Suppr超能文献

基于MRI的纹理分析对甲状腺乳头状癌BRAF V600E突变的术前预测

MRI-Based Texture Analysis for Preoperative Prediction of BRAF V600E Mutation in Papillary Thyroid Carcinoma.

作者信息

Zheng Tingting, Hu Wenjuan, Wang Hao, Xie Xiaoli, Tang Lang, Liu Weiyan, Wu Pu-Yeh, Xu Jingjing, Song Bin

机构信息

Department of Radiology, Minhang Hospital, Fudan University, Shanghai, People's Republic of China.

Department of Pathology, Minhang Hospital, Fudan University, Shanghai, People's Republic of China.

出版信息

J Multidiscip Healthc. 2023 Jan 6;16:1-10. doi: 10.2147/JMDH.S393993. eCollection 2023.

Abstract

PURPOSE

BRAF V600E mutation can compensate for the low detection rate by fine-needle aspiration (FNA) and is related to aggressiveness and lymph node metastasis. This study aimed to investigate the relationship between texture analysis features based on magnetic resonance imaging (MRI) and mutations.

METHODS

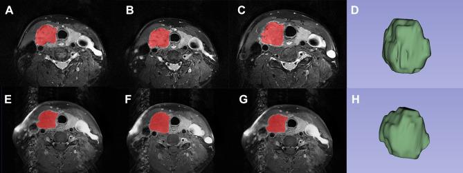
Retrospective analysis was performed on patients with postoperative pathology confirmed papillary thyroid carcinoma (PTC) from 2017 to 2021. One thousand one hundred and thirty-two texture features were extracted from T2-weighted imaging (T2WI) and contrast-enhanced T1-weighted imaging (CE-T1WI) separately by outlining the tumor volume of interest (VOI). Univariate, minimum redundancy maximum relevance (mRMR), and multivariate analyses were used for feature selection to construct 3 models (T2WI, CE-T1WI, and combined model) to predict mutation. The reproducibility between observers was evaluated by intraclass correlation coefficient (ICC). Receiver operating characteristic (ROC) analysis was used to assess the performance of models. The diagnostic performance of the optimal cut-off value of models were calculated and validated by 10-fold cross-validation.

RESULTS

A total of 80 PTCs (22 BRAF V600E wild-type and 58 BRAF V600E mutant) were included in our study. Good interobserver agreement was found on texture features we selected (all ICCs >0.75). The area under the ROC curves (AUCs) for the T2WI model, CE-T1WI model, and combined model were 0.83 (95% CI: 0.75-0.91), 0.83 (95% CI: 0.73-0.90), and 0.88 (95% CI: 0.81-0.94), respectively. The accuracy, sensitivity, specificity, PPV, and NPV were 0.776, 0.679, 0.905, 0.905, and 0.679 for the T2WI model at a cut-off value of 0.674; 0.755, 0.750, 0.762, 0.808, and 0.696 for the CE-T1WI model at a cut-off value of 0.573; 0.816, 0.893, 0.714, 0.806, and 0.833 for the combined model at a cut-off value of 0.420.

CONCLUSION

MRI-based texture analysis could be a potential method for predicting BRAF V600E mutation in PTC preoperatively.

摘要

目的

BRAF V600E突变可弥补细针穿刺活检(FNA)检出率低的问题,且与侵袭性和淋巴结转移有关。本研究旨在探讨基于磁共振成像(MRI)的纹理分析特征与突变之间的关系。

方法

对2017年至2021年术后病理确诊为甲状腺乳头状癌(PTC)的患者进行回顾性分析。通过勾勒感兴趣的肿瘤体积(VOI),分别从T2加权成像(T2WI)和对比增强T1加权成像(CE-T1WI)中提取1132个纹理特征。采用单变量、最小冗余最大相关性(mRMR)和多变量分析进行特征选择,构建3个模型(T2WI、CE-T1WI和联合模型)来预测突变。通过组内相关系数(ICC)评估观察者之间的可重复性。采用受试者操作特征(ROC)分析评估模型的性能。通过10倍交叉验证计算并验证模型最佳截断值的诊断性能。

结果

本研究共纳入80例PTC患者(22例BRAF V600E野生型和58例BRAF V600E突变型)。我们选择的纹理特征在观察者之间具有良好的一致性(所有ICC均>0.75)。T2WI模型、CE-T1WI模型和联合模型的ROC曲线下面积(AUC)分别为0.83(95%CI:0.75-0.91)、0.83(95%CI:0.73-0.90)和0.88(95%CI:0.81-0.94)。T2WI模型在截断值为0.674时,准确率、灵敏度、特异性、阳性预测值和阴性预测值分别为0.776、0.679、0.905、0.905和0.679;CE-T1WI模型在截断值为0.573时,分别为0.755、0.750、0.762、0.808和0.696;联合模型在截断值为0.420时,分别为0.816、0.893、0.714、0.806和0.833。

结论

基于MRI的纹理分析可能是术前预测PTC中BRAF V600E突变的一种潜在方法。

https://cdn.ncbi.nlm.nih.gov/pmc/blobs/447c/9831001/4f18d3a6b691/JMDH-16-1-g0001.jpg

文献AI研究员

20分钟写一篇综述,助力文献阅读效率提升50倍。

立即体验

用中文搜PubMed

大模型驱动的PubMed中文搜索引擎

马上搜索

文档翻译

学术文献翻译模型,支持多种主流文档格式。

立即体验