Suppr超能文献

结节病患者的诺卡菌性脑脓肿

Nocardia Brain Abscess in a Patient With Sarcoidosis.

作者信息

Ghazal Fatima, Botchway Sylvia, Naut Edgar

机构信息

Internal Medicine, University of Connecticut Health, Farmington, USA.

Hospital Medicine, Saint Francis Hospital, Hartford, USA.

出版信息

Cureus. 2022 Dec 20;14(12):e32759. doi: 10.7759/cureus.32759. eCollection 2022 Dec.

Abstract

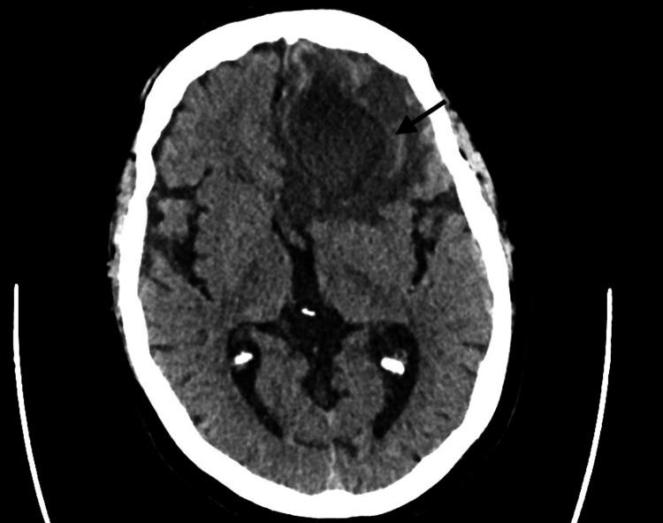
species are aerobic, gram-positive, filamentous bacteria. Infection occurs either through inhalation leading to pulmonary symptoms or inoculation presenting with skin findings. Hematogenous dissemination, although uncommon, is possible and can lead to central nervous system involvement.  brain abscess is a rare manifestation that comprises 2% of all brain abscess etiologies, mostly occurring in immunocompromised patients. Establishing a diagnosis is often difficult, especially due to its rare occurrence and the fact that it can mimic other etiologies on brain imaging including necrotic tumors. High mortality rates have been reported due to delays in establishing a diagnosis and a lack of precise treatment guidelines.

摘要

该菌为需氧、革兰氏阳性丝状菌。感染可通过吸入导致肺部症状,或通过接种出现皮肤表现。血行播散虽不常见,但有可能发生,并可导致中枢神经系统受累。脑脓肿是一种罕见表现,占所有脑脓肿病因的2%,主要发生在免疫功能低下的患者中。诊断往往很困难,尤其是因其罕见,且在脑部影像学上可类似其他病因,包括坏死性肿瘤。据报道,由于诊断延误和缺乏精确的治疗指南,死亡率很高。

https://cdn.ncbi.nlm.nih.gov/pmc/blobs/e87c/9851920/d403a69a7392/cureus-0014-00000032759-i01.jpg

文献AI研究员

20分钟写一篇综述,助力文献阅读效率提升50倍。

立即体验

用中文搜PubMed

大模型驱动的PubMed中文搜索引擎

马上搜索

文档翻译

学术文献翻译模型,支持多种主流文档格式。

立即体验