Balas Sener, Dora Devrim Demir, Erol Timucin, Akyollu Basak, Korkusuz Petek, Hamaloglu Erhan
Department of General Surgery, University of Health Sciences Diskapi Training and Research Hospital, Ankara, Turkiye.
Department of Medical Pharmacology, Akdeniz University Faculty of Medicine, Antalya, Turkiye.
North Clin Istanb. 2022 Dec 5;9(6):565-575. doi: 10.14744/nci.2021.45548. eCollection 2022.
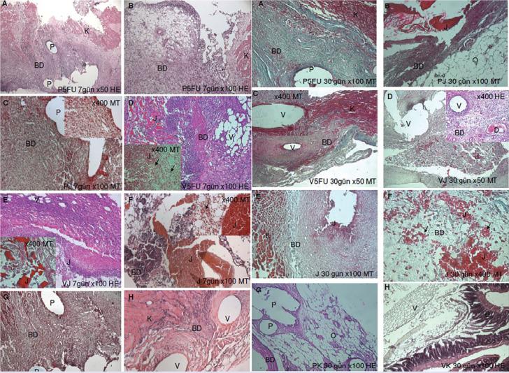
Post-operative adhesion is a common problem in abdominal surgery. Especially, foreign materials are strong stimulus for the development of adhesions. The aim of this study was to investigate whether drug release material coated prosthetic mesh decreases intra-abdominal adhesion formation or not.
5-Fluorouracil (5-FU) releasing "chitosan gels" were loaded to polypropylene and polyglactin-910 grafts. Polypropylene, polyglactin-910 grafts, chitosan gel, and 5-FU-loaded polyglactin 910, polypropylene grafts were used to cover abdominal defects of rats which were created under sterile conditions (n=84). Each group was divided into two subgroups (n=6). Subgroups were sacrificed on the 7 and 30 days.
The 7 day macroscopic examinations were similar. Polypropylene group was most adhesive group on the 30 day. There were less adhesions in chitosan gel and 5-FU-loaded groups. Capsule and capsule margins showed no difference on both the 7 and 30 days. Polypropylene-5-FU group and polypropylene-chitosan gel group showed significantly less macroscopic adhesions than polypropylene control group. Furthermore, polyglactin-910-chitosan gel group was less adhesive than polypropylene control group.
This study showed that 5-FU decreases the adhesions but the dosage and release kinetics need further investigations.
术后粘连是腹部手术中常见的问题。特别是,异物是粘连形成的强烈刺激因素。本研究的目的是调查药物释放材料包被的人工合成补片是否能减少腹腔内粘连的形成。
将释放5-氟尿嘧啶(5-FU)的“壳聚糖凝胶”加载到聚丙烯和聚乙交酯-910移植物上。聚丙烯、聚乙交酯-910移植物、壳聚糖凝胶以及加载5-FU的聚乙交酯910和聚丙烯移植物用于覆盖在无菌条件下制作的大鼠腹部缺损(n=84)。每组再分为两个亚组(n=6)。亚组分别在第7天和第30天处死。
第7天的大体检查结果相似。聚丙烯组在第30天是粘连最严重的组。壳聚糖凝胶组和加载5-FU的组粘连较少。在第7天和第30天,包膜及其边缘均无差异。聚丙烯-5-FU组和聚丙烯-壳聚糖凝胶组的大体粘连明显少于聚丙烯对照组。此外,聚乙交酯-910-壳聚糖凝胶组的粘连程度低于聚丙烯对照组。
本研究表明5-FU可减少粘连,但剂量和释放动力学需要进一步研究。