Suppr超能文献

一名患有表皮松解性角化过度症患者的菌血症和感染性心内膜炎:病例报告

bacteremia and infective endocarditis in a patient with epidermolytic hyperkeratosis: A case report.

作者信息

Chen Yu, Chen Dian, Liu Hao, Zhang Chen-Guang, Song Lin-Lin

机构信息

Department of Emergency, Beijing Tsinghua Changgung Hospital, Beijing 102218, China.

Department of Dermatology, Beijing Tsinghua Changgung Hospital, Beijing 102218, China.

出版信息

World J Clin Cases. 2022 Dec 26;10(36):13418-13425. doi: 10.12998/wjcc.v10.i36.13418.

Abstract

BACKGROUND

bacteraemia (SAB) is among the leading causes of bacteraemia and infectious endocarditis. The frequency of infectious endocarditis (IE) among SAB patients ranges from 5% to 10%-12%. In adults, the characteristics of epidermolytic hyperkeratosis (EHK) include hyperkeratosis, erosions, and blisters. Patients with inflammatory skin diseases and some diseases involving the epidermis tend to exhibit a disturbed skin barrier and tend to have poor cell-mediated immunity.

CASE SUMMARY

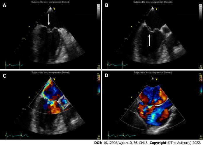
We describe a case of SAB and infective endocarditis in a 43-year-old male who presented with fever of unknown origin and skin diseases. After genetic tests, the skin disease was diagnosed as EHK.

CONCLUSION

A breached skin barrier secondary to EHK, coupled with inadequate sanitation, likely provided the opportunity for bacterial seeding, leading to IE and deep-seated abscess or organ abscess. EHK may be associated with skin infection and multiple risk factors for extracutaneous infections. Patients with EHK should be treated early to minimize their consequences. If patients with EHK present with prolonged fever of unknown origin, IE and organ abscesses should be ruled out, including metastatic spreads.

摘要

背景

金黄色葡萄球菌菌血症(SAB)是菌血症和感染性心内膜炎的主要病因之一。SAB患者中感染性心内膜炎(IE)的发生率为5%至10%-12%。在成人中,表皮松解性角化过度(EHK)的特征包括角化过度、糜烂和水疱。患有炎症性皮肤病和一些累及表皮的疾病的患者往往表现出皮肤屏障功能紊乱,且细胞介导的免疫功能往往较差。

病例摘要

我们描述了一例43岁男性患者,患有SAB和感染性心内膜炎,表现为不明原因发热和皮肤病。经过基因检测,该皮肤病被诊断为EHK。

结论

EHK继发的皮肤屏障破坏,加上卫生条件不足,可能为细菌定植提供了机会,导致IE以及深部脓肿或器官脓肿。EHK可能与皮肤感染以及多种皮肤外感染的危险因素有关。EHK患者应尽早治疗,以将其后果降至最低。如果EHK患者出现不明原因的长期发热,应排除IE和器官脓肿,包括转移性扩散。

https://cdn.ncbi.nlm.nih.gov/pmc/blobs/2a77/9850991/bead90be3efa/WJCC-10-13418-g001.jpg

文献AI研究员

20分钟写一篇综述,助力文献阅读效率提升50倍。

立即体验

用中文搜PubMed

大模型驱动的PubMed中文搜索引擎

马上搜索

文档翻译

学术文献翻译模型,支持多种主流文档格式。

立即体验