• 文献检索
  • 文档翻译
  • 深度研究
  • 学术资讯
  • Suppr Zotero 插件Zotero 插件
  • 邀请有礼
  • 套餐&价格
  • 历史记录
应用&插件
Suppr Zotero 插件Zotero 插件浏览器插件Mac 客户端Windows 客户端微信小程序
定价
高级版会员购买积分包购买API积分包
服务
文献检索文档翻译深度研究API 文档MCP 服务
关于我们
关于 Suppr公司介绍联系我们用户协议隐私条款
关注我们

Suppr 超能文献

核心技术专利:CN118964589B侵权必究
粤ICP备2023148730 号-1Suppr @ 2026

文献检索

告别复杂PubMed语法,用中文像聊天一样搜索,搜遍4000万医学文献。AI智能推荐,让科研检索更轻松。

立即免费搜索

文件翻译

保留排版,准确专业,支持PDF/Word/PPT等文件格式,支持 12+语言互译。

免费翻译文档

深度研究

AI帮你快速写综述,25分钟生成高质量综述,智能提取关键信息,辅助科研写作。

立即免费体验

二仙 Herbal Pair 通过调控 miRNA-34a-5p 促进感染性骨不连模型中成骨作用并减轻脂多糖诱导的成骨细胞抑制

Erxian herbal pair enhances bone formation in infected bone nonunion models and attenuates lipopolysaccharide-induced osteoblastinhibition by regulating miRNA-34a-5p.

机构信息

School of Pharmaceutical Sciences, Zhejiang Chinese Medical University, Hangzhou 310053, China.

Department of Pharmacy, The First Affiliated Hospital of Zhejiang Chinese Medical University (Zhejiang Provincial Hospital of Traditional Chinese Medicine), Hangzhou 310006, China.

出版信息

Bioengineered. 2022 Jun;13(6):14339-14356. doi: 10.1080/21655979.2022.2085388.

DOI:10.1080/21655979.2022.2085388
PMID:36694425
原文链接:https://pmc.ncbi.nlm.nih.gov/articles/PMC9995130/
Abstract

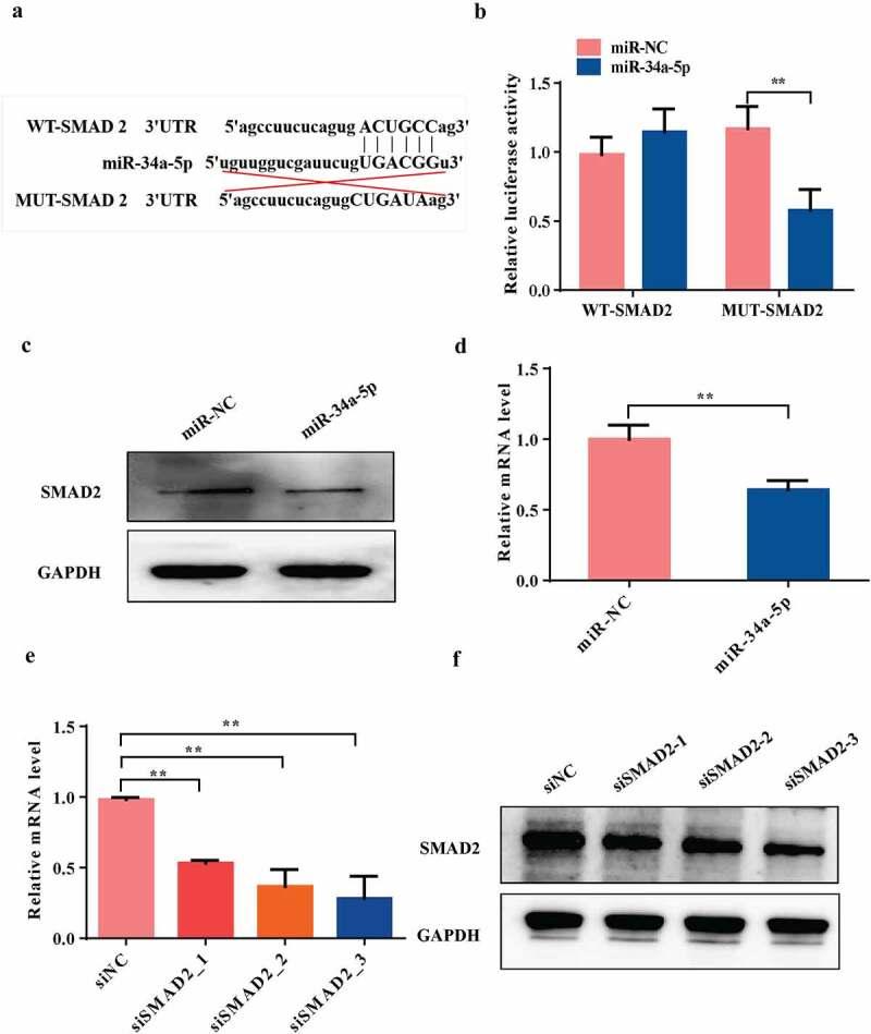
Bacterium-induced inflammatory responses cause bone nonunion. Although antibiotics suppress infection, bone loss after antibacterial treatment remains a critical challenge. Erxian herbal pair (EHP) has been proven effective in promoting bone formation. Our study aimed to investigate the effect of EHP on bone repair after anti-infection treatment, explore its effect on a lipopolysaccharide (LPS)-induced osteoblast. We evaluated effects of EHP on bone repair with Micro-CT, and morphology detecting. Chemical constituents of EHP and EHP-containing serum (EHP-CS) were identified by UHPLC-Q/TOF-MS. In addition, osteoblast induced by LPS was established and administrated with EHP-CS. Cell proliferationwas assessed by MTT. MiRNA mimic, inhibitor and siRNA were transiently transfected into osteoblasts. The mRNA levels and protein expressions of miRNA-34a-5p, BMP2, Runx2, SMAD2 were assessed. The results showed that the main biocactivity ingredients in EHP-CS were Baohuoside Ι and Orcinol Glucoside. EHP could promote bone remolding after anti-infection therapy and restore the activity of LPS-induced osteoblasts. Moreover, miRNA-34a-5p was dramatically downregulated and SMAD2 was upregulated after LPS stimulation, while EHP resisted the inhibition of LPS by promoting miRNA-34a-5p, ALP, and BMP2 expressions. Whereas downregulation of miRNA-34a-5p reversed these effects. Silencing endogenous SMAD2 expression markedly promoted BMP2 and ALP activity and enhanced osteogenesis. Taken together, EHP restored LPS-induced bone loss by regulating miRNA-34a-5p levels and repressing its target gene SMAD2. EHP might be a potential adjuvant herbal remedy for the treatment of bone nonunion, and miRNA-34a-5p is a novel target for controlling bone and metabolic diseases.

摘要

细菌诱导的炎症反应导致骨不连。尽管抗生素可以抑制感染,但抗菌治疗后骨丢失仍然是一个关键的挑战。二仙汤(EHP)已被证明能有效促进骨形成。本研究旨在探讨 EHP 对抗感染治疗后骨修复的影响,探索其对脂多糖(LPS)诱导的成骨细胞的作用。我们通过 Micro-CT 和形态学检测评估 EHP 对骨修复的影响。采用 UHPLC-Q/TOF-MS 鉴定 EHP 和含 EHP 血清(EHP-CS)的化学成分。此外,建立了 LPS 诱导的成骨细胞模型,并给予 EHP-CS 处理。通过 MTT 法评估细胞增殖。瞬时转染 miRNA 模拟物、抑制剂和 siRNA 至成骨细胞。检测 miRNA-34a-5p、BMP2、Runx2、SMAD2 的 mRNA 水平和蛋白表达。结果表明,EHP-CS 的主要生物活性成分是宝藿苷Ⅰ和紫菀苷。EHP 可促进抗感染治疗后的骨重塑,恢复 LPS 诱导的成骨细胞活性。此外,LPS 刺激后 miRNA-34a-5p 显著下调,SMAD2 上调,而 EHP 通过促进 miRNA-34a-5p、ALP 和 BMP2 的表达抵抗 LPS 的抑制作用。下调 miRNA-34a-5p 则逆转了这些作用。沉默内源性 SMAD2 表达显著促进 BMP2 和 ALP 活性,增强成骨作用。综上所述,EHP 通过调节 miRNA-34a-5p 水平并抑制其靶基因 SMAD2,恢复 LPS 诱导的骨丢失。EHP 可能是治疗骨不连的一种有潜力的辅助草药,miRNA-34a-5p 是控制骨代谢疾病的新靶点。

https://cdn.ncbi.nlm.nih.gov/pmc/blobs/7fea/9995130/d9501605b158/KBIE_A_2085388_F0007_OC.jpg
https://cdn.ncbi.nlm.nih.gov/pmc/blobs/7fea/9995130/ed8c775c411d/KBIE_A_2085388_UF0001_OC.jpg
https://cdn.ncbi.nlm.nih.gov/pmc/blobs/7fea/9995130/50ed4ad6b003/KBIE_A_2085388_F0001_OC.jpg
https://cdn.ncbi.nlm.nih.gov/pmc/blobs/7fea/9995130/64416e0b02cf/KBIE_A_2085388_F0002_OC.jpg
https://cdn.ncbi.nlm.nih.gov/pmc/blobs/7fea/9995130/e872b25a0af5/KBIE_A_2085388_F0003_OC.jpg
https://cdn.ncbi.nlm.nih.gov/pmc/blobs/7fea/9995130/9f7614160b5e/KBIE_A_2085388_F0004_OC.jpg
https://cdn.ncbi.nlm.nih.gov/pmc/blobs/7fea/9995130/f256ae686ba6/KBIE_A_2085388_F0005_OC.jpg
https://cdn.ncbi.nlm.nih.gov/pmc/blobs/7fea/9995130/ec853898dc23/KBIE_A_2085388_F0006_OC.jpg
https://cdn.ncbi.nlm.nih.gov/pmc/blobs/7fea/9995130/d9501605b158/KBIE_A_2085388_F0007_OC.jpg
https://cdn.ncbi.nlm.nih.gov/pmc/blobs/7fea/9995130/ed8c775c411d/KBIE_A_2085388_UF0001_OC.jpg
https://cdn.ncbi.nlm.nih.gov/pmc/blobs/7fea/9995130/50ed4ad6b003/KBIE_A_2085388_F0001_OC.jpg
https://cdn.ncbi.nlm.nih.gov/pmc/blobs/7fea/9995130/64416e0b02cf/KBIE_A_2085388_F0002_OC.jpg
https://cdn.ncbi.nlm.nih.gov/pmc/blobs/7fea/9995130/e872b25a0af5/KBIE_A_2085388_F0003_OC.jpg
https://cdn.ncbi.nlm.nih.gov/pmc/blobs/7fea/9995130/9f7614160b5e/KBIE_A_2085388_F0004_OC.jpg
https://cdn.ncbi.nlm.nih.gov/pmc/blobs/7fea/9995130/f256ae686ba6/KBIE_A_2085388_F0005_OC.jpg
https://cdn.ncbi.nlm.nih.gov/pmc/blobs/7fea/9995130/ec853898dc23/KBIE_A_2085388_F0006_OC.jpg
https://cdn.ncbi.nlm.nih.gov/pmc/blobs/7fea/9995130/d9501605b158/KBIE_A_2085388_F0007_OC.jpg

相似文献

1
Erxian herbal pair enhances bone formation in infected bone nonunion models and attenuates lipopolysaccharide-induced osteoblastinhibition by regulating miRNA-34a-5p.二仙 Herbal Pair 通过调控 miRNA-34a-5p 促进感染性骨不连模型中成骨作用并减轻脂多糖诱导的成骨细胞抑制
Bioengineered. 2022 Jun;13(6):14339-14356. doi: 10.1080/21655979.2022.2085388.
2
Epimedium-Curculigo herb pair enhances bone repair with infected bone defects and regulates osteoblasts through LncRNA MALAT1/miR-34a-5p/SMAD2 axis.淫羊藿-蒺藜草药对通过 LncRNA MALAT1/miR-34a-5p/SMAD2 轴增强感染性骨缺损的骨修复并调节成骨细胞。
J Cell Mol Med. 2024 Jul;28(13):e18527. doi: 10.1111/jcmm.18527.
3
Icariine Restores LPS-Induced Bone Loss by Downregulating miR-34c Level.淫羊藿次苷Ⅰ通过下调 miR-34c 水平来恢复 LPS 诱导的骨丢失。
Inflammation. 2016 Oct;39(5):1764-70. doi: 10.1007/s10753-016-0411-6.
4
MiR-34a-5p inhibition attenuates LPS-induced endothelial cell injury by targeting FOXM1.miR-34a-5p 通过靶向 FOXM1 抑制 LPS 诱导的内皮细胞损伤。
Eur Rev Med Pharmacol Sci. 2020 Oct;24(20):10829-10838. doi: 10.26355/eurrev_202010_23445.
5
Transcriptome sequencing profiling identifies miRNA-331-3p as an osteoblast-specific miRNA in infected bone nonunion.转录组测序分析鉴定 miRNA-331-3p 为感染性骨不连中成骨细胞特异性 miRNA。
Bone. 2021 Feb;143:115619. doi: 10.1016/j.bone.2020.115619. Epub 2020 Aug 26.
6
Circulating Exosomes from Mice with LPS-Induced Bone Loss Inhibit Osteoblast Differentiation.脂多糖诱导骨丢失小鼠循环外泌体抑制成骨细胞分化。
Calcif Tissue Int. 2022 Aug;111(2):185-195. doi: 10.1007/s00223-022-00977-x. Epub 2022 Apr 18.
7
Extracellular vesicles derived from T-cell acute lymphoblastic leukemia inhibit osteogenic differentiation of bone marrow mesenchymal stem cells via miR-34a-5p.源自T细胞急性淋巴细胞白血病的细胞外囊泡通过miR-34a-5p抑制骨髓间充质干细胞的成骨分化。
Endocr J. 2021 Oct 28;68(10):1197-1208. doi: 10.1507/endocrj.EJ21-0005. Epub 2021 May 25.
8
MicroRNA-34a inhibits osteoblast differentiation and in vivo bone formation of human stromal stem cells.微小RNA-34a抑制人基质干细胞的成骨细胞分化及体内骨形成。
Stem Cells. 2014 Apr;32(4):902-12. doi: 10.1002/stem.1615.
9
LncRNA XIXT promotes osteogenic differentiation of bone mesenchymal stem cells and alleviates osteoporosis progression by targeting miRNA-30a-5p.长链非编码 RNA XIXT 通过靶向 miRNA-30a-5p 促进骨髓间充质干细胞的成骨分化并缓解骨质疏松症的进展。
Eur Rev Med Pharmacol Sci. 2019 Oct;23(20):8721-8729. doi: 10.26355/eurrev_201910_19266.
10
Glucocorticoids impair bone formation of bone marrow stromal stem cells by reciprocally regulating microRNA-34a-5p.糖皮质激素通过相互调节微小RNA-34a-5p来损害骨髓间充质干细胞的骨形成。
Osteoporos Int. 2016 Apr;27(4):1493-1505. doi: 10.1007/s00198-015-3381-x. Epub 2015 Nov 10.

引用本文的文献

1
Epimedium Brevicornu and Curculigo orchioides inhibit osteoclast autophagy by degrading the level of miRNA-199 to regulate the mTOR signaling pathway.淫羊藿和仙茅通过降低miRNA-199水平抑制破骨细胞自噬,从而调节mTOR信号通路。
J Orthop Surg Res. 2025 Jul 9;20(1):631. doi: 10.1186/s13018-025-06043-0.
2
Human Umbilical Cord Mesenchymal Stem Cells-Derived Exosomes Attenuates Experimental Periodontitis in Mice Partly by Delivering miRNAs.人脐带间充质干细胞来源的外泌体部分通过递送微小RNA减轻小鼠实验性牙周炎
Int J Nanomedicine. 2025 Mar 8;20:2879-2899. doi: 10.2147/IJN.S502192. eCollection 2025.
3
Regulation of ferroptosis in osteoarthritis and osteoarthritic chondrocytes by typical MicroRNAs in chondrocytes.

本文引用的文献

1
MicroRNA miR-874-3p inhibits osteoporosis by targeting leptin (LEP).微小 RNA miR-874-3p 通过靶向瘦素 (LEP) 抑制骨质疏松症。
Bioengineered. 2021 Dec;12(2):11756-11767. doi: 10.1080/21655979.2021.2009618.
2
MicroRNA-223-3p is involved in fracture healing by regulating fibroblast growth factor receptor 2.miR-223-3p 通过调节成纤维细胞生长因子受体 2 参与骨折愈合。
Bioengineered. 2021 Dec;12(2):12040-12048. doi: 10.1080/21655979.2021.2002498.
3
MicroRNA-15a-5p plays a role in osteogenic MC3T3-E1 cells differentiation by targeting PDCD4 (programmed cell death 4) via Wnt/β-catenin dependent signaling pathway.
软骨细胞中典型微小RNA对骨关节炎及骨关节炎软骨细胞中铁死亡的调控
Front Med (Lausanne). 2024 Nov 5;11:1478153. doi: 10.3389/fmed.2024.1478153. eCollection 2024.
4
Epimedium-Curculigo herb pair enhances bone repair with infected bone defects and regulates osteoblasts through LncRNA MALAT1/miR-34a-5p/SMAD2 axis.淫羊藿-蒺藜草药对通过 LncRNA MALAT1/miR-34a-5p/SMAD2 轴增强感染性骨缺损的骨修复并调节成骨细胞。
J Cell Mol Med. 2024 Jul;28(13):e18527. doi: 10.1111/jcmm.18527.
微小 RNA-15a-5p 通过 Wnt/β-连环蛋白依赖性信号通路靶向 PDCD4(程序性细胞死亡 4)在成骨 MC3T3-E1 细胞分化中发挥作用。
Bioengineered. 2021 Dec;12(1):8173-8185. doi: 10.1080/21655979.2021.1977766.
4
Differentially-expressed mRNAs, microRNAs and long noncoding RNAs in intervertebral disc degeneration identified by RNA-sequencing.通过 RNA 测序鉴定椎间盘退变中差异表达的 mRNAs、microRNAs 和长非编码 RNAs。
Bioengineered. 2021 Dec;12(1):1026-1039. doi: 10.1080/21655979.2021.1899533.
5
Cyclosporine A Promotes Bone Remodeling in LPS-Related Inflammation via Inhibiting ROS/ERK Signaling: Studies and .环孢素 A 通过抑制 ROS/ERK 信号通路促进 LPS 相关炎症中的骨重塑:研究与 。
Oxid Med Cell Longev. 2021 Jan 7;2021:8836599. doi: 10.1155/2021/8836599. eCollection 2021.
6
Retraction Note: miR-34a blocks osteoporosis and bone metastasis by inhibiting osteoclastogenesis and Tgif2.撤稿说明:miR-34a通过抑制破骨细胞生成和Tgif2来阻断骨质疏松和骨转移。
Nature. 2020 Jun;582(7810):134. doi: 10.1038/s41586-020-2273-1.
7
Bovine lactoferrin enhances osteogenesis through Smad2/3 and p38 MAPK activation.牛乳铁蛋白通过激活Smad2/3和p38丝裂原活化蛋白激酶增强成骨作用。
J Oral Biosci. 2020 Jun;62(2):147-154. doi: 10.1016/j.job.2020.05.001. Epub 2020 May 25.
8
Axin 1 knockdown inhibits osteoblastic apoptosis induced by Porphyromonas gingivalis lipopolysaccharide.Axin1 敲低抑制牙龈卟啉单胞菌脂多糖诱导的成骨细胞凋亡。
Arch Oral Biol. 2020 Apr;112:104667. doi: 10.1016/j.archoralbio.2020.104667. Epub 2020 Jan 28.
9
Lipopolysaccharide (LPS) inhibits ectopic bone formation induced by bone morphogenetic protein-2 and TGF-β1 through IL-1β production.脂多糖(LPS)通过产生白细胞介素-1β抑制骨形态发生蛋白-2和转化生长因子-β1诱导的异位骨形成。
J Oral Biosci. 2020 Mar;62(1):44-51. doi: 10.1016/j.job.2020.01.004. Epub 2020 Jan 24.
10
miR-34a inhibits tumorigenesis of NSCLC via targeting SIRT6.微小RNA-34a通过靶向沉默调节蛋白6抑制非小细胞肺癌的肿瘤发生。
Int J Clin Exp Pathol. 2018 Mar 1;11(3):1135-1145. eCollection 2018.