Suppr超能文献

成年海马体的结构-功能完整性取决于转录因子Bcl11b/Ctip2。

Structure-function integrity of the adult hippocampus depends on the transcription factor Bcl11b/Ctip2.

作者信息

Simon R, Baumann L, Fischer J, Seigfried F A, De Bruyckere E, Liu P, Jenkins N A, Copeland N G, Schwegler H, Britsch S

机构信息

Institute of Molecular and Cellular Anatomy, Ulm University, Ulm.

Institute of Pathology and Neuropathology, University of Tübingen, Tübingen.

出版信息

Genes Brain Behav. 2016 Apr;15(4):405-19. doi: 10.1111/gbb.12287. Epub 2016 Mar 30.

Abstract

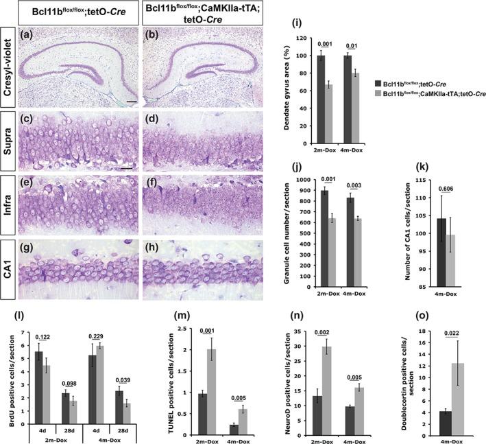
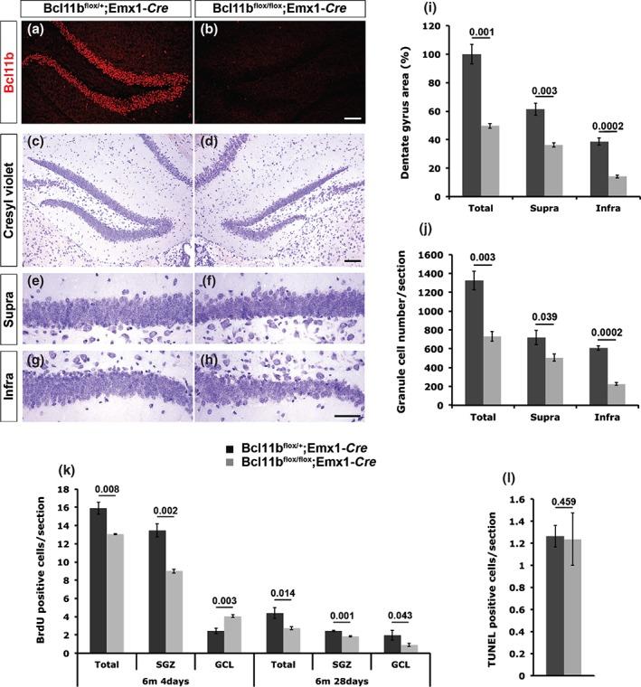
The dentate gyrus is one of the only two brain regions where adult neurogenesis occurs. Throughout life, cells of the neuronal stem cell niche undergo proliferation, differentiation and integration into the hippocampal neural circuitry. Ongoing adult neurogenesis is a prerequisite for the maintenance of adult hippocampal functionality. Bcl11b, a zinc finger transcription factor, is expressed by postmitotic granule cells in the developing as well as adult dentate gyrus. We previously showed a critical role of Bcl11b for hippocampal development. Whether Bcl11b is also required for adult hippocampal functions has not been investigated. Using a tetracycline-dependent inducible mouse model under the control of the forebrain-specific CaMKIIα promoter, we show here that the adult expression of Bcl11b is essential for survival, differentiation and functional integration of adult-born granule cell neurons. In addition, Bcl11b is required for survival of pre-existing mature neurons. Consequently, loss of Bcl11b expression selectively in the adult hippocampus results in impaired spatial working memory. Together, our data uncover for the first time a specific role of Bcl11b in adult hippocampal neurogenesis and function.

摘要

齿状回是仅有的两个会发生成体神经发生的脑区之一。在整个生命过程中,神经干细胞龛中的细胞会经历增殖、分化并整合到海马神经回路中。持续的成体神经发生是维持成体海马功能的一个先决条件。Bcl11b是一种锌指转录因子,在发育中的以及成体齿状回中由有丝分裂后的颗粒细胞表达。我们之前表明Bcl11b对海马发育起着关键作用。Bcl11b对于成体海马功能是否也是必需的尚未得到研究。利用在前脑特异性CaMKIIα启动子控制下的四环素依赖性诱导小鼠模型,我们在此表明Bcl11b的成体表达对于成体产生的颗粒细胞神经元的存活、分化和功能整合至关重要。此外,Bcl11b对于已有的成熟神经元的存活也是必需的。因此,在成体海马中选择性地缺失Bcl11b表达会导致空间工作记忆受损。总之,我们的数据首次揭示了Bcl11b在成体海马神经发生和功能中的特定作用。

https://cdn.ncbi.nlm.nih.gov/pmc/blobs/5869/4832350/4dd6e5205975/GBB-15-405-g001.jpg

文献检索

告别复杂PubMed语法,用中文像聊天一样搜索,搜遍4000万医学文献。AI智能推荐,让科研检索更轻松。

立即免费搜索

文件翻译

保留排版,准确专业,支持PDF/Word/PPT等文件格式,支持 12+语言互译。

免费翻译文档

深度研究

AI帮你快速写综述,25分钟生成高质量综述,智能提取关键信息,辅助科研写作。

立即免费体验