Mansoor Mahsaw, Coussa Razek Georges, Strampe Margaret R, Larson Scott A, Russell Jonathan F
Department of Ophthalmology and Visual Sciences, University of Iowa, Iowa City, IA, USA.
Institute for Vision Research, University of Iowa, Iowa City, IA, USA.
Am J Ophthalmol Case Rep. 2023 Jan 19;29:101798. doi: 10.1016/j.ajoc.2023.101798. eCollection 2023 Mar.
To describe a novel case of Norrie disease and X-linked Kabuki syndrome caused by a microdeletion encompassing multiple genes on the X chromosome.
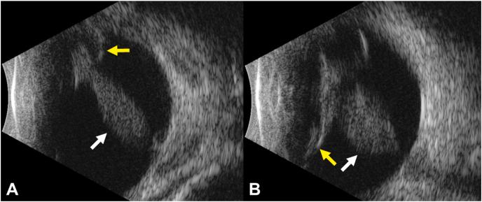
A 3-day-old boy born at full term had bilateral retrolental fibrovascular plaques. Surgery with lensectomy and vitrectomy revealed bilateral, closed funnel retinal detachments consistent with a clinical diagnosis of Norrie disease. In addition, the baby had congenital heart defects, hearing loss, and dysmorphic facies. His mother carried a clinical diagnosis of Kabuki syndrome. Genetic testing of the baby revealed an Xp11.3 microdeletion that included the and genes, confirming the baby had both Norrie disease and X-linked Kabuki syndrome. The mother was found via ultrawide-field fluorescein angiography to have asymptomatic peripheral retinal vascular anomalies, consistent with -associated familial exudative vitreoretinopathy (FEVR).
This is the first reported case of Norrie disease together with X-linked Kabuki syndrome. Contiguous gene deletions may explain some of the variable systemic involvement in Norrie disease.
描述一例由X染色体上包含多个基因的微缺失引起的诺里病和X连锁歌舞伎综合征的新病例。
一名足月出生的3日龄男婴双侧晶状体后纤维血管斑块。晶状体切除术和玻璃体切除术显示双侧闭合性漏斗状视网膜脱离,符合诺里病的临床诊断。此外,该婴儿有先天性心脏缺陷、听力丧失和畸形面容。他的母亲临床诊断为歌舞伎综合征。对该婴儿的基因检测显示Xp11.3微缺失,包括 和 基因,证实该婴儿患有诺里病和X连锁歌舞伎综合征。通过超广角荧光素血管造影发现母亲有无症状的周边视网膜血管异常,符合与 相关的家族性渗出性玻璃体视网膜病变(FEVR)。
这是首次报道的诺里病与X连锁歌舞伎综合征并存的病例。相邻基因缺失可能解释了诺里病中一些可变的全身受累情况。