Suppr超能文献

脑室腹腔分流管向上自发移入心脏:一例报告总结

Upward spontaneous migration of ventriculoperitoneal shunt into the heart: A case report summary.

作者信息

Ghaffari Shamsi, Hashemzadeh Khosro, Samadi Mahmood, Molaei Akbar, Sadeghi Sahar, Jamei Khosroshahi Ahmad

机构信息

Cardiovascular Research Center, Tabriz University of Medical Sciences, Tabriz, Iran.

Pediatric Research Center, Tabriz University of Medical Sciences, Tabriz, Iran.

出版信息

J Cardiovasc Thorac Res. 2022;14(4):263-267. doi: 10.34172/jcvtr.2022.30523. Epub 2022 Dec 31.

Abstract

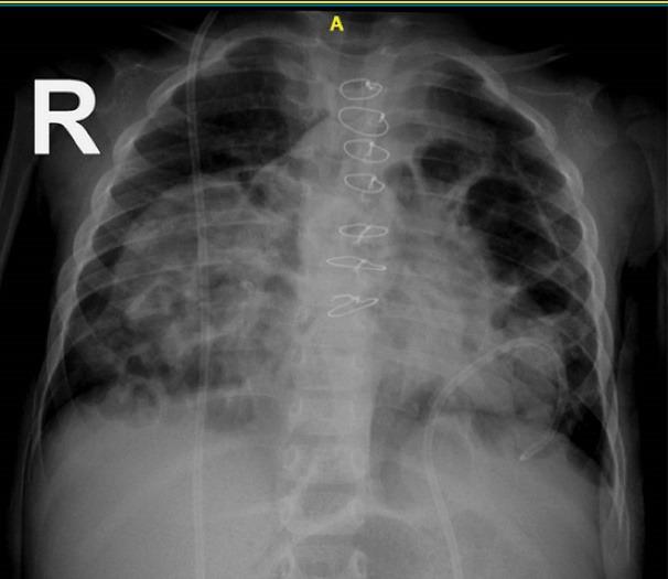
A male infant with a history of ventriculoperitoneal (VP) implantation due to congenital hydrocephalus presented with fever and lethargy at the age of 8 month-old. Pericardial effusion was detected in transthoracic echocardiography, and he underwent pericardial window operation and was discharged in a stable condition. At 11 months of age, he presented again with fever, lethargy, recurrent vomiting, and respiratory distress. In both plain chest radiography and transthoracic echocardiography, VP shunt migration to the heart cavity was observed. The VP shunt had entered into the right ventricle after perforating the diaphragm and pericardium. The patient underwent open-heart surgery due to vegetation at the tip of the VP shunt inside the right heart. Vegetation was removed and the tip of the shunt was returned to the peritoneal cavity. Two weeks after discharge, the patient presented again with symptoms of tachypnea and lethargy. The imaging revealed the entry of the VP shunt about two centimeters into the anterior mediastinum. The patient was transferred to the operation room and the VP shunt was shortened and re-inserted into the peritoneal cavity. Antibiotic treatment was continued for six weeks and the patient was discharged in stable condition. In follow-up visits after two years, the VP shunt functioned well and no particular complication was observed. This case demonstrates that in patients with VP shunt implantation presenting with pulmonary and cardiac symptoms such as respiratory distress, pericardial effusion, and cardiac tamponade after VP shunt implantation, the possibility of VP shunt catheter migration to the mediastinal cavity should be considered.

摘要

一名因先天性脑积水接受脑室腹腔(VP)分流术的男婴,8个月大时出现发热和嗜睡症状。经胸超声心动图检查发现心包积液,随后他接受了心包开窗手术,出院时病情稳定。11个月大时,他再次出现发热、嗜睡、反复呕吐和呼吸窘迫症状。胸部X线平片和经胸超声心动图检查均观察到VP分流管移入心脏腔室。VP分流管在穿透膈肌和心包后进入右心室。由于右心室内VP分流管尖端出现赘生物,该患者接受了心脏直视手术。赘生物被清除,分流管尖端被放回腹腔。出院两周后,患者再次出现呼吸急促和嗜睡症状。影像学检查显示VP分流管进入前纵隔约两厘米。患者被转至手术室,VP分流管被缩短并重新插入腹腔。抗生素治疗持续六周,患者出院时病情稳定。在两年后的随访中,VP分流管功能良好,未观察到特殊并发症。该病例表明,对于接受VP分流术的患者,若术后出现呼吸窘迫、心包积液和心脏压塞等肺部和心脏症状,应考虑VP分流管导管移入纵隔腔的可能性。

https://cdn.ncbi.nlm.nih.gov/pmc/blobs/d498/9871159/f238febc275a/jcvtr-14-263-g001.jpg

文献AI研究员

20分钟写一篇综述,助力文献阅读效率提升50倍。

立即体验

用中文搜PubMed

大模型驱动的PubMed中文搜索引擎

马上搜索

文档翻译

学术文献翻译模型,支持多种主流文档格式。

立即体验