruti, Khera Sudeep, Sinha Arvind

机构信息

Department of Pathology and Laboratory Medicine, All India Institute of Medical Sciences, Jodhpur, Rajasthan, India.

Department of Paediatric Surgery, All India Institute of Medical Sciences, Jodhpur, Rajasthan, India.

出版信息

Ochsner J. 2022 Winter;22(4):356-360. doi: 10.31486/toj.22.0004.

Abstract

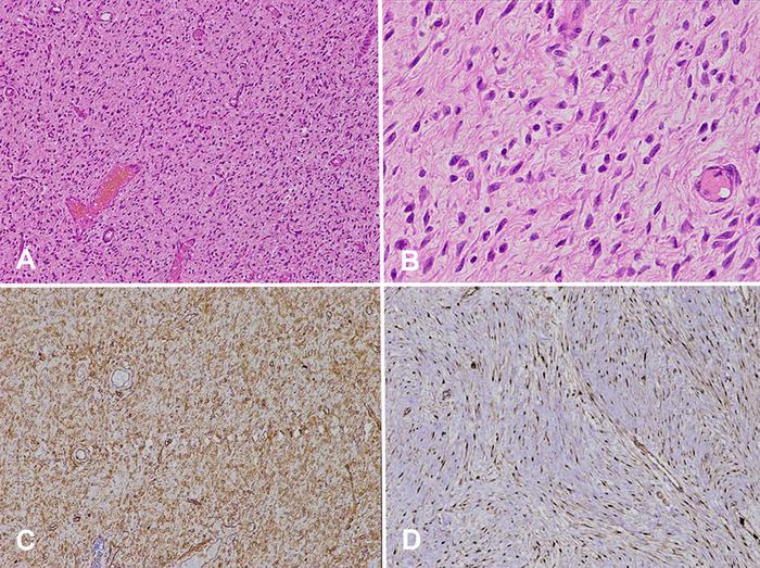
Fibrous tumors are rare tumors of mesenchymal origin arising in the serosal surfaces within the body. Although commonly seen in adults, solitary fibrous tumors rarely occur in children. Histopathology and immunohistochemistry are the methods of choice for diagnosing solitary fibrous tumors. A 2-year-old male presented with a swelling over the umbilicus for the prior 8 months. The umbilical mass was excised and sent for histopathologic examination. The skin-covered greyish soft tissue mass measured 6 × 5.5 × 4.5 cm, and the cut surface showed a homogenous greyish growth. On microscopic examination, a predominantly well-circumscribed encapsulated tumor was noted, with spindle shaped cells arranged in a haphazard manner and ectatic vascular channels. The cells were immunoreactive for CD34 and signal transducer and activator of transcription 6 (STAT6) and negative for smooth muscle actin, desmin, myogenin, MyoD1, CD99, epithelial membrane antigen, and beta-catenin. The aim of this case is to make clinicians aware of the umbilicus as a rare site of solitary fibrous tumor in children and the diagnostic importance of STAT6.

摘要

纤维瘤是起源于间充质的罕见肿瘤,发生于体内浆膜表面。虽然常见于成人,但孤立性纤维瘤在儿童中很少见。组织病理学和免疫组织化学是诊断孤立性纤维瘤的首选方法。一名2岁男性在之前8个月出现脐部肿胀。切除脐部肿物并送去做组织病理学检查。这个皮肤覆盖的灰白色软组织肿物大小为6×5.5×4.5厘米,切面显示为均匀的灰白色生长物。显微镜检查发现,主要是一个边界清楚的包膜肿瘤,有梭形细胞呈杂乱排列以及扩张的血管通道。这些细胞对CD34和信号转导及转录激活因子6(STAT6)呈免疫反应,而对平滑肌肌动蛋白、结蛋白、肌细胞生成素、MyoD1、CD99、上皮膜抗原和β-连环蛋白呈阴性。本病例的目的是让临床医生了解脐部是儿童孤立性纤维瘤的罕见部位以及STAT6的诊断重要性。

https://cdn.ncbi.nlm.nih.gov/pmc/blobs/ed3e/9753946/8652d7e728f2/toj-22-0004-figure1.jpg

文献AI研究员

20分钟写一篇综述,助力文献阅读效率提升50倍。

立即体验

用中文搜PubMed

大模型驱动的PubMed中文搜索引擎

马上搜索

文档翻译

学术文献翻译模型,支持多种主流文档格式。

立即体验