State Key Laboratory of Medical Molecular Biology, Department of Biochemistry and Molecular Biology, Institute of Basic Medical Sciences, Chinese Academy of Medical Sciences and Peking Union Medical College, Beijing 100005, China.
Cells. 2022 Dec 29;12(1):145. doi: 10.3390/cells12010145.
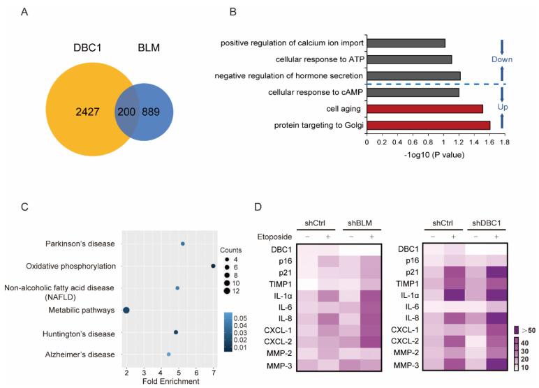
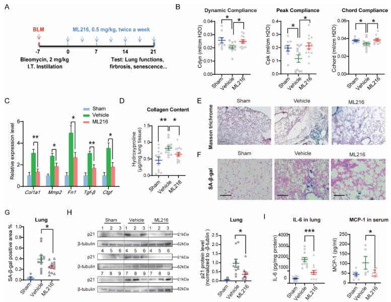
DNA damage is the major cause of senescence and apoptosis; however, the manner by which DNA-damaged cells become senescent remains unclear. We demonstrate that DNA damage leads to a greater level of senescence rather than apoptosis in DBC1-deficient cells. In addition, we show that BLM becomes degraded during DNA damage, which induces p21 expression and senescence. DBC1 binds to and shields BLM from degradation, thus suppressing senescence. ML216 promotes DBC1-BLM interaction, which aids in the preservation of BLM following DNA damage and suppresses senescence. ML216 enhances pulmonary function by lowering the levels of senescence and fibrosis in both aged mice and a mouse model of bleomycin-induced idiopathic pulmonary fibrosis. Our data reveal a unique mechanism preventing DNA-damaged cells from becoming senescent, which may be regulated by the use of ML216 as a potential treatment for senescence-related diseases.
DNA 损伤是衰老和凋亡的主要原因;然而,DNA 损伤细胞如何变得衰老仍不清楚。我们证明,与 BLM 降解相关的 DBC1 缺失会导致细胞衰老而非凋亡。此外,我们发现 BLM 在 DNA 损伤期间被降解,这会诱导 p21 的表达和衰老。DBC1 与 BLM 结合并防止其降解,从而抑制衰老。ML216 促进 DBC1-BLM 相互作用,有助于 DNA 损伤后 BLM 的保存并抑制衰老。ML216 通过降低衰老和纤维化水平来增强肺功能,在老年小鼠和博来霉素诱导的特发性肺纤维化小鼠模型中均如此。我们的数据揭示了一种防止 DNA 损伤细胞衰老的独特机制,该机制可能通过使用 ML216 作为治疗与衰老相关疾病的潜在手段来调节。