• 文献检索
  • 文档翻译
  • 深度研究
  • 学术资讯
  • Suppr Zotero 插件Zotero 插件
  • 邀请有礼
  • 套餐&价格
  • 历史记录
应用&插件
Suppr Zotero 插件Zotero 插件浏览器插件Mac 客户端Windows 客户端微信小程序
定价
高级版会员购买积分包购买API积分包
服务
文献检索文档翻译深度研究API 文档MCP 服务
关于我们
关于 Suppr公司介绍联系我们用户协议隐私条款
关注我们

Suppr 超能文献

核心技术专利:CN118964589B侵权必究
粤ICP备2023148730 号-1Suppr @ 2026

文献检索

告别复杂PubMed语法,用中文像聊天一样搜索,搜遍4000万医学文献。AI智能推荐,让科研检索更轻松。

立即免费搜索

文件翻译

保留排版,准确专业,支持PDF/Word/PPT等文件格式,支持 12+语言互译。

免费翻译文档

深度研究

AI帮你快速写综述,25分钟生成高质量综述,智能提取关键信息,辅助科研写作。

立即免费体验

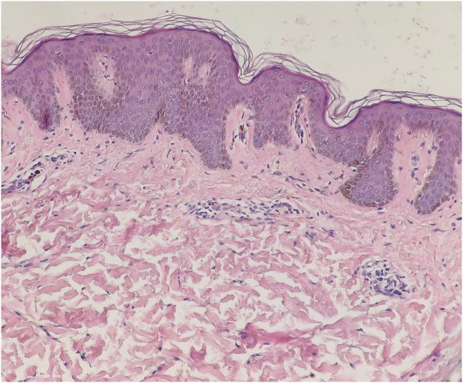
Bilateral giant Becker's nevus.

作者信息

Zhang Li-Wen, Jiang Cun-Huo, Li Lin, Chen Tao

机构信息

Department of Dermatovenereology, Chengdu Second People's Hospital, Chengdu, Sichuan, China.

Department of Dermatovenereology, Chengdu Second People's Hospital, Chengdu, Sichuan, China.

出版信息

An Bras Dermatol. 2023 Mar-Apr;98(2):248-250. doi: 10.1016/j.abd.2021.05.024. Epub 2023 Jan 23.

DOI:10.1016/j.abd.2021.05.024
PMID:36697336
原文链接:https://pmc.ncbi.nlm.nih.gov/articles/PMC9984696/
Abstract
摘要
https://cdn.ncbi.nlm.nih.gov/pmc/blobs/1ca3/9984696/f03f44adc20f/gr3.jpg
https://cdn.ncbi.nlm.nih.gov/pmc/blobs/1ca3/9984696/14b039d11a6d/gr1.jpg
https://cdn.ncbi.nlm.nih.gov/pmc/blobs/1ca3/9984696/4e6999c5f4d8/gr2.jpg
https://cdn.ncbi.nlm.nih.gov/pmc/blobs/1ca3/9984696/f03f44adc20f/gr3.jpg
https://cdn.ncbi.nlm.nih.gov/pmc/blobs/1ca3/9984696/14b039d11a6d/gr1.jpg
https://cdn.ncbi.nlm.nih.gov/pmc/blobs/1ca3/9984696/4e6999c5f4d8/gr2.jpg
https://cdn.ncbi.nlm.nih.gov/pmc/blobs/1ca3/9984696/f03f44adc20f/gr3.jpg

相似文献

1
Bilateral giant Becker's nevus.双侧巨大贝克尔痣。
An Bras Dermatol. 2023 Mar-Apr;98(2):248-250. doi: 10.1016/j.abd.2021.05.024. Epub 2023 Jan 23.
2
Becker's nevus.贝克尔痣。
Pan Afr Med J. 2022 Feb 17;41:142. doi: 10.11604/pamj.2022.41.142.33417. eCollection 2022.
3
Becker's nevus syndrome.贝克尔痣综合征。
Ital J Dermatol Venerol. 2021 Dec;156(Suppl. 1 to No. 6):14-15. doi: 10.23736/S2784-8671.18.06211-9. Epub 2019 Jan 16.
4
Becker's nevus onset in an adult man on the temporo-parietal-occipital region.一名成年男性颞顶枕区出现贝克尔痣。
Ital J Dermatol Venerol. 2021 Aug;156(4):507-508. doi: 10.23736/S2784-8671.20.06770-X. Epub 2020 Nov 12.
5
Becker's Naevus Syndrome with Breast Aplasia Due to Postzygotic Mutation of ACTB.因β-肌动蛋白(ACTB)合子后突变导致乳房发育不全的贝克尔痣综合征。
Acta Derm Venereol. 2022 Oct 31;102:adv00806. doi: 10.2340/actadv.v102.1141.
6
An update on Becker's nevus: Pathogenesis and treatment.贝克痣的最新进展:发病机制与治疗
Dermatol Ther. 2022 Jul;35(7):e15548. doi: 10.1111/dth.15548. Epub 2022 May 12.
7
Bilaterally Asymmetrical Becker's Nevus.双侧不对称贝克痣。
J Ayub Med Coll Abbottabad. 2021 Apr-Jun;33(2):347-348.
8
Successful treatment of Becker's Nevus with long-pulsed 1064-nm Nd:YAG and 755-nm alexandrite laser and review of the literature.长脉冲1064纳米掺钕钇铝石榴石激光和755纳米翠绿宝石激光成功治疗贝克痣并文献综述
J Cosmet Laser Ther. 2018 Aug;20(4):211-214. doi: 10.1080/14764172.2017.1326613. Epub 2018 Mar 26.
9
Three different epidermal naevi with no organ involvement: sebaceous naevus, naevus comedonicus and Becker's naevus.三种无器官受累的不同表皮痣:皮脂腺痣、粉刺样痣和贝克痣。
Acta Derm Venereol. 2008;88(1):67-9. doi: 10.2340/00015555-0321.
10
Combination 1550 nm non-ablative fractional resurfacing and laser hair removal for treatment of Becker's nevi in skin types III-VI.1550纳米非剥脱性分次激光换肤联合激光脱毛治疗Ⅲ-Ⅵ型皮肤的贝克痣
Lasers Surg Med. 2023 Jan;55(1):99-104. doi: 10.1002/lsm.23599. Epub 2022 Sep 21.

本文引用的文献

1
One person, two bilateral symmetrical giant Becker nevi.一人,双侧对称巨大贝克痣。
Dermatol Online J. 2020 Sep 15;26(9):13030/qt44x2j7nr.
2
Multiple bilateral Becker's nevus in a Saudi female: a rare presentation.一名沙特女性身上出现多发性双侧贝克尔痣:一种罕见的表现。
AME Case Rep. 2019 Nov 21;3:42. doi: 10.21037/acr.2019.10.01. eCollection 2019.
3
Postzygotic Mutations in Beta-Actin Are Associated with Becker's Nevus and Becker's Nevus Syndrome.β-肌动蛋白的合子后突变与贝克痣及贝克痣综合征相关。
J Invest Dermatol. 2017 Aug;137(8):1795-1798. doi: 10.1016/j.jid.2017.03.017. Epub 2017 Mar 24.
4
Becker's nevus syndrome revisited.
J Am Acad Dermatol. 2004 Dec;51(6):965-9. doi: 10.1016/j.jaad.2004.06.036.
5
Becker nevus syndrome.贝克尔痣综合征
Am J Med Genet. 1997 Jan 31;68(3):357-61.