Suppr超能文献

胆囊囊腺癌:一例报告。

Cystadenocarcinoma of the gallbladder: A case report.

作者信息

Hammami Y, Sebai A, Ouadi Y, Ben Mahmoud A, Frikha W, Bel Hadj Ali J, Fteriche S, Kacem J M

机构信息

Department of surgery, Rabta Hospital, Tunisia.

Department of Radiology, Rabta Hospital, Tunisia.

出版信息

Ann Med Surg (Lond). 2022 Nov 17;84:104955. doi: 10.1016/j.amsu.2022.104955. eCollection 2022 Dec.

Abstract

INTRODUCTION AND IMPORTANCE

Cystadenoma and cystadenocarcinoma of the biliary duct remain a rare diagnosis, the localization is intrahepatic in 97% of the cases and extrahepatic in 3%of them [1]. Cystadenocarcinoma of the gallbladder is the rarest localization, it's usually diagnosed late because of the poor symptoms and the nonspecific lesions in the different imaging.Only hundreds of cases have been reported for cystadenocarcinoma of the gallbladder.This case report has been reported in line with the SCARE Criteria.

CASE PRESENTATION

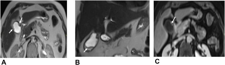
We present a 70-year-old woman, with no family or personal history, who was complaining of pain in the right hypochondrium and an altered general well-being, with no other clinical abnormalities.The imaging including abdominal sonography, CT scan, and MRI concluded at a budding lesion formed in the gallbladder wall which measured 65 × 15mm.Cancer of the gallbladder was suspected and the patient was operated. A resection of segment s4b and 5 of the liver was performed with lymphadenectomy. The post-operative clinical course was uneventful.The diagnosis of cystadenocarcinoma of the gallbladder was confirmed on an anatomopathological exam of the specimen.

CONCLUSION

Cystadenocarcinoma is a rare diagnosis.There are no specific symptoms or lesions at the imaging.The confirmation is obtained on an anatomopathological study of the specimen.

摘要

引言与重要性

胆管囊腺瘤和囊腺癌仍然是一种罕见的诊断,97%的病例位于肝内,3%位于肝外[1]。胆囊囊腺癌是最罕见的发病部位,由于症状不典型以及不同影像学检查中病变缺乏特异性,通常诊断较晚。胆囊囊腺癌仅报道了数百例。本病例报告符合SCARE标准。

病例介绍

我们报告一名70岁女性,无家族史或个人史,主诉右季肋部疼痛且全身状况不佳,无其他临床异常。包括腹部超声、CT扫描和MRI在内的影像学检查发现胆囊壁上有一个大小为65×15mm的芽状病变。怀疑为胆囊癌,患者接受了手术。进行了肝S4b和S5段切除及淋巴结清扫术。术后临床过程平稳。标本的解剖病理学检查证实为胆囊囊腺癌。

结论

胆囊囊腺癌是一种罕见的诊断。影像学检查没有特异性症状或病变。通过对标本的解剖病理学研究得以确诊。

https://cdn.ncbi.nlm.nih.gov/pmc/blobs/1486/9793253/9a50606b0efd/gr1.jpg

文献检索

告别复杂PubMed语法,用中文像聊天一样搜索,搜遍4000万医学文献。AI智能推荐,让科研检索更轻松。

立即免费搜索

文件翻译

保留排版,准确专业,支持PDF/Word/PPT等文件格式,支持 12+语言互译。

免费翻译文档

深度研究

AI帮你快速写综述,25分钟生成高质量综述,智能提取关键信息,辅助科研写作。

立即免费体验