• 文献检索
  • 文档翻译
  • 深度研究
  • 学术资讯
  • Suppr Zotero 插件Zotero 插件
  • 邀请有礼
  • 套餐&价格
  • 历史记录
应用&插件
Suppr Zotero 插件Zotero 插件浏览器插件Mac 客户端Windows 客户端微信小程序
定价
高级版会员购买积分包购买API积分包
服务
文献检索文档翻译深度研究API 文档MCP 服务
关于我们
关于 Suppr公司介绍联系我们用户协议隐私条款
关注我们

Suppr 超能文献

核心技术专利:CN118964589B侵权必究
粤ICP备2023148730 号-1Suppr @ 2026

文献检索

告别复杂PubMed语法,用中文像聊天一样搜索,搜遍4000万医学文献。AI智能推荐,让科研检索更轻松。

立即免费搜索

文件翻译

保留排版,准确专业,支持PDF/Word/PPT等文件格式,支持 12+语言互译。

免费翻译文档

深度研究

AI帮你快速写综述,25分钟生成高质量综述,智能提取关键信息,辅助科研写作。

立即免费体验

上皮性卵巢癌中间质转化标志物与 EGFR 表达的相关性及其预后价值。

Prognostic Outcome of Mesenchymal Transition Biomarkers in Correlation with EGFR Expression in Epithelial Ovarian Carcinoma Patients.

机构信息

Department of Oncologic Pathology, South Egypt Cancer Institute, Assiut University, Assiut, Egypt.

Department of Clinical Pathology, South Egypt Cancer Institute, Assiut University, Assiut, Egypt.

出版信息

Asian Pac J Cancer Prev. 2022 Dec 1;23(12):4213-4225. doi: 10.31557/APJCP.2022.23.12.4213.

DOI:10.31557/APJCP.2022.23.12.4213
PMID:36580004
原文链接:https://pmc.ncbi.nlm.nih.gov/articles/PMC9971466/
Abstract

BACKGROUND

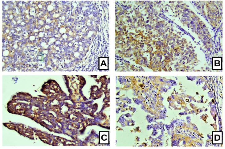
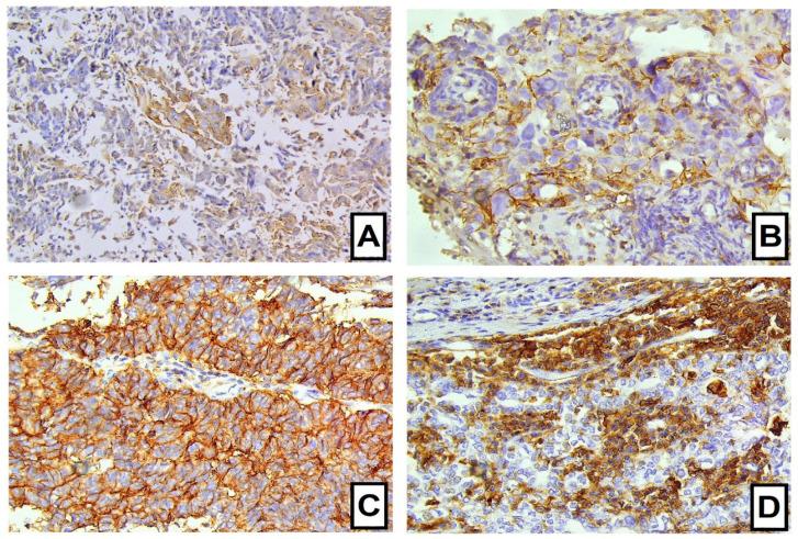
CD44 is an epithelial-mesenchymal transition (EMT) surface receptor that regulates the interactivity between the cells and the extracellular matrix, thereby promoting cell migration. The epidermal growth factor receptor (EGFR) family is a trans-membrane kinase-related protein. It regulates cell adhesion proteins, which may promote cell proliferation and invasiveness. Mesenchymal epithelial transition (MET) is another EMT receptor that stimulates cell proliferation, invasion, survival, and angiogenesis. This study aimed to evaluate the prognostic impact of CD44, EGFR expressions, and MET gene amplification in epithelial ovarian cancer (EOC).

METHODS

This is a retrospective cohort study, including 85 cases of EOC. CD44 and EGFR expressions were evaluated in both epithelial and stromal cells by immunohistochemistry. Tumor cells also underwent a cytogenetic analysis using fluorescent in situ hybridization (FISH) to detect MET gene amplification.

RESULTS

High CD44 expression in tumors was significantly associated with serous subtypes (P=0.001), peritoneal deposits (P=0.002), and advanced stage (P=0.002). EGFR high tumor expression demonstrated a significant association with lymph node metastasis (P=0.038) and the advanced stage of EOC (P=0.016). Increased copy number of the MET gene was significantly associated with partial therapy response (P=0.030).  CD44 and EGFR tumor high expression was associated with poor overall survival (OS). In addition, MET gene gain in tumors was associated with a shorter OS (P=0.000).

CONCLUSION

EMT biomarkers (CD44 and MET) and EGFR expression in EOC are independent prognostic factors for OS. MET gene increase copy number was detected in cases of serous neoplasm and associated with poor survival and minimal therapy response.

摘要

背景

CD44 是上皮-间质转化(EMT)表面受体,调节细胞与细胞外基质之间的相互作用,从而促进细胞迁移。表皮生长因子受体(EGFR)家族是一种跨膜激酶相关蛋白。它调节细胞黏附蛋白,可能促进细胞增殖和侵袭性。间质上皮转化(MET)是另一种 EMT 受体,刺激细胞增殖、侵袭、存活和血管生成。本研究旨在评估 CD44、EGFR 表达和 MET 基因扩增对上皮性卵巢癌(EOC)的预后影响。

方法

这是一项回顾性队列研究,包括 85 例 EOC 病例。通过免疫组织化学评估上皮和基质细胞中 CD44 和 EGFR 的表达。肿瘤细胞还通过荧光原位杂交(FISH)进行细胞遗传学分析,以检测 MET 基因扩增。

结果

肿瘤中 CD44 高表达与浆液性亚型显著相关(P=0.001)、腹膜沉积物(P=0.002)和晚期(P=0.002)。EGFR 高肿瘤表达与淋巴结转移(P=0.038)和 EOC 晚期显著相关(P=0.016)。MET 基因拷贝数增加与部分治疗反应显著相关(P=0.030)。CD44 和 EGFR 肿瘤高表达与总生存(OS)不良相关。此外,肿瘤中 MET 基因增益与较短的 OS 相关(P=0.000)。

结论

EOC 中的 EMT 生物标志物(CD44 和 MET)和 EGFR 表达是 OS 的独立预后因素。MET 基因拷贝数增加在浆液性肿瘤中检测到,与不良生存和最小治疗反应相关。

https://cdn.ncbi.nlm.nih.gov/pmc/blobs/127a/9971466/e5eea2f08876/APJCP-23-4213-g005.jpg
https://cdn.ncbi.nlm.nih.gov/pmc/blobs/127a/9971466/953c5e68278b/APJCP-23-4213-g001.jpg
https://cdn.ncbi.nlm.nih.gov/pmc/blobs/127a/9971466/0240f485dc80/APJCP-23-4213-g002.jpg
https://cdn.ncbi.nlm.nih.gov/pmc/blobs/127a/9971466/a417d2eba01c/APJCP-23-4213-g003.jpg
https://cdn.ncbi.nlm.nih.gov/pmc/blobs/127a/9971466/d5947e304b0d/APJCP-23-4213-g004.jpg
https://cdn.ncbi.nlm.nih.gov/pmc/blobs/127a/9971466/e5eea2f08876/APJCP-23-4213-g005.jpg
https://cdn.ncbi.nlm.nih.gov/pmc/blobs/127a/9971466/953c5e68278b/APJCP-23-4213-g001.jpg
https://cdn.ncbi.nlm.nih.gov/pmc/blobs/127a/9971466/0240f485dc80/APJCP-23-4213-g002.jpg
https://cdn.ncbi.nlm.nih.gov/pmc/blobs/127a/9971466/a417d2eba01c/APJCP-23-4213-g003.jpg
https://cdn.ncbi.nlm.nih.gov/pmc/blobs/127a/9971466/d5947e304b0d/APJCP-23-4213-g004.jpg
https://cdn.ncbi.nlm.nih.gov/pmc/blobs/127a/9971466/e5eea2f08876/APJCP-23-4213-g005.jpg

相似文献

1
Prognostic Outcome of Mesenchymal Transition Biomarkers in Correlation with EGFR Expression in Epithelial Ovarian Carcinoma Patients.上皮性卵巢癌中间质转化标志物与 EGFR 表达的相关性及其预后价值。
Asian Pac J Cancer Prev. 2022 Dec 1;23(12):4213-4225. doi: 10.31557/APJCP.2022.23.12.4213.
2
MicroRNA-7 inhibits tumor metastasis and reverses epithelial-mesenchymal transition through AKT/ERK1/2 inactivation by targeting EGFR in epithelial ovarian cancer.微小RNA-7通过靶向表皮生长因子受体使蛋白激酶B/细胞外信号调节激酶1/2失活,从而抑制上皮性卵巢癌的肿瘤转移并逆转上皮-间质转化。
PLoS One. 2014 May 9;9(5):e96718. doi: 10.1371/journal.pone.0096718. eCollection 2014.
3
Long noncoding RNA TC0101441 induces epithelial-mesenchymal transition in epithelial ovarian cancer metastasis by downregulating KiSS1.长链非编码 RNA TC0101441 通过下调 KiSS1 诱导上皮性卵巢癌转移中的上皮-间充质转化。
Int J Cancer. 2020 May 1;146(9):2588-2598. doi: 10.1002/ijc.32692. Epub 2019 Dec 5.
4
Snail Driving Alternative Splicing of CD44 by ESRP1 Enhances Invasion and Migration in Epithelial Ovarian Cancer.ESRP1通过蜗牛驱动CD44的可变剪接增强上皮性卵巢癌的侵袭和迁移能力。
Cell Physiol Biochem. 2017;43(6):2489-2504. doi: 10.1159/000484458. Epub 2017 Oct 31.
5
The stromal tumor-infiltrating lymphocytes, cancer stemness, epithelial-mesenchymal transition, and B7-H4 expression in ovarian serous carcinoma.卵巢浆液性癌中的基质肿瘤浸润淋巴细胞、癌症干性、上皮-间充质转化和 B7-H4 表达。
J Ovarian Res. 2023 Jan 6;16(1):3. doi: 10.1186/s13048-022-01076-z.
6
Lysine demethylase 2A promotes the progression of ovarian cancer by regulating the PI3K pathway and reversing epithelial‑mesenchymal transition.赖氨酸去甲基化酶 2A 通过调节 PI3K 通路和逆转上皮-间充质转化促进卵巢癌的进展。
Oncol Rep. 2019 Feb;41(2):917-927. doi: 10.3892/or.2018.6888. Epub 2018 Nov 27.
7
α2,3-sialyltransferase type I regulates migration and peritoneal dissemination of ovarian cancer cells.I型α2,3-唾液酸转移酶调节卵巢癌细胞的迁移和腹膜播散。
Oncotarget. 2017 Apr 25;8(17):29013-29027. doi: 10.18632/oncotarget.15994.
8
Ligand-dependent EGFR activation induces the co-expression of IL-6 and PAI-1 via the NFkB pathway in advanced-stage epithelial ovarian cancer.配体依赖性 EGFR 激活通过 NFkB 通路诱导晚期上皮性卵巢癌中 IL-6 和 PAI-1 的共表达。
Oncogene. 2012 Sep 13;31(37):4139-49. doi: 10.1038/onc.2011.572. Epub 2011 Dec 12.
9
DPY30 is required for the enhanced proliferation, motility and epithelial-mesenchymal transition of epithelial ovarian cancer cells.DPY30 对于增强上皮性卵巢癌细胞的增殖、迁移和上皮-间充质转化是必需的。
Int J Mol Med. 2018 Dec;42(6):3065-3072. doi: 10.3892/ijmm.2018.3869. Epub 2018 Sep 11.
10
Clinical relevance of CD44 surface expression in advanced stage serous epithelial ovarian cancer: a prospective study.晚期浆液性上皮性卵巢癌中CD44表面表达的临床相关性:一项前瞻性研究。
J Cancer Res Clin Oncol. 2016 May;142(5):949-58. doi: 10.1007/s00432-016-2116-5. Epub 2016 Jan 13.

引用本文的文献

1
Regulation of Epithelial-Mesenchymal Transition by Cyrtopodion Scabrum: An in vitro Study against Colorectal Cancer Cells.杠柳次苷通过 EMT 调控抑制结直肠癌细胞生长的体外研究
Asian Pac J Cancer Prev. 2023 Aug 1;24(8):2765-2772. doi: 10.31557/APJCP.2023.24.8.2765.

本文引用的文献

1
Peripheral lymphocyte populations in ovarian cancer patients and correlations with clinicopathological features.卵巢癌患者外周血淋巴细胞亚群及其与临床病理特征的相关性。
J Ovarian Res. 2022 Apr 11;15(1):43. doi: 10.1186/s13048-022-00977-3.
2
Nadir CA-125 has prognostic value for recurrence, but not for survival in patients with ovarian cancer.血清 CA-125 最低点对于卵巢癌患者的复发具有预后价值,但对生存没有影响。
Sci Rep. 2021 Sep 14;11(1):18190. doi: 10.1038/s41598-021-97564-1.
3
Prognostic significance of tumor laterality in advanced ovarian cancer.
晚期卵巢癌中肿瘤侧别的预后意义
Obstet Gynecol Sci. 2021 Nov;64(6):524-531. doi: 10.5468/ogs.21176. Epub 2021 Sep 14.
4
ZYG11A Is Expressed in Epithelial Ovarian Cancer and Correlates With Low Grade Disease.ZYG11A 在卵巢上皮性癌中表达,并与低级别疾病相关。
Front Endocrinol (Lausanne). 2021 Jun 18;12:688104. doi: 10.3389/fendo.2021.688104. eCollection 2021.
5
A Study of CD44 Positive Cancer Cells in Epithelial Ovarian Cancer and their Correlation with P53 And Ki67.上皮性卵巢癌中CD44阳性癌细胞及其与P53和Ki67相关性的研究
J Lab Physicians. 2021 Mar;13(1):50-57. doi: 10.1055/s-0041-1724235. Epub 2021 Feb 22.
6
Differential expression of PD-L1 between primary and metastatic epithelial ovarian cancer and its clinico-pathological correlation.PD-L1 在原发性和转移性上皮性卵巢癌中的差异表达及其与临床病理的相关性。
Sci Rep. 2021 Feb 12;11(1):3750. doi: 10.1038/s41598-021-83276-z.
7
CD44 in Ovarian Cancer Progression and Therapy Resistance-A Critical Role for STAT3.CD44在卵巢癌进展和治疗耐药中的作用——STAT3的关键作用
Front Oncol. 2020 Dec 1;10:589601. doi: 10.3389/fonc.2020.589601. eCollection 2020.
8
Prognostic relevance of high pretreatment CA125 levels in primary serous ovarian cancer.原发性浆液性卵巢癌患者治疗前CA125水平升高的预后相关性
Mol Clin Oncol. 2021 Jan;14(1):8. doi: 10.3892/mco.2020.2170. Epub 2020 Nov 12.
9
Spectrum of Mesenchymal-Epithelial Transition Aberrations and Potential Clinical Implications: Insights From Integrative Pancancer Analysis.间充质-上皮转化异常谱及其潜在临床意义:综合泛癌分析的见解
Front Oncol. 2020 Oct 15;10:560615. doi: 10.3389/fonc.2020.560615. eCollection 2020.
10
The Origin of Ovarian Cancer Species and Precancerous Landscape.卵巢癌种的起源与癌前景观。
Am J Pathol. 2021 Jan;191(1):26-39. doi: 10.1016/j.ajpath.2020.09.006. Epub 2020 Oct 1.