• 文献检索
  • 文档翻译
  • 深度研究
  • 学术资讯
  • Suppr Zotero 插件Zotero 插件
  • 邀请有礼
  • 套餐&价格
  • 历史记录
应用&插件
Suppr Zotero 插件Zotero 插件浏览器插件Mac 客户端Windows 客户端微信小程序
定价
高级版会员购买积分包购买API积分包
服务
文献检索文档翻译深度研究API 文档MCP 服务
关于我们
关于 Suppr公司介绍联系我们用户协议隐私条款
关注我们

Suppr 超能文献

核心技术专利:CN118964589B侵权必究
粤ICP备2023148730 号-1Suppr @ 2026

文献检索

告别复杂PubMed语法,用中文像聊天一样搜索,搜遍4000万医学文献。AI智能推荐,让科研检索更轻松。

立即免费搜索

文件翻译

保留排版,准确专业,支持PDF/Word/PPT等文件格式,支持 12+语言互译。

免费翻译文档

深度研究

AI帮你快速写综述,25分钟生成高质量综述,智能提取关键信息,辅助科研写作。

立即免费体验

系统性红斑狼疮合并多中心网状组织细胞增生症:一例报告

Systemic lupus erythematosus with multicentric reticulohistiocytosis: A case report.

作者信息

Liu Ping-Ping, Shuai Zong-Wen, Lian Li, Wang Kang

机构信息

Department of Rheumatology and Immunology, Arthritis Research Institute, The First Affiliated Hospital of Anhui Medical University, Hefei 230000, Anhui Province, China.

出版信息

World J Clin Cases. 2023 Jan 16;11(2):456-463. doi: 10.12998/wjcc.v11.i2.456.

DOI:10.12998/wjcc.v11.i2.456
PMID:36686350
原文链接:https://pmc.ncbi.nlm.nih.gov/articles/PMC9850977/
Abstract

BACKGROUND

Multicentric reticulohistiocytosis (MRH)/systemic lupus erythematosus (SLE) overlap syndrome is an uncommon disease in the clinic and is diagnosed through characteristic clinical manifestations, histopathology, and immunopathology. Here, we report the case of a 30-year-old woman with SLE who developed MRH.

CASE SUMMARY

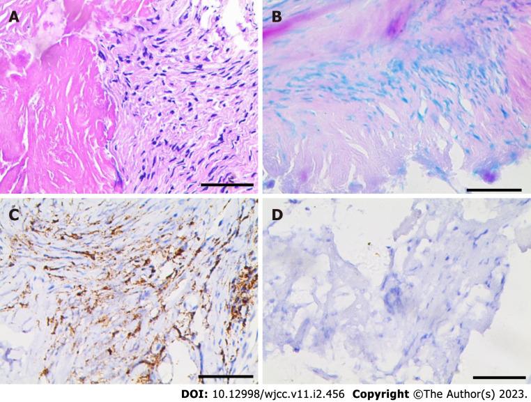
A 30-year-old woman with a history of polyarthritis for the past 12 years had multiple skin nodules on her body for 10 years, including the sacrococcygeal area, dorsum of the hands, interphalangeal joint of the feet and sternoclavicular joint. The histopathology of a biopsy of the distal interphalangeal joint of the hands revealed granulomatous inflammation, fibrous hyperplasia with ground-glass degeneration, inflammatory cell exudation and focal necrosis. The immunohistochemical stains showed positive staining for CD68 and negative staining for S100 and acid-fast staining. The patient was diagnosed with SLE with MRH. Her symptoms were improved after a combined treatment of prednisone, hydroxychloroquine and cyclophosphamide.

CONCLUSION

MRH/SLE overlap syndrome is difficult to diagnose and treat. Cyclophosphamide may be an alternative choice for the treatment of MRH.

摘要

背景

多中心网状组织细胞增多症(MRH)/系统性红斑狼疮(SLE)重叠综合征在临床上是一种罕见疾病,通过特征性临床表现、组织病理学和免疫病理学进行诊断。在此,我们报告一例30岁患SLE并发展为MRH的女性病例。

病例摘要

一名30岁女性,有12年多关节炎病史,身体出现多个皮肤结节10年,包括骶尾部、手背、足趾间关节和胸锁关节。手部远端指间关节活检的组织病理学显示肉芽肿性炎症、伴有玻璃样变性的纤维增生、炎性细胞渗出和局灶性坏死。免疫组化染色显示CD68阳性,S100和抗酸染色阴性。该患者被诊断为SLE合并MRH。经泼尼松、羟氯喹和环磷酰胺联合治疗后症状改善。

结论

MRH/SLE重叠综合征难以诊断和治疗。环磷酰胺可能是治疗MRH的一种替代选择。

https://cdn.ncbi.nlm.nih.gov/pmc/blobs/1f51/9850977/b6ec7ce2870f/WJCC-11-456-g003.jpg
https://cdn.ncbi.nlm.nih.gov/pmc/blobs/1f51/9850977/ede096017524/WJCC-11-456-g001.jpg
https://cdn.ncbi.nlm.nih.gov/pmc/blobs/1f51/9850977/2963c483d0fb/WJCC-11-456-g002.jpg
https://cdn.ncbi.nlm.nih.gov/pmc/blobs/1f51/9850977/b6ec7ce2870f/WJCC-11-456-g003.jpg
https://cdn.ncbi.nlm.nih.gov/pmc/blobs/1f51/9850977/ede096017524/WJCC-11-456-g001.jpg
https://cdn.ncbi.nlm.nih.gov/pmc/blobs/1f51/9850977/2963c483d0fb/WJCC-11-456-g002.jpg
https://cdn.ncbi.nlm.nih.gov/pmc/blobs/1f51/9850977/b6ec7ce2870f/WJCC-11-456-g003.jpg

相似文献

1
Systemic lupus erythematosus with multicentric reticulohistiocytosis: A case report.系统性红斑狼疮合并多中心网状组织细胞增生症:一例报告
World J Clin Cases. 2023 Jan 16;11(2):456-463. doi: 10.12998/wjcc.v11.i2.456.
2
A case of systemic lupus erythematosus complicated with multicentric reticulohistiocytosis (MRH): successful treatment of MRH and lupus nephritis with cyclosporin A.1例系统性红斑狼疮合并多中心网状组织细胞增多症(MRH):环孢素A成功治疗MRH和狼疮性肾炎。
Lupus. 2001;10(2):129-32. doi: 10.1191/096120301667980435.
3
[Multicentric reticulohistiocytosis: A case report].[多中心性网状组织细胞增生症:一例报告]
Beijing Da Xue Xue Bao Yi Xue Ban. 2021 Dec 18;53(6):1183-1187. doi: 10.19723/j.issn.1671-167X.2021.06.029.
4
A case report of multicentric reticulohistiocytosis with atypical cutaneous presentation.多中心网状组织细胞增生症伴不典型皮肤表现 1 例报告。
Front Immunol. 2024 Feb 14;15:1344313. doi: 10.3389/fimmu.2024.1344313. eCollection 2024.
5
The utility of FDG-PET/CT imaging in the evaluation of multicentric reticulohistiocytosis: A case report.18F-氟脱氧葡萄糖正电子发射断层显像/计算机断层扫描成像在多中心性网状组织细胞增生症评估中的应用:一例报告
Medicine (Baltimore). 2018 Aug;97(33):e11449. doi: 10.1097/MD.0000000000011449.
6
Multicentric Reticulohistiocytosis Associated with an Early Form of Systemic Lupus Erythematosus: A Case Report of a Rare Disease, with Mini Review of the Literature.多中心网状组织细胞增多症与早期系统性红斑狼疮:一例罕见疾病的病例报告及文献综述
J Clin Med. 2022 Nov 3;11(21):6529. doi: 10.3390/jcm11216529.
7
A Rare Case of Multicentric Reticulohistiocytosis with Concurrent Rheumatoid Arthritis.一例罕见的多中心网状组织细胞增多症合并类风湿关节炎
Cureus. 2019 Aug 24;11(8):e5476. doi: 10.7759/cureus.5476.
8
Multicentric reticulohistiocytosis with oral and laryngeal involvement in association with autoimmune/inflammatory syndrome induced by adjuvants: Expanding the spectrum of two uncommon entities.伴有口腔和喉部受累的多中心网状组织细胞增生症与佐剂诱导的自身免疫/炎症综合征相关:扩展两种罕见疾病的范围
Mod Rheumatol Case Rep. 2025 Jan 16;9(1):200-206. doi: 10.1093/mrcr/rxae040.
9
Clinical characteristics of multicentric reticulohistiocytosis and distinguished features from rheumatoid arthritis: a single-center experience in China.中国单中心经验:多发性关节纤维组织细胞瘤的临床特征及与类风湿关节炎的鉴别特征。
Orphanet J Rare Dis. 2022 Apr 12;17(1):164. doi: 10.1186/s13023-022-02311-y.
10
Multicentric reticulohistiocytosis: a rare cause of erosive arthropathy of the distal interphalangeal finger joints.多中心网状组织细胞增多症:一种导致远侧指间关节侵蚀性关节病的罕见病因。
Ann Rheum Dis. 2002 Jun;61(6):485-7. doi: 10.1136/ard.61.6.485.

本文引用的文献

1
Multicentric Reticulohistiocytosis Associated with an Early Form of Systemic Lupus Erythematosus: A Case Report of a Rare Disease, with Mini Review of the Literature.多中心网状组织细胞增多症与早期系统性红斑狼疮:一例罕见疾病的病例报告及文献综述
J Clin Med. 2022 Nov 3;11(21):6529. doi: 10.3390/jcm11216529.
2
Macrophage Activation Syndrome in Pediatric Systemic Lupus Erythematosus: A Systematic Review of the Diagnostic Aspects.儿童系统性红斑狼疮中的巨噬细胞活化综合征:诊断方面的系统评价
Front Med (Lausanne). 2021 Jun 4;8:681875. doi: 10.3389/fmed.2021.681875. eCollection 2021.
3
Macrophage Activation Syndrome and Secondary Hemophagocytic Lymphohistiocytosis in Childhood Inflammatory Disorders: Diagnosis and Management.
儿童炎症性疾病中的巨噬细胞活化综合征和继发性噬血细胞性淋巴组织细胞增生症:诊断与管理。
Paediatr Drugs. 2020 Feb;22(1):29-44. doi: 10.1007/s40272-019-00367-1.
4
2019 European League Against Rheumatism/American College of Rheumatology classification criteria for systemic lupus erythematosus.2019 年欧洲抗风湿病联盟/美国风湿病学会系统性红斑狼疮分类标准。
Ann Rheum Dis. 2019 Sep;78(9):1151-1159. doi: 10.1136/annrheumdis-2018-214819. Epub 2019 Aug 5.
5
Multicentric reticulohistiocytosis: a case report.多中心性网状组织细胞增生症:一例报告。
BMC Res Notes. 2018 Sep 4;11(1):647. doi: 10.1186/s13104-018-3753-3.
6
Macrophage activation syndrome in adult systemic lupus erythematosus: report of seven adult cases from a single Italian rheumatology center.成人系统性红斑狼疮中的巨噬细胞活化综合征:来自意大利单一风湿病中心的7例成人病例报告。
Reumatismo. 2018 Jul 6;70(2):100-105. doi: 10.4081/reumatismo.2018.1023.
7
Multicentric reticulohistiocytosis: a critical review.多中心性网状组织细胞增多症:批判性综述。
Curr Rheumatol Rep. 2015 Jun;17(6):511. doi: 10.1007/s11926-015-0511-6.
8
Treatment of multicentric reticulohistiocytosis with tocilizumab.托珠单抗治疗多中心性网状组织细胞增生症。
J Clin Rheumatol. 2013 Aug;19(5):272-6. doi: 10.1097/RHU.0b013e31829cf32b.
9
Cutaneous papillomavirus infection in patients with rheumatoid arthritis or systemic lupus erythematosus. A case-control study.类风湿关节炎或系统性红斑狼疮患者的皮肤乳头瘤病毒感染。一项病例对照研究。
Lupus. 2013 Aug;22(9):948-52. doi: 10.1177/0961203313490431. Epub 2013 May 30.
10
Multicentric reticulohistiocytosis presenting with papulonodular skin lesions and arthritis mutilans.以丘疹结节性皮肤病变和毁形性关节炎为表现的多中心性网状组织细胞增生症。
Case Rep Rheumatol. 2013;2013:201563. doi: 10.1155/2013/201563. Epub 2013 Mar 10.