• 文献检索
  • 文档翻译
  • 深度研究
  • 学术资讯
  • Suppr Zotero 插件Zotero 插件
  • 邀请有礼
  • 套餐&价格
  • 历史记录
应用&插件
Suppr Zotero 插件Zotero 插件浏览器插件Mac 客户端Windows 客户端微信小程序
定价
高级版会员购买积分包购买API积分包
服务
文献检索文档翻译深度研究API 文档MCP 服务
关于我们
关于 Suppr公司介绍联系我们用户协议隐私条款
关注我们

Suppr 超能文献

核心技术专利:CN118964589B侵权必究
粤ICP备2023148730 号-1Suppr @ 2026

文献检索

告别复杂PubMed语法,用中文像聊天一样搜索,搜遍4000万医学文献。AI智能推荐,让科研检索更轻松。

立即免费搜索

文件翻译

保留排版,准确专业,支持PDF/Word/PPT等文件格式,支持 12+语言互译。

免费翻译文档

深度研究

AI帮你快速写综述,25分钟生成高质量综述,智能提取关键信息,辅助科研写作。

立即免费体验

巨大胆囊肿瘤,罕见癌症——病例报告及文献简短综述

Giant Gallbladder Tumor, Unusual Cancer-Case Report and Short Review of Literature.

作者信息

Constantin Adrian, Achim Florin, Turcu Tudor, Birceanu Adelina, Evsei Anca, Socea Bogdan, Predescu Dragos

机构信息

Department of Esophageal and General Surgery, "Saint Mary" Clinical Hospital Bucharest, 011192 Bucharest, Romania.

Faculty of Medicine, Carol Davila University of Medicine and Pharmacy Bucharest, 050474 Bucharest, Romania.

出版信息

Diagnostics (Basel). 2023 Jan 5;13(2):194. doi: 10.3390/diagnostics13020194.

DOI:10.3390/diagnostics13020194
PMID:36673003
原文链接:https://pmc.ncbi.nlm.nih.gov/articles/PMC9857600/
Abstract

BACKGROUND

Giant gallbladder is an uncommon condition that can result from a benign pathology and rarely presents with malignancy. Intracholecystic papillary-tubular neoplasm (ICPN) is a relatively new entity first described by V. Adsay in 2012 and included in the World Health Classification of Digestive System Tumours in 2019. Intracholecystic papillary-tubular neoplasm is a preinvasive lesion with an incidence of around 1% that may present as four histologic subtypes-biliary, gastric, intestinal, or oncocytic-of which the biliary subtype has the highest risk of associated invasive cancer. Although invasive carcinoma is present in about 50% of cases of ICPN, these patients have a significantly better prognosis than those with usual gallbladder cancer, suggesting that the entities may have distinct biological signatures.

CASE REPORT

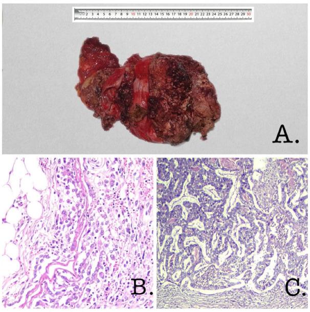
A 77-year-old female presented to the hospital with progressive swelling in the right hemiabdomen, a loss of appetite, and weight loss. MRI highlighted a giant abdominal tumor located in the right hypochondrium and right abdominal flank with liver invasion (segment V). Preoperatively, a gallbladder 25 × 17 cm in size was noted, and the patient underwent radical cholecystectomy. It was surprising to find such a giant malignant gallbladder tumor, diagnosed as invasive poorly cohesive carcinoma associated with ICPN.

DISCUSSION

A megacholecyst is a rare discovery. Although most often found in benign pathologies, giant gallbladder cancer can be considered. The neoplastic features and the loco-regional extension of the tumor must be evaluated by imaging scans. Few cases of giant benign gallbladder have been reported in the literature; however, this appeared to be the largest resectable gallbladder carcinoma reported to date according to the literature.

CONCLUSION

The stage of gallbladder neoplasia is not correlated with the size of the gallbladder. Regardless of tumor size, the prognosis seems to be directly related to the stage, morphology, and resectability.

摘要

背景

巨大胆囊是一种罕见的情况,可由良性病变引起,很少伴有恶性肿瘤。胆囊内乳头状管状肿瘤(ICPN)是一种相对较新的实体,于2012年由V. Adsay首次描述,并于2019年被纳入《世界卫生组织消化系统肿瘤分类》。胆囊内乳头状管状肿瘤是一种浸润前病变,发病率约为1%,可表现为四种组织学亚型——胆管型、胃型、肠型或嗜酸性细胞型,其中胆管型与浸润性癌相关的风险最高。尽管约50%的ICPN病例存在浸润性癌,但这些患者的预后明显优于普通胆囊癌患者,这表明这些实体可能具有不同的生物学特征。

病例报告

一名77岁女性因右半腹进行性肿胀、食欲不振和体重减轻入院。磁共振成像(MRI)显示一个巨大的腹部肿瘤位于右季肋部和右腹外侧,侵犯肝脏(Ⅴ段)。术前发现胆囊大小为25×17cm,患者接受了根治性胆囊切除术。令人惊讶的是,发现了这样一个巨大的恶性胆囊肿瘤,诊断为与ICPN相关的浸润性低黏附性癌。

讨论

巨大胆囊是一种罕见的发现。尽管最常见于良性病变,但也应考虑巨大胆囊癌。肿瘤的特征和局部扩展必须通过影像学检查进行评估。文献中报道的巨大良性胆囊病例很少;然而,根据文献,这似乎是迄今为止报道的最大的可切除胆囊癌。

结论

胆囊肿瘤的分期与胆囊大小无关。无论肿瘤大小如何,预后似乎直接与分期、形态和可切除性相关。

https://cdn.ncbi.nlm.nih.gov/pmc/blobs/2762/9857600/b5e7a5676b15/diagnostics-13-00194-g003.jpg
https://cdn.ncbi.nlm.nih.gov/pmc/blobs/2762/9857600/8efd104e9068/diagnostics-13-00194-g001.jpg
https://cdn.ncbi.nlm.nih.gov/pmc/blobs/2762/9857600/a8154a00ba17/diagnostics-13-00194-g002.jpg
https://cdn.ncbi.nlm.nih.gov/pmc/blobs/2762/9857600/b5e7a5676b15/diagnostics-13-00194-g003.jpg
https://cdn.ncbi.nlm.nih.gov/pmc/blobs/2762/9857600/8efd104e9068/diagnostics-13-00194-g001.jpg
https://cdn.ncbi.nlm.nih.gov/pmc/blobs/2762/9857600/a8154a00ba17/diagnostics-13-00194-g002.jpg
https://cdn.ncbi.nlm.nih.gov/pmc/blobs/2762/9857600/b5e7a5676b15/diagnostics-13-00194-g003.jpg

相似文献

1
Giant Gallbladder Tumor, Unusual Cancer-Case Report and Short Review of Literature.巨大胆囊肿瘤,罕见癌症——病例报告及文献简短综述
Diagnostics (Basel). 2023 Jan 5;13(2):194. doi: 10.3390/diagnostics13020194.
2
Intracholecystic papillary-tubular neoplasms (ICPN) of the gallbladder (neoplastic polyps, adenomas, and papillary neoplasms that are ≥1.0 cm): clinicopathologic and immunohistochemical analysis of 123 cases.胆囊内乳头状-管状肿瘤(ICPN)(≥1.0cm 的肿瘤性息肉、腺瘤和乳头状肿瘤):123 例临床病理和免疫组化分析。
Am J Surg Pathol. 2012 Sep;36(9):1279-301. doi: 10.1097/PAS.0b013e318262787c.
3
Intracholecystic papillary neoplasm associated with invasive carcinoma of the remnant gallbladder after subtotal cholecystectomy: a case report.胆囊次全切除术后残余胆囊浸润性癌合并胆囊内乳头状瘤:一例报告
Surg Case Rep. 2022 Feb 21;8(1):31. doi: 10.1186/s40792-022-01388-8.
4
Three cases of intracystic papillary neoplasm of gallbladder.胆囊腔内乳头状肿瘤 3 例。
Abdom Radiol (NY). 2018 Jul;43(7):1535-1539. doi: 10.1007/s00261-018-1595-z.
5
The Clinical and Pathologic Features of Intracholecystic Papillary-Tubular Neoplasms of the Gallbladder.胆囊内乳头状-管状肿瘤的临床和病理特征。
Surg Pathol Clin. 2022 Sep;15(3):565-577. doi: 10.1016/j.path.2022.05.011.
6
Intracholecystic Papillary-tubular Neoplasm (ICPN) of the Gallbladder: A Case Report Focusing on an Unexpected Pathological Finding.胆囊内乳头状管状肿瘤(ICPN):一例聚焦意外病理发现的病例报告
Recent Pat Anticancer Drug Discov. 2025;20(1):131-135. doi: 10.2174/0115748928256837231012151452.
7
Recently Described Entity of Intracholecystic Papillary Neoplasm of Gallbladder with Coexisting Xanthogranulomatous Cholecystitis: an Unusual Association.胆囊内乳头状瘤与并存的黄色肉芽肿性胆囊炎的最新描述实体:一种不寻常的关联。
Indian J Surg Oncol. 2021 Dec;12(Suppl 2):308-311. doi: 10.1007/s13193-021-01400-x. Epub 2021 Aug 6.
8
Extensively Invasive Gallbladder Cancer from Intracholecystic Papillary Neoplasm Treated with Pylorus-Preserving Pancreaticoduodenectomy and Extended Cholecystectomy: A Case Report and Literature Review.经保留幽门的胰十二指肠切除术和扩大胆囊切除术治疗的胆囊内乳头状肿瘤所致广泛浸润性胆囊癌:病例报告及文献综述
Case Rep Surg. 2023 Jun 24;2023:5825045. doi: 10.1155/2023/5825045. eCollection 2023.
9
Low-Grade Dysplastic Intracholecystic Papillary Neoplasia: A Case Report.低级别胆囊内乳头状肿瘤:一例报告。
Am J Case Rep. 2021 Mar 3;22:e929788. doi: 10.12659/AJCR.929788.
10
Precursor Lesions of Gallbladder Carcinoma: Disease Concept, Pathology, and Genetics.胆囊癌的前驱病变:疾病概念、病理学与遗传学
Diagnostics (Basel). 2022 Jan 28;12(2):341. doi: 10.3390/diagnostics12020341.

本文引用的文献

1
Long-Term Response to Gemcitabine, Cisplatin, and Nab-Paclitaxel Followed by Maintenance Therapy for Advanced Gallbladder Cancer: A Case Report and Literature Review.吉西他滨、顺铂和纳米白蛋白结合型紫杉醇序贯维持治疗晚期胆囊癌的长期疗效:病例报告及文献综述
Front Oncol. 2021 Oct 5;11:733955. doi: 10.3389/fonc.2021.733955. eCollection 2021.
2
Prognostic implications of the coexisting precursor lesion types in invasive gallbladder cancer.浸润性胆囊癌中共存前驱病变类型的预后意义。
Hum Pathol. 2021 Aug;114:44-53. doi: 10.1016/j.humpath.2021.05.001. Epub 2021 May 11.
3
The silent giant.
沉默的巨人。
Pan Afr Med J. 2021 Feb 9;38:147. doi: 10.11604/pamj.2021.38.147.28030. eCollection 2021.
4
The giant resectable carcinoma of gall bladder-a case report.巨大可切除胆囊癌 1 例报告。
BMC Surg. 2021 Mar 16;21(1):133. doi: 10.1186/s12893-021-01117-2.
5
Clinical meaning of the World Health Organization morphologic classification (flat . tumoral) of gallbladder intraepithelial neoplasm as a prognostic factor in gallbladder cancer.世界卫生组织胆囊上皮内瘤变的形态学分类(扁平型.肿瘤型)作为胆囊癌预后因素的临床意义。
Ann Transl Med. 2020 Nov;8(21):1413. doi: 10.21037/atm-20-432.
6
A comparison of outcomes in patients with intracholecystic papillary neoplasms or conventional adenocarcinomas of the gallbladder.胆囊内乳头状肿瘤与常规胆囊腺癌患者结局的比较。
HPB (Oxford). 2021 May;23(5):746-752. doi: 10.1016/j.hpb.2020.09.011. Epub 2020 Oct 19.
7
Locally advanced gallbladder cancer: a review of the criteria and role of imaging.局部进展期胆囊癌:影像学标准与作用的综述。
Abdom Radiol (NY). 2021 Mar;46(3):998-1007. doi: 10.1007/s00261-020-02756-4. Epub 2020 Sep 18.
8
Pancreatic cancer.胰腺癌。
Lancet. 2020 Jun 27;395(10242):2008-2020. doi: 10.1016/S0140-6736(20)30974-0.
9
Effect of lymphadenectomy in curative gallbladder cancer treatment: a systematic review and meta-analysis.淋巴结清扫术对胆囊癌治疗效果的影响:系统评价和荟萃分析。
Langenbecks Arch Surg. 2020 Aug;405(5):573-584. doi: 10.1007/s00423-020-01878-z. Epub 2020 May 26.
10
Intracholecystic Papillary-Tubular Neoplasms (ICPN) of the Gallbladder: A Short Review of Literature.胆囊内乳头-管状肿瘤(ICPN):文献综述
Appl Immunohistochem Mol Morphol. 2020 Jan;28(1):57-61. doi: 10.1097/PAI.0000000000000711.