Suppr超能文献

病例报告:纳武利尤单抗联合信迪利单抗治疗一名伴有多发肝转移和盆腔转移的膀胱癌患者获得完全缓解

Case report: Complete response of a bladder cancer patient with multiple hepatic and pelvic metastases treated by nab-paclitaxel combined with sintilimab.

作者信息

Tao Zhu-Lei, Wu Wei, Liang Lin-Chun, Pan Jin-Feng, Cao Jian-Zhou, Jia Xiao-Long, Fang Li, Ma Qi

机构信息

Medical School, Ningbo University, Ningbo, Zhejiang, China.

Comprehensive Genitourinary Cancer Center, Ningbo First Hospital, The Affiliated Hospital of Ningbo University, Ningbo, Zhejiang, China.

出版信息

Front Oncol. 2022 Dec 12;12:1020793. doi: 10.3389/fonc.2022.1020793. eCollection 2022.

Abstract

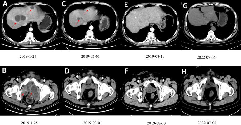
This article described a patient with metastatic bladder cancer (mBC) who was successfully treated with nab-paclitaxel plus sintilimab. Localized muscle-invasive bladder cancer (MIBC) was discovered in a 56-year-old man who received radical cystectomy and platinum-based adjuvant chemotherapy. Eleven months after cystectomy, this patient developed numerous hepatic and pelvic metastases and progressed to mBC. The patient was given an anti-PD-1 antibody (sintilimab 200mg, q3w) in combination with Nab-paclitaxel (100mg, qw) for mBC. Complete remission (CR) was achieved after nine cycles of therapy, and the patient had no severe side effects during the treatment. The disease remained in CR after 41 months of follow-up. This case suggests that nab-paclitaxel combined with sintilimab is a safe and effective option in treatment of mBC.

摘要

本文描述了一名转移性膀胱癌(mBC)患者,其接受纳米白蛋白结合型紫杉醇联合信迪利单抗治疗取得成功。一名56岁男性被诊断为局限性肌层浸润性膀胱癌(MIBC),接受了根治性膀胱切除术和铂类辅助化疗。膀胱切除术后11个月,该患者出现大量肝转移和盆腔转移,病情进展为mBC。给予该患者抗PD-1抗体(信迪利单抗200mg,每3周一次)联合纳米白蛋白结合型紫杉醇(100mg,每周一次)治疗mBC。经过9个周期的治疗实现了完全缓解(CR),且患者在治疗期间未出现严重副作用。随访41个月后,疾病仍处于CR状态。该病例表明,纳米白蛋白结合型紫杉醇联合信迪利单抗是治疗mBC的一种安全有效的选择。

https://cdn.ncbi.nlm.nih.gov/pmc/blobs/6bfc/9791213/661ef487325a/fonc-12-1020793-g001.jpg

文献AI研究员

20分钟写一篇综述,助力文献阅读效率提升50倍。

立即体验

用中文搜PubMed

大模型驱动的PubMed中文搜索引擎

马上搜索

文档翻译

学术文献翻译模型,支持多种主流文档格式。

立即体验