Suppr超能文献

固定正畸治疗中局部重度牙周炎患者的牙周治疗:一例报告。

Periodontal therapy for localized severe periodontitis in a patient receiving fixed orthodontic treatment: a case report.

机构信息

Department of Dentistry and Oral Surgery, Keio University School of Medicine, 35 Shinanomachi, Shinjuku-ku, Tokyo, 160-8582, Japan.

Watanabe Orthodontic Office, 1-11-26-2F Kichijoji-honcho, Musashino, Tokyo, 180-0004, Japan.

出版信息

J Med Case Rep. 2023 Jan 20;17(1):19. doi: 10.1186/s13256-023-03751-1.

Abstract

BACKGROUND

Orthodontic treatment involves movement of teeth by compression and resorption of the alveolar bone using orthodontic forces. These movements are closely linked to the interactions between the teeth and the periodontal tissues that support them. Owing to an increase in adults seeking orthodontic treatment, orthodontists increasingly encounter patients with periodontal diseases, in whom orthodontic treatment is contraindicated. In rare cases, periodontitis may develop after treatment initiation. However, no approach for treating periodontitis after the initiation of orthodontic treatment has been established. Here, we present an approach for managing localized severe periodontitis manifesting after initiating orthodontic treatment.

CASE PRESENTATION

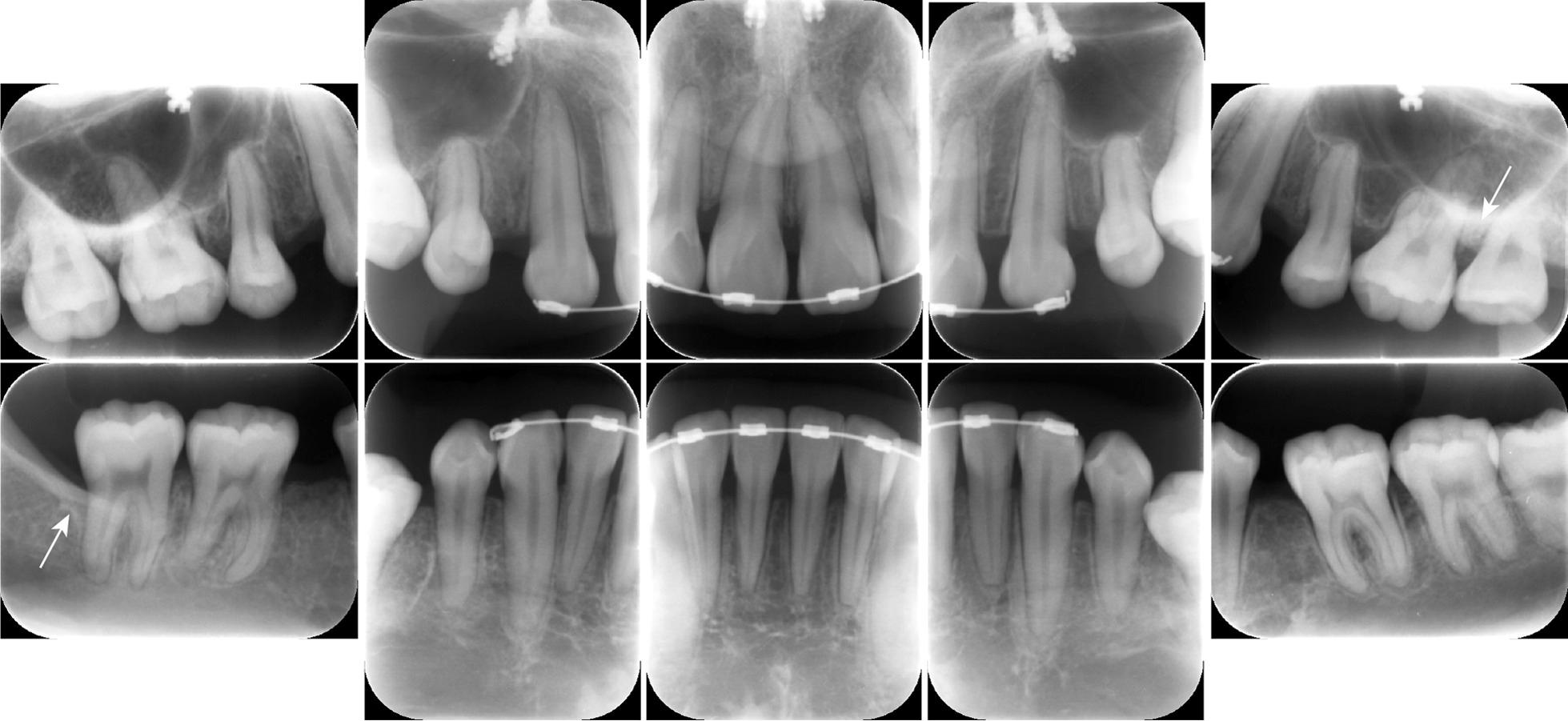
A 32-year-old Japanese woman was referred to the Department of Dentistry and Oral Surgery by an orthodontist who observed symptoms of acute periodontitis in the maxillary molars that required periodontal examination and treatment. A detailed periodontal examination, including oral bacteriological examination, revealed localized severe periodontitis (stage III, grade B) in the maxillary left first and second molars and in the mandibular right second molar. After consultation with the orthodontist, the orthodontic treatment was suspended based on the results of the bacteriological examination to allow for periodontal treatment. Full-mouth disinfection was performed with adjunctive oral sitafloxacin. Periodontal and bacteriological examinations after treatment revealed regression of the localized periodontitis with bone regeneration. Thereafter, orthodontic treatment was resumed, and good progress was achieved.

CONCLUSIONS

Orthodontists should recognize the risk of acute severe periodontitis in young adults. Asymptomatic patients with localized severe periodontitis may clear a screening test before orthodontic treatment but develop acute symptoms with bone resorption during orthodontic treatment. Therefore, patients requiring orthodontic treatment should be examined by their family dentist or a periodontist to rule out periodontal issues that may impede orthodontic treatment. The patients should also be informed of age-related risks. Further, periodontists, family dentists, and orthodontists who treat adults should be informed about periodontitis and the need for interdisciplinary collaboration. In patients who develop periodontitis after orthodontic treatment initiation, temporary interruption of orthodontic treatment and aggressive periodontal intervention may facilitate recovery.

摘要

背景

正畸治疗通过正畸力使牙齿压缩和吸收牙槽骨来实现牙齿移动。这些运动与牙齿和支持它们的牙周组织之间的相互作用密切相关。由于寻求正畸治疗的成年人增多,正畸医生越来越多地遇到患有牙周病的患者,这些患者不适合进行正畸治疗。在极少数情况下,治疗开始后可能会发展为牙周炎。然而,目前尚未确定治疗正畸治疗开始后牙周炎的方法。在这里,我们提出了一种治疗正畸治疗开始后出现的局限性严重牙周炎的方法。

病例介绍

一名 32 岁的日本女性因正畸医生观察到上颌磨牙有急性牙周炎的症状而被转介到口腔科。详细的牙周检查,包括口腔细菌学检查,发现上颌左侧第一和第二磨牙以及下颌右侧第二磨牙存在局限性严重牙周炎(III 期,B 级)。根据细菌学检查结果,在与正畸医生协商后,暂停正畸治疗以进行牙周治疗。全口消毒采用辅助口服司他沙星。治疗后的牙周和细菌学检查显示,局部牙周炎有消退和骨再生。此后,恢复正畸治疗,取得了良好的进展。

结论

正畸医生应认识到年轻成年人急性严重牙周炎的风险。无症状的局限性严重牙周炎患者在正畸治疗前可能通过筛查试验,但在正畸治疗期间会出现骨吸收的急性症状。因此,需要正畸治疗的患者应接受家庭牙医或牙周病医生的检查,以排除可能妨碍正畸治疗的牙周问题。患者也应被告知与年龄相关的风险。此外,治疗成年人的牙周病医生、家庭牙医和正畸医生应了解牙周炎和需要进行跨学科合作。对于正畸治疗开始后发生牙周炎的患者,暂时中断正畸治疗和积极的牙周干预可能有助于恢复。

https://cdn.ncbi.nlm.nih.gov/pmc/blobs/bcbd/9854180/eebfeeeaf62f/13256_2023_3751_Fig1_HTML.jpg

文献AI研究员

20分钟写一篇综述,助力文献阅读效率提升50倍。

立即体验

用中文搜PubMed

大模型驱动的PubMed中文搜索引擎

马上搜索

文档翻译

学术文献翻译模型,支持多种主流文档格式。

立即体验