• 文献检索
  • 文档翻译
  • 深度研究
  • 学术资讯
  • Suppr Zotero 插件Zotero 插件
  • 邀请有礼
  • 套餐&价格
  • 历史记录
应用&插件
Suppr Zotero 插件Zotero 插件浏览器插件Mac 客户端Windows 客户端微信小程序
定价
高级版会员购买积分包购买API积分包
服务
文献检索文档翻译深度研究API 文档MCP 服务
关于我们
关于 Suppr公司介绍联系我们用户协议隐私条款
关注我们

Suppr 超能文献

核心技术专利:CN118964589B侵权必究
粤ICP备2023148730 号-1Suppr @ 2026

文献检索

告别复杂PubMed语法,用中文像聊天一样搜索,搜遍4000万医学文献。AI智能推荐,让科研检索更轻松。

立即免费搜索

文件翻译

保留排版,准确专业,支持PDF/Word/PPT等文件格式,支持 12+语言互译。

免费翻译文档

深度研究

AI帮你快速写综述,25分钟生成高质量综述,智能提取关键信息,辅助科研写作。

立即免费体验

经皮腔内室间隔心肌消融术治疗肥厚型梗阻性心肌病合并二尖瓣乳头肌异常:一例报告

Percutaneous transluminal septal myocardial ablation was effective in hypertrophic obstructive cardiomyopathy with anomalous mitral papillary muscles: a case report.

作者信息

Yuzawa-Tsukada Naoko, Tokuda Michifumi, Miyamoto Takashi, Yoshimura Michihiro

机构信息

Division of Cardiology, Department of Internal Medicine, The Jikei University Katsushika Medical Center, 6-41-2 Aoto, Katsushika-ku, Tokyo 125-8506, Japan.

Division of Cardiology, Saitama Cardiovascular Respiratory Center, Kumagaya, Saitama, Japan.

出版信息

Eur Heart J Case Rep. 2023 Jan 6;7(1):ytac493. doi: 10.1093/ehjcr/ytac493. eCollection 2023 Jan.

DOI:10.1093/ehjcr/ytac493
PMID:36694877
原文链接:https://pmc.ncbi.nlm.nih.gov/articles/PMC9856278/
Abstract

BACKGROUND

Abnormalities of the mitral subvalvular apparatus are not uncommon in hypertrophic obstructive cardiomyopathy (HOCM). Where invasive treatment is indicated in these patients to reduce left ventricular outflow tract (LVOT) obstruction, surgical myectomy with mitral valve repair is recommended.

CASE SUMMARY

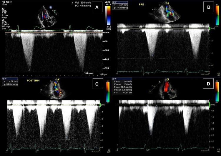
In this report, we describe the case of a patient with HOCM and anomalous papillary muscle anatomy, successfully treated by percutaneous transluminal septal myocardial ablation (PTSMA).

DISCUSSION

PTSMA effectively reduced septal myocardial thickness and LVOT gradient, with only mild residual systolic anterior motion and mitral regurgitation despite anomalous papillary muscle anatomy. Upon careful anatomical evaluation, PTSMA may be a suitable therapeutic option for patients with LVOT obstruction and mitral valve abnormalities who are poor surgical candidates.

摘要

背景

二尖瓣瓣下结构异常在肥厚型梗阻性心肌病(HOCM)中并不少见。对于这些需要进行有创治疗以减轻左心室流出道(LVOT)梗阻的患者,推荐行二尖瓣修复的外科室间隔心肌切除术。

病例摘要

在本报告中,我们描述了1例HOCM合并乳头肌解剖结构异常的患者,经皮腔内室间隔心肌消融术(PTSMA)治疗成功。

讨论

尽管存在乳头肌解剖结构异常,但PTSMA有效减轻了室间隔心肌厚度和LVOT梯度,仅伴有轻度残余收缩期前向运动和二尖瓣反流。经仔细的解剖学评估,PTSMA可能是LVOT梗阻和二尖瓣异常且手术风险高的患者的合适治疗选择。

https://cdn.ncbi.nlm.nih.gov/pmc/blobs/b17a/9856278/cc7956288973/ytac493f3.jpg
https://cdn.ncbi.nlm.nih.gov/pmc/blobs/b17a/9856278/6fd5ab91ac49/ytac493f1.jpg
https://cdn.ncbi.nlm.nih.gov/pmc/blobs/b17a/9856278/67bc92ded588/ytac493f2.jpg
https://cdn.ncbi.nlm.nih.gov/pmc/blobs/b17a/9856278/cc7956288973/ytac493f3.jpg
https://cdn.ncbi.nlm.nih.gov/pmc/blobs/b17a/9856278/6fd5ab91ac49/ytac493f1.jpg
https://cdn.ncbi.nlm.nih.gov/pmc/blobs/b17a/9856278/67bc92ded588/ytac493f2.jpg
https://cdn.ncbi.nlm.nih.gov/pmc/blobs/b17a/9856278/cc7956288973/ytac493f3.jpg

相似文献

1
Percutaneous transluminal septal myocardial ablation was effective in hypertrophic obstructive cardiomyopathy with anomalous mitral papillary muscles: a case report.经皮腔内室间隔心肌消融术治疗肥厚型梗阻性心肌病合并二尖瓣乳头肌异常:一例报告
Eur Heart J Case Rep. 2023 Jan 6;7(1):ytac493. doi: 10.1093/ehjcr/ytac493. eCollection 2023 Jan.
2
Percutaneous versus surgical treatment for patients with hypertrophic obstructive cardiomyopathy and enlarged anterior mitral valve leaflets.肥厚性梗阻性心肌病合并二尖瓣前叶增大患者的经皮治疗与手术治疗对比
Circulation. 2005 Jul 26;112(4):482-8. doi: 10.1161/CIRCULATIONAHA.104.508309. Epub 2005 Jul 18.
3
A case of percutaneous septal myocardial ablation in a patient with obstructive hypertrophic cardiomyopathy with accessory mitral valve tissue.1例患有梗阻性肥厚型心肌病且伴有二尖瓣附属组织的患者接受经皮室间隔心肌消融术的病例。
J Cardiol Cases. 2023 Oct 23;29(1):39-42. doi: 10.1016/j.jccase.2023.10.001. eCollection 2024 Jan.
4
Robotic trans-mitral septal myectomy and papillary muscle reorientation for HOCM combined with or without mitral valve repair: Technical aspects - How we do it.机器人二尖瓣间隔心肌切除术和乳头肌重定向治疗肥厚型梗阻性心肌病合并或不合并二尖瓣修复:技术方面——我们如何操作。
J Card Surg. 2020 Nov;35(11):3120-3124. doi: 10.1111/jocs.14919. Epub 2020 Aug 2.
5
Outcome of patients with hypertrophic obstructive cardiomyopathy after percutaneous transluminal septal myocardial ablation and septal myectomy surgery.肥厚性梗阻性心肌病患者经皮腔内室间隔心肌消融术和室间隔肌切除术术后的结局
J Am Coll Cardiol. 2001 Dec;38(7):1994-2000. doi: 10.1016/s0735-1097(01)01656-4.
6
Septal Thickness Does Not Impact Outcome After Hypertrophic Obstructive Cardiomyopathy Surgery (Septal Myectomy and Subvalvular Mitral Apparatus Remodeling): A 15-Years of Experience.间隔厚度对肥厚性梗阻性心肌病手术(间隔心肌切除术和瓣膜下二尖瓣装置重塑)后的结果无影响:15年经验总结
Front Cardiovasc Med. 2022 Jun 15;9:853582. doi: 10.3389/fcvm.2022.853582. eCollection 2022.
7
Reverse remodeling after percutaneous transluminal septal myocardial ablation in severe but asymptomatic LVOT obstruction (RASTA) study: Rationale and design of transcatheter septal reduction in asymptomatic patients with severe hypertrophic obstructive cardiomyopathy.经皮腔内室间隔心肌消融术治疗严重但无症状左心室流出道梗阻(RASTA)研究的逆向重构:严重肥厚型梗阻性心肌病无症状患者经导管间隔减少术的原理和设计。
Catheter Cardiovasc Interv. 2021 Feb 15;97(3):488-492. doi: 10.1002/ccd.29178. Epub 2020 Aug 18.
8
Anomalous papillary muscle insertion into the mitral valve leaflet in hypertrophic obstructive cardiomyopathy: a lip nevus sign in echocardiography.肥厚型梗阻性心肌病中乳头肌异常插入二尖瓣叶:超声心动图中的唇状痣征
Front Cardiovasc Med. 2023 Dec 6;10:1292142. doi: 10.3389/fcvm.2023.1292142. eCollection 2023.
9
Percutaneous transluminal septal myocardial ablation: past, present, and future.经皮腔内室间隔心肌消融术:过去、现在和未来。
J Cardiol. 2022 Sep;80(3):211-217. doi: 10.1016/j.jjcc.2021.11.023. Epub 2021 Dec 16.
10
Is There a Role for Alcohol Septal Ablation in Young Patients with Medically Refractory Hypertrophic Obstructive Cardiomyopathy?酒精室间隔消融术在药物难治性肥厚梗阻性心肌病的年轻患者中有作用吗?
Pediatr Cardiol. 2024 Mar;45(3):648-659. doi: 10.1007/s00246-023-03145-6. Epub 2023 Mar 30.

本文引用的文献

1
2020 AHA/ACC Guideline for the Diagnosis and Treatment of Patients With Hypertrophic Cardiomyopathy: Executive Summary: A Report of the American College of Cardiology/American Heart Association Joint Committee on Clinical Practice Guidelines.2020 年美国心脏病学会/美国心脏协会肥厚型心肌病诊断和治疗指南:执行摘要:美国心脏病学会/美国心脏协会临床实践指南联合委员会的报告。
Circulation. 2020 Dec 22;142(25):e533-e557. doi: 10.1161/CIR.0000000000000938. Epub 2020 Nov 20.
2
Prognostic significance of repeated brain natriuretic peptide measurements after percutaneous transluminal septal myocardial ablation in patients with drug-refractory hypertrophic obstructive cardiomyopathy.药物难治性肥厚型梗阻性心肌病患者经皮腔内室间隔心肌消融术后重复测量脑钠肽的预后意义
Open Heart. 2018 May 10;5(1):e000786. doi: 10.1136/openhrt-2018-000786. eCollection 2018.
3
Alcohol septal ablation for the treatment of hypertrophic obstructive cardiomyopathy. A multicenter North American registry.酒精室间隔消融术治疗肥厚型梗阻性心肌病。一项多中心北美注册研究。
J Am Coll Cardiol. 2011 Nov 22;58(22):2322-8. doi: 10.1016/j.jacc.2011.06.073.
4
Survival after transcoronary ablation of septal hypertrophy in hypertrophic obstructive cardiomyopathy (TASH): a 10 year experience.肥厚性梗阻性心肌病经冠状动脉间隔肥厚消融术(TASH)后的生存率:10年经验
Clin Res Cardiol. 2008 Apr;97(4):234-43. doi: 10.1007/s00392-007-0616-7. Epub 2007 Dec 10.
5
Frequency and mechanism of persistent systolic anterior motion and mitral regurgitation after septal ablation in obstructive hypertrophic cardiomyopathy.梗阻性肥厚型心肌病经室间隔消融术后持续性收缩期前向运动及二尖瓣反流的发生率和机制
Am J Cardiol. 2007 Dec 1;100(11):1691-5. doi: 10.1016/j.amjcard.2007.07.020.
6
Abnormal papillary muscle morphology is independently associated with increased left ventricular outflow tract obstruction in hypertrophic cardiomyopathy.异常的乳头肌形态与肥厚型心肌病中左心室流出道梗阻增加独立相关。
Heart. 2008 Oct;94(10):1295-301. doi: 10.1136/hrt.2007.118018. Epub 2007 Aug 9.
7
Anomalous insertion of papillary muscle directly into anterior mitral leaflet in hypertrophic cardiomyopathy. Significance in producing left ventricular outflow obstruction.肥厚型心肌病中乳头肌直接异常插入二尖瓣前叶。在产生左心室流出道梗阻中的意义。
Circulation. 1991 Sep;84(3):1188-97. doi: 10.1161/01.cir.84.3.1188.