Suppr超能文献

非感染性全髋关节假体中的 F-FDG-PET 摄取。

F-FDG-PET uptake in non-infected total hip prostheses.

机构信息

a Medical Imaging Center , Department of Nuclear Medicine and Molecular Imaging , University of Groningen, University Medical Center Groningen , Groningen ;

b Department of Orthopaedic Surgery , University of Groningen, University Medical Center Groningen , Groningen ;

出版信息

Acta Orthop. 2018 Dec;89(6):634-639. doi: 10.1080/17453674.2018.1525931. Epub 2018 Oct 18.

Abstract

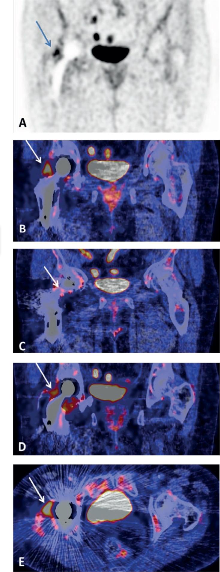
Background and purpose - F-fluorodeoxyglucose positron emission tomography (FDG-PET) can be used in the diagnostic work-up of a patient with suspected periprosthetic joint infection (PJI) but, due to a lack of accurate interpretation criteria, this technique is not routinely applied. Since the physiological uptake pattern of FDG around a joint prosthesis is not fully elucidated, we determined the physiological FDG uptake in non-infected total hip prostheses. Patients and methods - Patients treated with primary total hip arthroplasty (1995-2016) who underwent a FDG-PET/CT for an indication other than a suspected PJI were retrospectively evaluated. Scans were both visually and quantitatively analyzed. Semi-quantitative analysis was performed by calculating maximum and peak standardized uptake values (SUV and SUV) by volume of interests (VOIs) at 8 different locations around the prosthesis. Results - 58 scans from 30 patients were analyzed. In most hips, a diffuse heterogeneous uptake pattern around the prosthesis was observed (in 32/38 of the cemented prostheses, and in 16/20 of the uncemented prostheses) and most uptake was located around the neck of the prosthesis. The median SUV in the cemented group was 2.66 (95% CI 2.51-3.10) and in the uncemented group 2.87 (CI 2.65-4.63) (Median difference = -0.36 [CI -1.2 to 0.34]). In uncemented prostheses, there was a positive correlation in time between the age of the prosthesis and the FDG uptake (r = 0.63 [CI 0.26-0.84]). Interpretation - Our study provides key data to develop accurate interpretation criteria to differentiate between physiological uptake and infection in patients with a prosthetic joint.

摘要

背景与目的 - F-氟代脱氧葡萄糖正电子发射断层扫描(FDG-PET)可用于疑似人工关节假体周围感染(PJI)患者的诊断,但由于缺乏准确的解读标准,该技术并未常规应用。由于关节假体周围 FDG 的生理摄取模式尚未完全阐明,我们确定了非感染性全髋关节假体的生理 FDG 摄取。

患者和方法 - 回顾性分析了 1995 年至 2016 年期间因疑似 PJI 以外的原因接受 FDG-PET/CT 检查的初次全髋关节置换术患者。对扫描结果进行了定性和定量分析。通过在假体周围 8 个不同位置的感兴趣区域(VOI)计算最大和峰值标准化摄取值(SUV 和 SUV),进行半定量分析。

结果 - 分析了 30 例患者的 58 次扫描。在大多数髋关节中,观察到假体周围弥漫性异质性摄取模式(在 38 例骨水泥假体中有 32 例,在 20 例非骨水泥假体中有 16 例),并且大多数摄取位于假体颈部周围。骨水泥组 SUV 的中位数为 2.66(95%CI 2.51-3.10),非骨水泥组为 2.87(CI 2.65-4.63)(中位数差异=-0.36[CI -1.2 至 0.34])。在非骨水泥假体中,假体年龄与 FDG 摄取之间存在正相关(r=0.63[CI 0.26-0.84])。

结论 - 本研究提供了关键数据,有助于制定准确的解读标准,以区分假体关节患者的生理摄取与感染。

https://cdn.ncbi.nlm.nih.gov/pmc/blobs/1d24/6300734/453e2ffe0047/IORT_A_1525931_F0001_C.jpg

文献检索

告别复杂PubMed语法,用中文像聊天一样搜索,搜遍4000万医学文献。AI智能推荐,让科研检索更轻松。

立即免费搜索

文件翻译

保留排版,准确专业,支持PDF/Word/PPT等文件格式,支持 12+语言互译。

免费翻译文档

深度研究

AI帮你快速写综述,25分钟生成高质量综述,智能提取关键信息,辅助科研写作。

立即免费体验