Suppr超能文献

F-氟脱氧葡萄糖在非感染性髋关节置换中的性能特征。

Performance characteristics of F-fluorodeoxyglucose in non-infected hip replacement.

作者信息

Wang Yiqun, Yuan Lulu, Du Yinqiao, Liu Honghong, Li Qingxiao, Chang Yan, Shi Yuanyuan, Wang Yanmei, Meng Xiaolin, Zhou Yonggang, Yao Shulin, Tian Jiahe

机构信息

Department of Nuclear Medicine, The First Medical Centre, Chinese People's Liberation Army (PLA) General Hospital, Beijing, China.

Beijing Key Laboratory of Sports Injuries, Department of Sports Medicine, Institute of Sports Medicine of Peking University, Peking University Third Hospital, Beijing, China.

出版信息

Front Med (Lausanne). 2023 Jan 5;9:1043812. doi: 10.3389/fmed.2022.1043812. eCollection 2022.

Abstract

PURPOSE

The aim of this study was to retrospectively analyze 18F-fluorodeoxyglucose (F-FDG) positron emission tomography (PET)/ computed tomography (CT) images of non-infected hip arthroplasty patients and summarize findings that may be useful for clinical practice.

METHODS

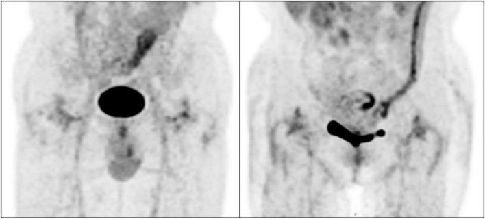
F-FDG PET/CT images of non-infected hip arthroplasty patients were collected from September 2009 to August 2021. The region of interest was independently delineated by two physicians and maximum standardized uptake values (SUV) were recorded and compared. Serologic data were also collected and the correlation between SUV and serologic parameters was analyzed, while the images were classified based on the F-FDG uptake pattern in the images using the diagnostic criteria proposed by Reinartz et al. (9). The interval between hip replacement and PET/CT was classified by year and the characteristics of the two groups were compared. The images of patients who underwent PET/CT multiple times were analyzed dynamically.

RESULTS

A total of 121 examinations were included; six patients underwent PET/CT twice and two patients had three scans. There were no significant correlations between SUV and serologic results. The interobserver agreement between the two physicians in the classification according to the criteria of Reinartz et al. (9) was 0.957 ( < 0.005). Although there was non-specific uptake in cases with an arthroplasty-to-PET/CT interval this was non-significant. Additionally, F-FDG showed potential utility for dynamic observation of the condition of the hip.

CONCLUSION

SUV provided information independent of serologic results, meanwhile F-FDG showed potential applicability to the dynamic monitoring of hip arthroplasty-related diseases. However, the presence of blood vessels and muscles affected image interpretation and the specificity of F-FDG was not optimal. A more specific radionuclide is needed to maximize the benefits of using PET/CT for the assessment of periprosthetic joint infection (PJI).

摘要

目的

本研究旨在回顾性分析未感染髋关节置换术患者的18F-氟脱氧葡萄糖(F-FDG)正电子发射断层扫描(PET)/计算机断层扫描(CT)图像,并总结可能对临床实践有用的发现。

方法

收集2009年9月至2021年8月未感染髋关节置换术患者的F-FDG PET/CT图像。由两名医生独立划定感兴趣区域,记录并比较最大标准化摄取值(SUV)。还收集了血清学数据,分析SUV与血清学参数之间的相关性,并根据Reinartz等人(9)提出的诊断标准,基于图像中F-FDG摄取模式对图像进行分类。髋关节置换与PET/CT之间的间隔按年份分类,并比较两组的特征。对多次接受PET/CT检查的患者图像进行动态分析。

结果

共纳入121次检查;6例患者接受了两次PET/CT检查,2例患者进行了三次扫描。SUV与血清学结果之间无显著相关性。两名医生根据Reinartz等人(9)的标准进行分类时的观察者间一致性为0.957(<0.005)。尽管在置换术至PET/CT间隔的病例中存在非特异性摄取,但无统计学意义。此外,F-FDG对髋关节状况的动态观察显示出潜在效用。

结论

SUV提供了独立于血清学结果的信息,同时F-FDG对髋关节置换相关疾病的动态监测显示出潜在适用性。然而,血管和肌肉的存在影响图像解读,且F-FDG的特异性并非最佳。需要一种更具特异性的放射性核素,以最大限度地发挥PET/CT在评估假体周围关节感染(PJI)方面的优势。

https://cdn.ncbi.nlm.nih.gov/pmc/blobs/e78e/9870722/2a8fd2535cb5/fmed-09-1043812-g001.jpg

文献检索

告别复杂PubMed语法,用中文像聊天一样搜索,搜遍4000万医学文献。AI智能推荐,让科研检索更轻松。

立即免费搜索

文件翻译

保留排版,准确专业,支持PDF/Word/PPT等文件格式,支持 12+语言互译。

免费翻译文档

深度研究

AI帮你快速写综述,25分钟生成高质量综述,智能提取关键信息,辅助科研写作。

立即免费体验