Suppr超能文献

酷似卵巢癌的急性腹膜组织胞浆菌病及腹膜炎文献综述

Acute Peritoneal Histoplasmosis Mimicking Ovarian Cancer and Review of the Literature on Peritonitis.

作者信息

Szvalb Ariel D, Yepez Guevara Eduardo, Euscher Elizabeth, Nahmod Karen A, Kontoyiannis Dimitrios P

机构信息

Department of Infectious Diseases, Infection Control and Employee Health, The University of Texas MD Anderson Cancer Center, Houston, Texas, USA.

Department of Pathology, The University of Texas MD Anderson Cancer Center, Houston, Texas, USA.

出版信息

Open Forum Infect Dis. 2023 Jan 10;10(1):ofac705. doi: 10.1093/ofid/ofac705. eCollection 2023 Jan.

Abstract

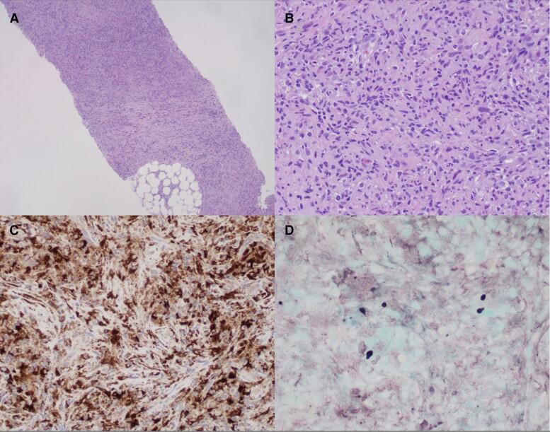
Peritoneal histoplasmosis is a rare entity with few cases reported in the literature. We present a case of isolated acute peritoneal histoplasmosis that mimicked an advanced ovarian malignancy in a patient undergoing antitumor necrosis factor therapy for rheumatoid arthritis. We also reviewed the literature on peritonitis.

摘要

腹膜组织胞浆菌病是一种罕见疾病,文献报道的病例较少。我们报告一例孤立性急性腹膜组织胞浆菌病病例,该病例在一名因类风湿关节炎接受抗肿瘤坏死因子治疗的患者中表现为酷似晚期卵巢恶性肿瘤。我们还回顾了有关腹膜炎的文献。

https://cdn.ncbi.nlm.nih.gov/pmc/blobs/15f6/9850267/73ffe050139c/ofac705f1.jpg

文献AI研究员

20分钟写一篇综述,助力文献阅读效率提升50倍。

立即体验

用中文搜PubMed

大模型驱动的PubMed中文搜索引擎

马上搜索

文档翻译

学术文献翻译模型,支持多种主流文档格式。

立即体验