Suppr超能文献

用于开发新型特异性氧化低密度脂蛋白状态标志物以评估动脉粥样硬化疾病风险的低密度脂蛋白颗粒分离、表征和成分分级方法。

Methods on LDL particle isolation, characterization, and component fractionation for the development of novel specific oxidized LDL status markers for atherosclerotic disease risk assessment.

作者信息

Papadea Polyxeni, Skipitari Marianna, Kalaitzopoulou Electra, Varemmenou Athina, Spiliopoulou Maria, Papasotiriou Marios, Papachristou Evangelos, Goumenos Dimitrios, Onoufriou Anny, Rosmaraki Eleftheria, Margiolaki Irene, Georgiou Christos D

机构信息

Department of Biology, University of Patras, Patras, Greece.

Department of Medicine, University of Patras, Patras, Greece.

出版信息

Front Med (Lausanne). 2023 Jan 5;9:1078492. doi: 10.3389/fmed.2022.1078492. eCollection 2022.

Abstract

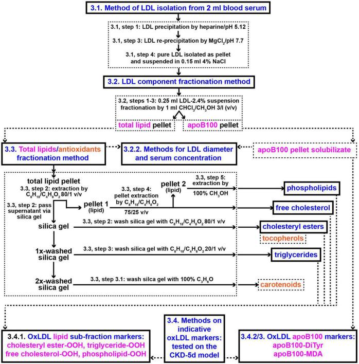
The present study uses simple, innovative methods to isolate, characterize and fractionate LDL in its main components for the study of specific oxidations on them that characterize oxidized low-density lipoprotein (oxLDL) status, as it causatively relates to atherosclerosis-associated cardiovascular disease (CVD) risk assessment. These methods are: (a) A simple, relatively time-short, low cost protocol for LDL isolation, to avoid shortcomings of the currently employed ultracentrifugation and affinity chromatography methodologies. (b) LDL purity verification by apoB100 SDS-PAGE analysis and by LDL particle size determination; the latter and its serum concentration are determined in the present study by a simple method more clinically feasible as marker of CVD risk assessment than nuclear magnetic resonance. (c) A protocol for LDL fractionation, for the first time, into its main protein/lipid components (apoB100, phospholipids, triglycerides, free cholesterol, and cholesteryl esters), as well as into LDL carotenoid/tocopherol content. (d) Protocols for the measurement, for the first time, of indicative specific LDL component oxidative modifications (cholesteryl ester-OOH, triglyceride-OOH, free cholesterol-OOH, phospholipid-OOH, apoB100-MDA, and apoB100-DiTyr) out of the many (known/unknown/under development) that collectively define oxLDL status, which contrasts with the current non-specific oxLDL status evaluation methods. The indicative oxLDL status markers, selected in the present study on the basis of expressing early oxidative stress-induced oxidative effects on LDL, are studied for the first time on patients with end stage kidney disease on maintenance hemodialysis, selected as an indicative model for atherosclerosis associated diseases. Isolating LDL and fractionating its protein and main lipid components, as well as its antioxidant arsenal comprised of carotenoids and tocopherols, paves the way for future studies to investigate all possible oxidative modifications responsible for turning LDL to oxLDL in association to their possible escaping from LDL's internal antioxidant defense. This can lead to studies to identify those oxidative modifications of oxLDL (after their artificial generation on LDL), which are recognized by macrophages and convert them to foam cells, known to be responsible for the formation of atherosclerotic plaques that lead to the various CVDs.

摘要

本研究采用简单、创新的方法来分离、表征低密度脂蛋白(LDL)并将其分离为主要成分,以研究LDL上特定的氧化反应,这些氧化反应表征了氧化型低密度脂蛋白(oxLDL)的状态,因为其与动脉粥样硬化相关的心血管疾病(CVD)风险评估存在因果关系。这些方法包括:(a)一种简单、耗时相对较短、成本较低的LDL分离方案,以避免当前使用的超速离心和亲和色谱方法的缺点。(b)通过载脂蛋白B100 SDS-PAGE分析和LDL粒径测定来验证LDL纯度;本研究通过一种比核磁共振更具临床可行性的简单方法来测定LDL粒径及其血清浓度,作为CVD风险评估的标志物。(c)首次将LDL分离为其主要蛋白质/脂质成分(载脂蛋白B100、磷脂、甘油三酯、游离胆固醇和胆固醇酯),以及LDL的类胡萝卜素/生育酚含量的方案。(d)首次测量指示性特定LDL成分氧化修饰(胆固醇酯-OOH、甘油三酯-OOH、游离胆固醇-OOH、磷脂-OOH、载脂蛋白B100-MDA和载脂蛋白B100-二酪氨酸)的方案,这些修饰共同定义了oxLDL状态,这与当前非特异性的oxLDL状态评估方法形成对比。本研究基于对LDL表达早期氧化应激诱导的氧化作用而选择的指示性oxLDL状态标志物,首次在维持性血液透析的终末期肾病患者中进行研究,这些患者被选为动脉粥样硬化相关疾病的指示性模型。分离LDL并将其蛋白质和主要脂质成分以及由类胡萝卜素和生育酚组成的抗氧化剂库进行分离,为未来研究调查所有可能导致LDL转变为oxLDL的氧化修饰及其可能逃避LDL内部抗氧化防御的研究铺平了道路。这可能会促使研究确定oxLDL的那些氧化修饰(在LDL上人工生成后),这些修饰被巨噬细胞识别并将其转化为泡沫细胞,已知泡沫细胞会导致动脉粥样硬化斑块的形成,进而引发各种心血管疾病。

https://cdn.ncbi.nlm.nih.gov/pmc/blobs/c2b9/9851470/a35e3a19f6df/fmed-09-1078492-g001.jpg

相似文献

2
Novel oxidized LDL-based clinical markers in peritoneal dialysis patients for atherosclerosis risk assessment.
Redox Biol. 2023 Aug;64:102762. doi: 10.1016/j.redox.2023.102762. Epub 2023 Jun 2.
4
Circulating oxidized LDL: determinants and association with brachial flow-mediated dilation.
J Lipid Res. 2009 Feb;50(2):342-9. doi: 10.1194/jlr.P800030-JLR200. Epub 2008 Sep 18.
8
Antibodies to oxidized low-density lipoprotein in patients following coronary artery revascularization.
Coron Artery Dis. 2003 Apr;14(2):163-9. doi: 10.1097/00019501-200304000-00009.

引用本文的文献

1
Harnessing Statistical and Machine Learning Approaches to Analyze Oxidized LDL in Clinical Research.
Cell Biochem Biophys. 2025 Aug 30. doi: 10.1007/s12013-025-01837-9.
2
Efficacy of antioxidant intervention and exercise intervention for lipid peroxidation in dialysis patients: a meta-analysis.
Front Med (Lausanne). 2025 Mar 17;12:1473818. doi: 10.3389/fmed.2025.1473818. eCollection 2025.
3
We Must Abandon the Myth: Oxidized Low-density Lipoprotein is not a Lipoprotein that Plays a Key Role in Atherogenesis.
Curr Med Chem. 2025;32(15):2899-2914. doi: 10.2174/0109298673301236240311113807.
5
Novel oxidized LDL-based clinical markers in peritoneal dialysis patients for atherosclerosis risk assessment.
Redox Biol. 2023 Aug;64:102762. doi: 10.1016/j.redox.2023.102762. Epub 2023 Jun 2.

本文引用的文献

2
Novel Biomarkers Detected by Proteomics Predict Death and Cardiovascular Events in Hemodialysis Patients.
Biomedicines. 2022 Mar 22;10(4):740. doi: 10.3390/biomedicines10040740.
3
Inflammation and Cardiovascular Disease Associated With Hemodialysis for End-Stage Renal Disease.
Front Pharmacol. 2022 Feb 10;13:800950. doi: 10.3389/fphar.2022.800950. eCollection 2022.
4
Systematic Evaluation of HILIC Stationary Phases for Global Metabolomics of Human Plasma.
Metabolites. 2022 Feb 9;12(2):165. doi: 10.3390/metabo12020165.
6
Oxidative stress accelerates the carotid atherosclerosis process in patients with chronic kidney disease.
Arch Med Sci Atheroscler Dis. 2020 Sep 14;5:e245-e254. doi: 10.5114/amsad.2020.98945. eCollection 2020.
8
Oxidative Stress in ESRD Patients on Dialysis and the Risk of Cardiovascular Diseases.
Antioxidants (Basel). 2020 Nov 3;9(11):1079. doi: 10.3390/antiox9111079.
9
Chronic kidney disease as a cardiovascular risk factor.
J Hypertens. 2020 Nov;38(11):2110-2121. doi: 10.1097/HJH.0000000000002506.

文献AI研究员

20分钟写一篇综述,助力文献阅读效率提升50倍。

立即体验

用中文搜PubMed

大模型驱动的PubMed中文搜索引擎

马上搜索

文档翻译

学术文献翻译模型,支持多种主流文档格式。

立即体验