Suppr超能文献

颅内动脉瘤的极速发展

The Exceedingly Rapid Development of an Intracranial Aneurysm.

作者信息

Massari Francesco

机构信息

Radiology, University of Massachusetts Medical School, Worcester, USA.

出版信息

Cureus. 2022 Dec 17;14(12):e32636. doi: 10.7759/cureus.32636. eCollection 2022 Dec.

Abstract

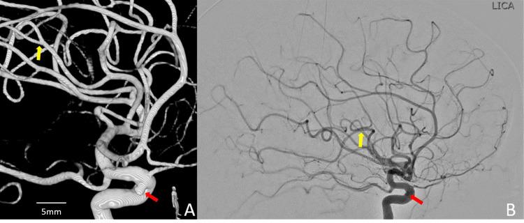
Despite significant diagnostic and technical progress in managing intracranial aneurysms, there are still open questions in understanding their pathophysiology: how fast can they form and grow? We had the chance to observe the "de novo" genesis and rupture of an aneurysm of a left MCA posterior trunk M3 branch within 14 days in one of our patients. We were in the position to compare an initially inconspicuous vessel, assessed during a diagnostic cerebral angiogram with 3D acquisitions, performed as an elective follow-up to monitor the decade stability of a transitional aneurysm in the same vascular territory, and the same vessel only two weeks after, harboring a new small ruptured aneurysm. Several studies along the intracranial aneurysms' pathophysiology have been reported but primarily oriented toward identifying uncommon conditions such as inherent defects in collagen synthesis, genetic or familial factors, or basic anatomic variations or abnormalities in the cerebral vasculature. Suppose this case report does not pretend to provide a clear answer to these questions. However, it is up to date, the shortest time (14 days) reported in the literature for a well-documented "de novo" genesis and rupture of an intracranial aneurysm "in vivo" in humans. The purpose of this case report is not only to underscore the unpredictability of this vascular disease but, even more, to support the idea that further investigation, with more modern methodologies, is of paramount importance in determining the etiopathogenesis and behavior of this stealthy disease.

摘要

尽管在颅内动脉瘤的管理方面取得了重大的诊断和技术进展,但在理解其病理生理学方面仍存在一些悬而未决的问题:它们形成和生长的速度有多快?我们有机会在我们的一名患者中观察到左侧大脑中动脉后干M3分支的动脉瘤在14天内“从头”发生和破裂。我们能够将在诊断性脑血管造影中通过三维采集评估的最初不显眼的血管,与在同一血管区域对一个过渡性动脉瘤进行十年稳定性监测的选择性随访中进行的造影进行比较,以及仅在两周后观察到同一个血管,此时它出现了一个新的小破裂动脉瘤。关于颅内动脉瘤病理生理学的几项研究已经报道,但主要侧重于识别罕见情况,如胶原合成的内在缺陷、遗传或家族因素,或脑血管系统的基本解剖变异或异常。假设本病例报告并非旨在为这些问题提供明确答案。然而,它是最新的,是文献中报道的人类颅内动脉瘤在“体内”有充分记录的“从头”发生和破裂的最短时间(14天)。本病例报告的目的不仅是强调这种血管疾病的不可预测性,更重要的是支持这样一种观点,即采用更现代的方法进行进一步研究对于确定这种隐匿性疾病的病因和行为至关重要。

https://cdn.ncbi.nlm.nih.gov/pmc/blobs/abf1/9842106/6e5c6822ab01/cureus-0014-00000032636-i01.jpg

文献检索

告别复杂PubMed语法,用中文像聊天一样搜索,搜遍4000万医学文献。AI智能推荐,让科研检索更轻松。

立即免费搜索

文件翻译

保留排版,准确专业,支持PDF/Word/PPT等文件格式,支持 12+语言互译。

免费翻译文档

深度研究

AI帮你快速写综述,25分钟生成高质量综述,智能提取关键信息,辅助科研写作。

立即免费体验