Suppr超能文献

局限于盲肠的坏疽性缺血性结肠炎:一例报告

Gangrenous ischemic colitis localized to the cecum: a case report.

作者信息

Tateno Kohei, Motegi Yoko, Ogawa Hiroomi, Suga Kunihiko, Okada Takuhisa, Osone Katsuya, Katoh Ryuji, Ubukata Yasunari, Saito Hideyuki, Hara Keigo, Sakai Makoto, Ogata Kyoichi, Sohda Makoto, Murakami Chiaki, Shirabe Ken, Saeki Hiroshi

机构信息

Division of Gastroenterological Surgery, Department of General Surgical Science, Graduate School of Medicine, Gunma University, 3-39-22, Showa-machi, Maebashi, Gunma, 371-8511, Japan.

Department of Human Pathology, Graduate School of Medicine, Gunma University, 3-39-22, Showa-machi, Maebashi, Gunma, 371-8511, Japan.

出版信息

Surg Case Rep. 2023 Jan 23;9(1):9. doi: 10.1186/s40792-023-01587-x.

Abstract

BACKGROUND

Ischemic colitis affects the left colon in elderly individuals and localization on the right side, especially in the cecum, is rare. We report a case of gangrenous ischemic colitis localized in the cecum of a patient undergoing hemodialysis.

CASE PRESENTATION

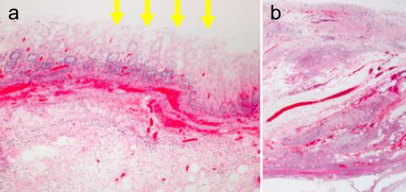
A 73-year-old man had been undergoing hemodialysis for chronic renal failure caused by diabetic nephropathy. He experienced frequent vomiting, diarrhea, and abdominal pain. Contrast-enhanced computed tomography revealed thickening of the cecal wall, poor enhancement, dilation of the cecum, and intrahepatic portal emphysema. No obvious abnormal findings were observed in the appendix. The patient was diagnosed with cecal necrosis and ileocecal resection was performed. Histopathological examination revealed gangrenous ischemic colitis of the cecum. He was discharged 12 days after surgery without postoperative complications.

CONCLUSION

It is important to consider the possibility of ischemic colitis of the right colon in the event of renal failure requiring dialysis, to ensure that opportunities for surgical intervention are not missed.

摘要

背景

缺血性结肠炎在老年人中多见于左半结肠,而右侧结肠尤其是盲肠受累较为罕见。我们报告一例接受血液透析患者发生的坏疽性缺血性结肠炎,病变位于盲肠。

病例介绍

一名73岁男性因糖尿病肾病导致慢性肾衰竭,一直在接受血液透析治疗。他频繁出现呕吐、腹泻和腹痛。增强计算机断层扫描显示盲肠壁增厚、强化不佳、盲肠扩张以及肝内门静脉积气。阑尾未发现明显异常。患者被诊断为盲肠坏死,并接受了回盲部切除术。组织病理学检查显示为盲肠坏疽性缺血性结肠炎。术后12天患者出院,无术后并发症。

结论

对于需要透析的肾衰竭患者,应考虑右半结肠缺血性结肠炎的可能性,以免错过手术干预时机。

https://cdn.ncbi.nlm.nih.gov/pmc/blobs/5782/9871088/b7e9d59c9079/40792_2023_1587_Fig1_HTML.jpg

文献检索

告别复杂PubMed语法,用中文像聊天一样搜索,搜遍4000万医学文献。AI智能推荐,让科研检索更轻松。

立即免费搜索

文件翻译

保留排版,准确专业,支持PDF/Word/PPT等文件格式,支持 12+语言互译。

免费翻译文档

深度研究

AI帮你快速写综述,25分钟生成高质量综述,智能提取关键信息,辅助科研写作。

立即免费体验