• 文献检索
  • 文档翻译
  • 深度研究
  • 学术资讯
  • Suppr Zotero 插件Zotero 插件
  • 邀请有礼
  • 套餐&价格
  • 历史记录
应用&插件
Suppr Zotero 插件Zotero 插件浏览器插件Mac 客户端Windows 客户端微信小程序
定价
高级版会员购买积分包购买API积分包
服务
文献检索文档翻译深度研究API 文档MCP 服务
关于我们
关于 Suppr公司介绍联系我们用户协议隐私条款
关注我们

Suppr 超能文献

核心技术专利:CN118964589B侵权必究
粤ICP备2023148730 号-1Suppr @ 2026

文献检索

告别复杂PubMed语法,用中文像聊天一样搜索,搜遍4000万医学文献。AI智能推荐,让科研检索更轻松。

立即免费搜索

文件翻译

保留排版,准确专业,支持PDF/Word/PPT等文件格式,支持 12+语言互译。

免费翻译文档

深度研究

AI帮你快速写综述,25分钟生成高质量综述,智能提取关键信息,辅助科研写作。

立即免费体验

伴有混淆性类固醇反应的成人延髓H3 K27M改变的弥漫性中线胶质瘤的影像学特征

Imaging characterization of an adult H3 K27M-altered diffuse midline glioma of the medulla oblongata with a confounding steroid response.

作者信息

Godi Claudia, Garofalo Paolo, Callea Marcella, Vezzulli Paolo, Barbera Maurizio, Mandelli Carlo, Mazza Elena, Pollo Bianca, Terreni Maria Rosa, Castellano Antonella, Anzalone Nicoletta, Falini Andrea

机构信息

Neuroradiology Unit and CERMAC, IRCCS San Raffaele Scientific Institute, Via Olgettina 60, 20132, Milan, Italy.

Policlinico Universitario di Monserrato, Cagliari University, Cagliari, Italy.

出版信息

Radiol Case Rep. 2022 Dec 18;18(3):788-793. doi: 10.1016/j.radcr.2022.10.082. eCollection 2023 Mar.

DOI:10.1016/j.radcr.2022.10.082
PMID:36589504
原文链接:https://pmc.ncbi.nlm.nih.gov/articles/PMC9794887/
Abstract

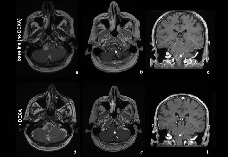
We report an uncommon, infratentorial localization of adult H3 K27M-altered diffuse midline glioma arising in a particularly rare site (medulla oblongata). In addition to this unusual presentation, the lesion exhibited a substantial contrast enhancement and size decrease after dexamethasone, generating diagnostic dilemmas. Histology, molecular details, advanced Magnetic Resonance imaging features and differential diagnoses are here described and discussed, as well as common misconceptions about steroid-sensitive mass lesions, and practical difficulties for clinicians involved in the process of making diagnosis.

摘要

我们报告了一例罕见的幕下定位的成人H3 K27M改变的弥漫性中线胶质瘤,其起源于一个特别罕见的部位(延髓)。除了这种不寻常的表现外,该病变在使用地塞米松后显示出明显的对比增强和体积减小,这产生了诊断难题。本文描述并讨论了组织学、分子细节、先进的磁共振成像特征和鉴别诊断,以及关于类固醇敏感的肿块病变的常见误解,以及参与诊断过程的临床医生所面临的实际困难。

https://cdn.ncbi.nlm.nih.gov/pmc/blobs/709d/9794887/15c3ae634052/gr4.jpg
https://cdn.ncbi.nlm.nih.gov/pmc/blobs/709d/9794887/12b1da1f013c/gr1.jpg
https://cdn.ncbi.nlm.nih.gov/pmc/blobs/709d/9794887/f57f1d15a439/gr2.jpg
https://cdn.ncbi.nlm.nih.gov/pmc/blobs/709d/9794887/ebfba3634029/gr3.jpg
https://cdn.ncbi.nlm.nih.gov/pmc/blobs/709d/9794887/15c3ae634052/gr4.jpg
https://cdn.ncbi.nlm.nih.gov/pmc/blobs/709d/9794887/12b1da1f013c/gr1.jpg
https://cdn.ncbi.nlm.nih.gov/pmc/blobs/709d/9794887/f57f1d15a439/gr2.jpg
https://cdn.ncbi.nlm.nih.gov/pmc/blobs/709d/9794887/ebfba3634029/gr3.jpg
https://cdn.ncbi.nlm.nih.gov/pmc/blobs/709d/9794887/15c3ae634052/gr4.jpg

相似文献

1
Imaging characterization of an adult H3 K27M-altered diffuse midline glioma of the medulla oblongata with a confounding steroid response.伴有混淆性类固醇反应的成人延髓H3 K27M改变的弥漫性中线胶质瘤的影像学特征
Radiol Case Rep. 2022 Dec 18;18(3):788-793. doi: 10.1016/j.radcr.2022.10.082. eCollection 2023 Mar.
2
An adult case of diffuse midline glioma with H3 K27M mutation.弥漫性中线胶质瘤伴 H3 K27M 突变的 1 例成人病例。
Neuropathology. 2020 Dec;40(6):627-631. doi: 10.1111/neup.12689. Epub 2020 Sep 20.
3
A Rare High-Grade Glioma with a Histone H3 K27M Mutation in the Hypothalamus of an Adult Patient.成人下丘脑伴 H3 K27M 突变的罕见高级别胶质瘤。
World Neurosurg. 2019 Aug;128:527-531. doi: 10.1016/j.wneu.2019.04.172. Epub 2019 Apr 29.
4
A rare case of adult diffuse midline glioma with H3 K27M mutant in the prepontine cistern.桥前池内 H3 K27M 突变的成人弥漫性中线胶质瘤罕见病例。
J Int Med Res. 2021 Jan;49(1):300060520981266. doi: 10.1177/0300060520981266.
5
Differentiation between spinal cord diffuse midline glioma with histone H3 K27M mutation and wild type: comparative magnetic resonance imaging.脊髓弥漫性中线胶质瘤伴组蛋白H3 K27M突变与野生型的鉴别:磁共振成像比较
Neuroradiology. 2019 Mar;61(3):313-322. doi: 10.1007/s00234-019-02154-8. Epub 2019 Jan 20.
6
A longitudinally extensive H3 K27M-mutant diffuse midline glioma in an elderly patient clinically mimicking central nervous system inflammation: a case report.一位老年患者的 H3 K27M 突变弥漫性中线脑胶质瘤,临床表现类似于中枢神经系统炎症:病例报告。
Folia Neuropathol. 2020;58(4):377-385. doi: 10.5114/fn.2020.102440.
7
Diffusion Characteristics of Pediatric Diffuse Midline Gliomas with Histone H3-K27M Mutation Using Apparent Diffusion Coefficient Histogram Analysis.基于表观扩散系数直方图分析的组蛋白 H3-K27M 突变型小儿弥漫中线胶质瘤的扩散特征。
AJNR Am J Neuroradiol. 2019 Nov;40(11):1804-1810. doi: 10.3174/ajnr.A6302. Epub 2019 Nov 6.
8
Tectal Low-Grade Glioma with H3 K27M Mutation.顶盖部低级别胶质瘤伴 H3 K27M 突变。
World Neurosurg. 2020 Sep;141:91-100. doi: 10.1016/j.wneu.2020.05.240. Epub 2020 Jun 4.
9
Imaging Characteristics of Pediatric Diffuse Midline Gliomas with Histone H3 K27M Mutation.携带组蛋白H3 K27M突变的儿童弥漫性中线胶质瘤的影像学特征
AJNR Am J Neuroradiol. 2017 Apr;38(4):795-800. doi: 10.3174/ajnr.A5076. Epub 2017 Feb 9.
10
Incidence and clinicopathologic features of H3 K27M mutations in adults with radiographically-determined midline gliomas.影像学诊断的中线胶质瘤中 H3 K27M 突变的发生率及临床病理特征。
J Neurooncol. 2019 May;143(1):87-93. doi: 10.1007/s11060-019-03134-x. Epub 2019 Mar 12.

本文引用的文献

1
The 2021 WHO Classification of Tumors of the Central Nervous System: a summary.2021 年世卫组织中枢神经系统肿瘤分类:概述。
Neuro Oncol. 2021 Aug 2;23(8):1231-1251. doi: 10.1093/neuonc/noab106.
2
Radiosurgery for Glioblastoma.伽玛刀治疗脑胶质瘤。
Neurosurg Clin N Am. 2021 Jan;32(1):117-128. doi: 10.1016/j.nec.2020.08.007. Epub 2020 Nov 5.
3
The 2016 World Health Organization Classification of Tumors of the Central Nervous System: a summary.2016 年世界卫生组织中枢神经系统肿瘤分类:概述。
Acta Neuropathol. 2016 Jun;131(6):803-20. doi: 10.1007/s00401-016-1545-1. Epub 2016 May 9.
4
The H3.3 K27M mutation results in a poorer prognosis in brainstem gliomas than thalamic gliomas in adults.在成人中,H3.3 K27M突变导致脑干胶质瘤的预后比丘脑胶质瘤更差。
Hum Pathol. 2015 Nov;46(11):1626-32. doi: 10.1016/j.humpath.2015.07.002. Epub 2015 Jul 15.
5
Primary central nervous system lymphoma and atypical glioblastoma: multiparametric differentiation by using diffusion-, perfusion-, and susceptibility-weighted MR imaging.原发性中枢神经系统淋巴瘤和非典型性脑胶质瘤:弥散、灌注和磁化率加权 MR 成像的多参数鉴别诊断。
Radiology. 2014 Sep;272(3):843-50. doi: 10.1148/radiol.14132740. Epub 2014 May 3.
6
Dexamethasone alleviates tumor-associated brain damage and angiogenesis.地塞米松可减轻肿瘤相关的脑损伤和血管生成。
PLoS One. 2014 Apr 8;9(4):e93264. doi: 10.1371/journal.pone.0093264. eCollection 2014.
7
Molecular analysis of diffuse intrinsic brainstem gliomas in adults.成人弥漫性脑桥内生型胶质瘤的分子分析
J Neurooncol. 2014 Jan;116(2):405-11. doi: 10.1007/s11060-013-1312-2. Epub 2013 Nov 17.
8
Glioblastoma presenting with steroid-induced pseudoregression of contrast enhancement on magnetic resonance imaging.胶质母细胞瘤在磁共振成像上表现为类固醇诱导的对比增强假性消退。
Case Rep Neurol Med. 2012;2012:816873. doi: 10.1155/2012/816873. Epub 2012 Jul 11.
9
Glioblastoma of the cerebellum and brainstem.小脑和脑干的胶质母细胞瘤。
J Clin Neurosci. 2010 Oct;17(10):1248-51. doi: 10.1016/j.jocn.2010.02.015. Epub 2010 Jul 8.
10
Updated response assessment criteria for high-grade gliomas: response assessment in neuro-oncology working group.高级别胶质瘤更新后的反应评估标准:神经肿瘤学工作组的反应评估。
J Clin Oncol. 2010 Apr 10;28(11):1963-72. doi: 10.1200/JCO.2009.26.3541. Epub 2010 Mar 15.