• 文献检索
  • 文档翻译
  • 深度研究
  • 学术资讯
  • Suppr Zotero 插件Zotero 插件
  • 邀请有礼
  • 套餐&价格
  • 历史记录
应用&插件
Suppr Zotero 插件Zotero 插件浏览器插件Mac 客户端Windows 客户端微信小程序
定价
高级版会员购买积分包购买API积分包
服务
文献检索文档翻译深度研究API 文档MCP 服务
关于我们
关于 Suppr公司介绍联系我们用户协议隐私条款
关注我们

Suppr 超能文献

核心技术专利:CN118964589B侵权必究
粤ICP备2023148730 号-1Suppr @ 2026

文献检索

告别复杂PubMed语法,用中文像聊天一样搜索,搜遍4000万医学文献。AI智能推荐,让科研检索更轻松。

立即免费搜索

文件翻译

保留排版,准确专业,支持PDF/Word/PPT等文件格式,支持 12+语言互译。

免费翻译文档

深度研究

AI帮你快速写综述,25分钟生成高质量综述,智能提取关键信息,辅助科研写作。

立即免费体验

以急性腹痛伴空肠穿孔表现的胃肠道组织胞浆菌病

Gastrointestinal Histoplasmosis Presenting as an Acute Abdomen with Jejunal Perforation.

作者信息

Anderson Bryan R, Marriott Jaron, Bulathsinghala Chinthaka, Anjum Humayun, Surani Salim

机构信息

Bay Area Medical Center, Corpus Christi, TX, USA.

Texas A&M University, College Station, TX, USA.

出版信息

Case Rep Med. 2018 Jan 8;2018:8923972. doi: 10.1155/2018/8923972. eCollection 2018.

DOI:10.1155/2018/8923972
PMID:29535767
原文链接:https://pmc.ncbi.nlm.nih.gov/articles/PMC5817307/
Abstract

INTRODUCTION

Gastrointestinal histoplasmosis (GH) is a well-described albeit uncommon disease. It is found almost exclusively in the immunocompromised host, especially those with untreated HIV and low CD4 counts. Presentation with intestinal perforation is seen mostly commonly in the colon. We present a patient with jejunal perforation, and there have been only 3 previous cases reported in the literature.

CASE

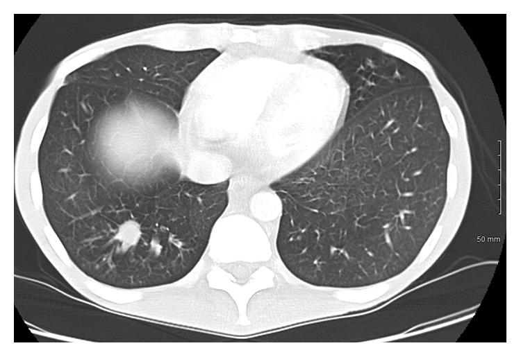
A 39-year-old male with known, untreated HIV presented to the ED with an acute abdomen after experiencing worsening intermittent abdominal pain for 2 months before that was associated with nausea, vomiting, diarrhea, and weight loss. CT of the abdomen and pelvis revealed evidence of gas in the mesentery, small bowel thickening, edema, and free fluid in the abdomen. Emergency exploratory laparotomy was conducted. Intraoperative findings included a perforated jejunum that was studded with nodular lesions as well as mesenteric masses. Histopathologic exam of these mesenteric masses and jejunal lesions were positive for histoplasmosis.

CONCLUSION

Disseminated histoplasmosis is a life-threatening disease that occurs nearly exclusively in immunocompromised hosts. Untreated, mortality is as high as 80%. This rare presentation with jejunal perforation highlights the need for awareness of histoplasmosis involvement throughout the entirety of the GI tract.

摘要

引言

胃肠道组织胞浆菌病(GH)虽不常见,但已有详细描述。它几乎仅见于免疫功能低下的宿主,尤其是那些未接受治疗且CD4计数低的HIV感染者。肠道穿孔最常出现在结肠。我们报告一例空肠穿孔患者,此前文献中仅报道过3例。

病例

一名39岁已知未接受治疗的HIV男性患者,在经历了2个月间歇性腹痛加重后,因急腹症就诊于急诊科,腹痛伴有恶心、呕吐、腹泻和体重减轻。腹部和盆腔CT显示肠系膜有气体、小肠增厚、水肿以及腹腔内有游离液体。进行了急诊剖腹探查术。术中发现包括一个布满结节状病变的空肠穿孔以及肠系膜肿块。这些肠系膜肿块和空肠病变的组织病理学检查显示组织胞浆菌病呈阳性。

结论

播散性组织胞浆菌病是一种几乎仅发生在免疫功能低下宿主中的危及生命的疾病。若不治疗,死亡率高达80%。这种罕见的空肠穿孔表现凸显了对整个胃肠道受累的组织胞浆菌病提高认识的必要性。

https://cdn.ncbi.nlm.nih.gov/pmc/blobs/1214/5817307/7bbab824bf91/CRIM2018-8923972.003.jpg
https://cdn.ncbi.nlm.nih.gov/pmc/blobs/1214/5817307/5f5b74adf5a8/CRIM2018-8923972.001.jpg
https://cdn.ncbi.nlm.nih.gov/pmc/blobs/1214/5817307/233b2eddc314/CRIM2018-8923972.002.jpg
https://cdn.ncbi.nlm.nih.gov/pmc/blobs/1214/5817307/7bbab824bf91/CRIM2018-8923972.003.jpg
https://cdn.ncbi.nlm.nih.gov/pmc/blobs/1214/5817307/5f5b74adf5a8/CRIM2018-8923972.001.jpg
https://cdn.ncbi.nlm.nih.gov/pmc/blobs/1214/5817307/233b2eddc314/CRIM2018-8923972.002.jpg
https://cdn.ncbi.nlm.nih.gov/pmc/blobs/1214/5817307/7bbab824bf91/CRIM2018-8923972.003.jpg

相似文献

1
Gastrointestinal Histoplasmosis Presenting as an Acute Abdomen with Jejunal Perforation.以急性腹痛伴空肠穿孔表现的胃肠道组织胞浆菌病
Case Rep Med. 2018 Jan 8;2018:8923972. doi: 10.1155/2018/8923972. eCollection 2018.
2
Jejunal Perforation Due to Histoplasmosis Regarding a Case.回肠穿孔与组织胞浆菌病:病例报告
Surg Infect (Larchmt). 2024 Nov;25(9):713-716. doi: 10.1089/sur.2024.164. Epub 2024 Aug 12.
3
Perforated isolated jejunal diverticula: a rare cause of acute abdomen.孤立性空肠憩室穿孔:急腹症的罕见病因。
Clin J Gastroenterol. 2020 Oct;13(5):728-731. doi: 10.1007/s12328-020-01148-x. Epub 2020 Jun 10.
4
Perforated Jejunal Diverticulum Mimicking Diverticulitis: A Case Report of Acute Abdominal Pain in an Elderly Patient.酷似憩室炎的空肠穿孔性憩室:一位老年患者急性腹痛的病例报告
Cureus. 2024 Sep 8;16(9):e68935. doi: 10.7759/cureus.68935. eCollection 2024 Sep.
5
Spontaneous perforation of jejunal gastrointestinal stromal tumor: A case report.空肠胃肠道间质瘤自发性穿孔:一例报告
Int J Surg Case Rep. 2020;73:31-34. doi: 10.1016/j.ijscr.2020.06.088. Epub 2020 Jun 27.
6
Jejunal perforation in gallstone ileus - a case series.胆石性肠梗阻中的空肠穿孔——病例系列
J Med Case Rep. 2007 Nov 28;1:157. doi: 10.1186/1752-1947-1-157.
7
Perforated jejunal diverticulitis: a rare but important differential in the acute abdomen.空肠憩室炎穿孔:一种在急腹症中罕见但重要的鉴别诊断疾病。
Surg Case Rep. 2020 Jul 6;6(1):162. doi: 10.1186/s40792-020-00929-3.
8
Jejuno-ileal diverticulitis: Etiopathogenicity, diagnosis and management.空肠回肠憩室炎:病因、诊断与治疗
Int J Surg Case Rep. 2015;10:151-3. doi: 10.1016/j.ijscr.2015.03.044. Epub 2015 Mar 26.
9
Perforated jejunal diverticula: a case report.空肠憩室穿孔:一例报告
J Med Case Rep. 2010 Jun 7;4:172. doi: 10.1186/1752-1947-4-172.
10
Jejunal diverticulitis ascending to the duodenum as a rare cause of acute abdomen.空肠憩室炎向上累及十二指肠是急性腹痛的罕见原因。
J Clin Diagn Res. 2014 Aug;8(8):RD07-8. doi: 10.7860/JCDR/2014/8968.4723. Epub 2014 Aug 20.

引用本文的文献

1
An occurrence of intestinal histoplasmosis in a goat flock.一群山羊中发生肠道组织胞浆菌病。
Iran J Vet Res. 2023;24(4):357-364. doi: 10.22099/IJVR.2023.47422.6862.
2
Gastrointestinal histoplasmosis with small intestinal perforation: 20-year experience.胃肠道组织胞浆菌病伴小肠穿孔:20 年经验。
Updates Surg. 2024 Jun;76(3):1015-1023. doi: 10.1007/s13304-024-01797-4. Epub 2024 Mar 20.
3
Disseminated Histoplasmosis Presenting as Obstructive Jaundice.以梗阻性黄疸为表现的播散性组织胞浆菌病。

本文引用的文献

1
HIV-associated disseminated histoplasmosis in western French Guiana, 2002-2012.2002年至2012年法属圭亚那西部与HIV相关的播散性组织胞浆菌病
Mycoses. 2015 Mar;58(3):160-6. doi: 10.1111/myc.12293. Epub 2015 Jan 15.
2
Colonic histoplasmosis: a difficult diagnostic problem.结肠组织胞浆菌病:一个难以诊断的问题。
Gastroenterol Hepatol (N Y). 2007 Jun;3(6):461-3.
3
Histoplasmosis: a clinical and laboratory update.组织胞浆菌病:临床与实验室最新进展
ACG Case Rep J. 2023 Oct 3;10(10):e01173. doi: 10.14309/crj.0000000000001173. eCollection 2023 Oct.
4
Gastrointestinal histoplasmosis presenting as a small bowel obstruction in an immunocompetent patient.胃肠道组织胞浆菌病在免疫功能正常的患者中表现为小肠梗阻。
BMJ Case Rep. 2023 Aug 10;16(8):e255349. doi: 10.1136/bcr-2023-255349.
5
Gastrointestinal Histoplasmosis: A Descriptive Review, 2001-2021.胃肠道组织胞浆菌病:2001年至2021年的描述性综述
Life (Basel). 2023 Mar 3;13(3):689. doi: 10.3390/life13030689.
6
Acute Peritoneal Histoplasmosis Mimicking Ovarian Cancer and Review of the Literature on Peritonitis.酷似卵巢癌的急性腹膜组织胞浆菌病及腹膜炎文献综述
Open Forum Infect Dis. 2023 Jan 10;10(1):ofac705. doi: 10.1093/ofid/ofac705. eCollection 2023 Jan.
7
Gastrointestinal Histoplasmosis as an Obstructing Ileocecal Mass.胃肠道组织胞浆菌病表现为回盲部梗阻性肿块
Cureus. 2020 Dec 25;12(12):e12277. doi: 10.7759/cureus.12277.
8
Disseminated histoplasmosis in a kidney liver transplant patient from a non-endemic area: A diagnostic challenge.一名来自非流行地区的肾肝移植患者的播散性组织胞浆菌病:一项诊断挑战。
IDCases. 2020 Sep 28;22:e00971. doi: 10.1016/j.idcr.2020.e00971. eCollection 2020.
9
Gastrointestinal histoplasmosis mimicking peritonitis carcinomatosis: a rare case of an emergent surgical presentation of HIV de novo.酷似癌性腹膜炎的胃肠道组织胞浆菌病:1例新发HIV患者紧急手术表现的罕见病例
J Surg Case Rep. 2019 Oct 12;2019(10):rjz260. doi: 10.1093/jscr/rjz260. eCollection 2019 Oct.
Clin Microbiol Rev. 2007 Jan;20(1):115-32. doi: 10.1128/CMR.00027-06.
4
Gastrointestinal histoplasmosis in the acquired immunodeficiency syndrome: report of 18 cases and literature review.获得性免疫缺陷综合征中的胃肠道组织胞浆菌病:18例报告及文献综述
Diagn Microbiol Infect Dis. 2006 Jul;55(3):195-201. doi: 10.1016/j.diagmicrobio.2006.01.015. Epub 2006 Mar 20.
5
Gastrointestinal histoplasmosis in patients with AIDS: case report and review.艾滋病患者的胃肠道组织胞浆菌病:病例报告及文献复习
Clin Infect Dis. 2001 Feb 1;32(3):483-91. doi: 10.1086/318485. Epub 2001 Jan 30.
6
Ileal perforation secondary to histoplasmosis in AIDS.艾滋病患者因组织胞浆菌病继发回肠穿孔。
Am J Med Sci. 2000 Dec;320(6):406-7. doi: 10.1097/00000441-200012000-00010.
7
Histoplasmosis of the small bowel in patients with AIDS.艾滋病患者的小肠组织胞浆菌病
Postgrad Med J. 2000 Jun;76(896):367-9. doi: 10.1136/pmj.76.896.367.
8
The pathologic spectrum of gastrointestinal and hepatic histoplasmosis.胃肠道和肝脏组织胞浆菌病的病理谱
Am J Clin Pathol. 2000 Jan;113(1):64-72. doi: 10.1309/X0Y2-P3GY-TWE8-DM02.
9
Intestinal perforation from gastrointestinal histoplasmosis in acquired immunodeficiency syndrome. Case report and review of the literature.获得性免疫缺陷综合征中胃肠道组织胞浆菌病所致肠穿孔。病例报告及文献复习。
Arch Surg. 1993 Apr;128(4):464-6. doi: 10.1001/archsurg.1993.01420160106018.
10
Disseminated histoplasmosis: clinical and pathologic correlations.播散性组织胞浆菌病:临床与病理相关性
Medicine (Baltimore). 1980 Jan;59(1):1-33.