Suppr超能文献

一个具有神经发育迟缓的个体中 BCL11B 的新型变异:病例报告。

A novel variant in BCL11B in an individual with neurodevelopmental delay: A case report.

机构信息

Department of Rehabilitation, the Children's Hospital, Zhejiang University School of Medicine, National Clinical Research Center for Child Health, Hangzhou, China.

Cipher Gene LLC, Beijing, China.

出版信息

Mol Genet Genomic Med. 2023 Apr;11(4):e2132. doi: 10.1002/mgg3.2132. Epub 2023 Jan 23.

Abstract

BACKGROUND

B-Cell CLL/Lymphoma 11B (BCL11B) is a C H zinc finger transcription factor that has broad biological functions and is essential for the development of the immune system, neural system, cardiovascular system, dermis, and dentition. Variants of BCL11B have been found in patients with neurodevelopmental disorders and immunodeficiency.

MATERIALS AND METHODS

Whole-exome sequencing (WES) and clinical examinations were performed to identify the etiology of our patient. A variant in the BCL11B gene, NM_138576.4: c.1206delG (p.Phe403Serfs*2) was found and led to frameshift truncation.

RESULTS

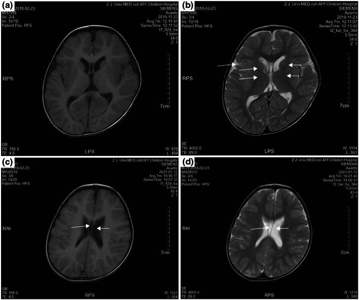
We reported a male patient with developmental delay and cerebral palsy who carried the BCL11B variant. The detailed clinical features, such as brain structure and immune detection, were described and reviewed in comparison to previous patients.

CONCLUSIONS

The BCL11B-related neurodevelopmental disorders are rare, and only 17 variants in 25 patients have been found to date. Our report expands the variants spectrum of BCL11B and increases the case of neurodevelopmental abnormalities.

摘要

背景

B 细胞慢性淋巴细胞白血病/淋巴瘤 11B(BCL11B)是一种 C2H2 锌指转录因子,具有广泛的生物学功能,对免疫系统、神经系统、心血管系统、真皮和牙齿的发育至关重要。BCL11B 的变异已在神经发育障碍和免疫缺陷患者中被发现。

材料和方法

对我们的患者进行全外显子组测序(WES)和临床检查,以确定病因。发现 BCL11B 基因中的一个变异,NM_138576.4:c.1206delG(p.Phe403Serfs*2),导致移码截断。

结果

我们报告了一名携带 BCL11B 变异的男性患者,该患者患有发育迟缓伴脑瘫。详细的临床特征,如大脑结构和免疫检测,与之前的患者进行了描述和比较。

结论

BCL11B 相关的神经发育障碍罕见,迄今为止仅在 25 名患者中发现了 17 个变异。我们的报告扩展了 BCL11B 的变异谱,并增加了神经发育异常的病例。

https://cdn.ncbi.nlm.nih.gov/pmc/blobs/f654/10094078/1f471e4ce365/MGG3-11-e2132-g002.jpg

文献AI研究员

20分钟写一篇综述,助力文献阅读效率提升50倍。

立即体验

用中文搜PubMed

大模型驱动的PubMed中文搜索引擎

马上搜索

文档翻译

学术文献翻译模型,支持多种主流文档格式。

立即体验