Department of Gynaecology, Yunnan Cancer Hospital (The Third Affiliated Hospital of Kunming Medical University), 650118, Kunming, China.
BMC Womens Health. 2022 Dec 28;22(1):554. doi: 10.1186/s12905-022-02120-2.
Endometrial carcinoma (EC) is a common malignant tumor of the female reproductive system, often accompanied by lymph node metastasis. Artificial vascular implantation is a common surgical treatment for mediastinal tumors and abdominal aortic aneurysms but is rarely used in gynecological surgery.
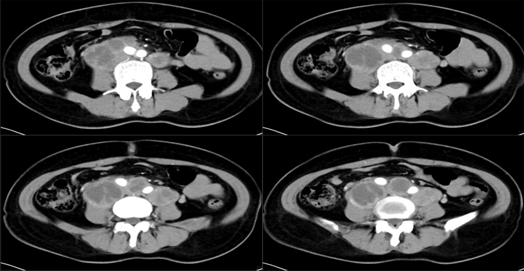
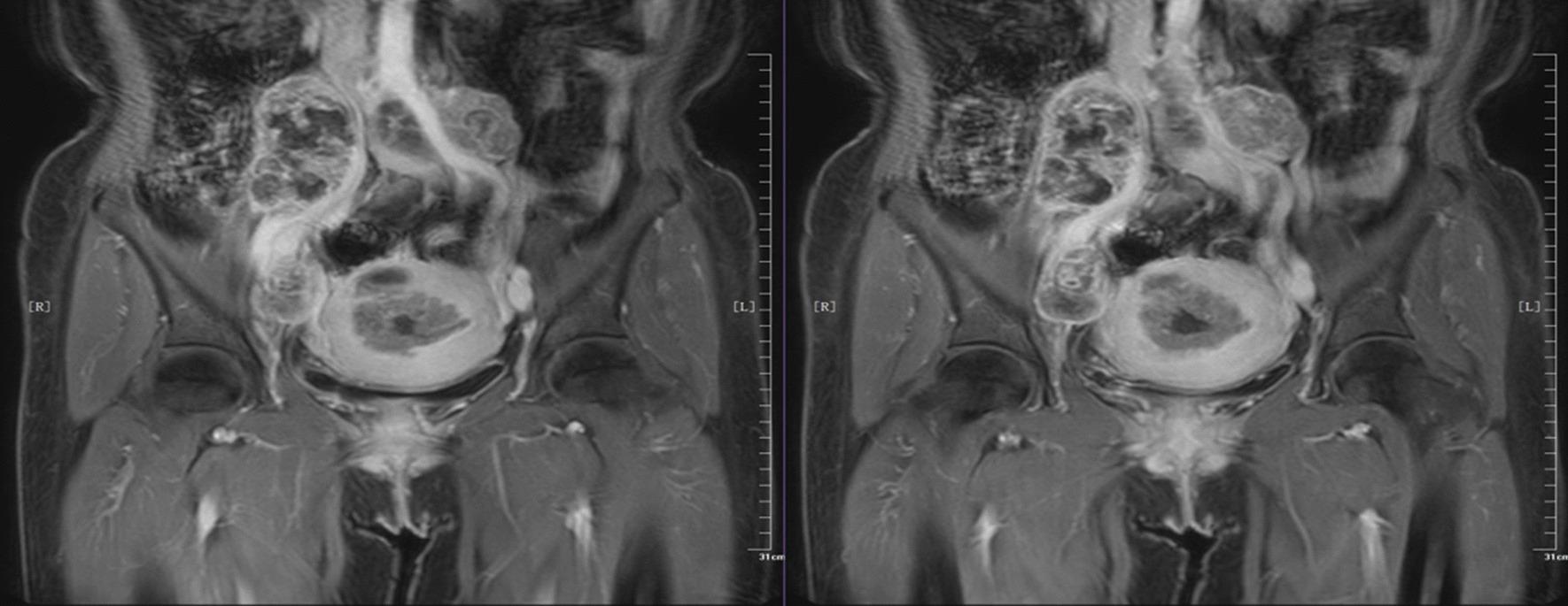
A 54-year-old female patient was first admitted to the hospital in January 2018 due to "irregular vaginal bleeding over 3 months". CT showed a mass in the uterine cavity, and several swollen lymph nodes in the retroperitoneum and pelvic cavity. The initial diagnosis was an endometrial malignant tumor. We performed radical endometrial cancer surgery with parallel resection of inferior vena cava, abdominal aorta, bilateral common iliac arteries, bilateral external iliac arteries, and artificial vessel replacement, which was successful, with good postoperative recovery and no lesion progression at 3 years postoperative follow-up.
This is an early case of gynecological clinical use of prostheses. Through multidisciplinary cooperation, the surgical resection rate of patients with EC in radical surgery was improved without serious fatal complications and achieved a high long-term postoperative survival rate.
子宫内膜癌(EC)是女性生殖系统常见的恶性肿瘤,常伴有淋巴结转移。人工血管植入是治疗纵隔肿瘤和腹主动脉瘤的常用手术方法,但在妇科手术中很少使用。
一名 54 岁女性患者于 2018 年 1 月首次因“阴道不规则出血 3 个月余”入院。CT 显示宫腔内有肿块,后腹膜和盆腔内有多个肿大的淋巴结。初步诊断为子宫内膜恶性肿瘤。我们进行了根治性子宫内膜癌手术,并行下腔静脉、腹主动脉、双侧髂总动脉、双侧髂外动脉平行切除及人工血管置换,手术成功,术后恢复良好,术后 3 年无病变进展。
这是首例妇科临床应用假体的病例。通过多学科合作,提高了根治性手术中 EC 患者的手术切除率,无严重致命并发症,获得了较高的长期术后生存率。