Suppr超能文献

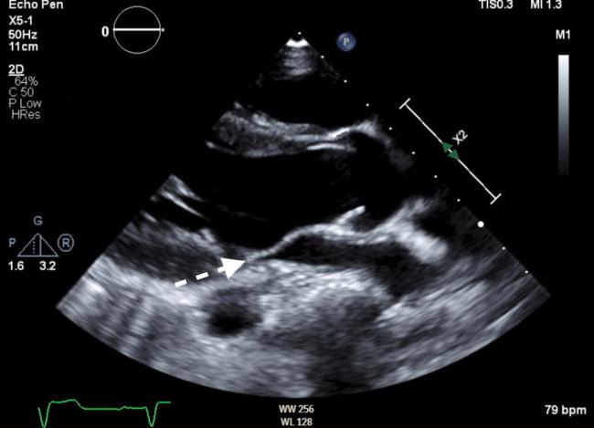
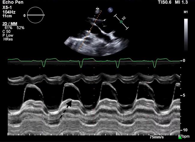
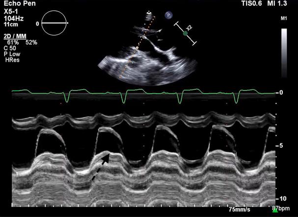
马方综合征体型患者的单叶二尖瓣

Unileaflet Mitral Valve in Patient With Marfanoid Habitus.

作者信息

Grandez Cesar, Skenderi Sonela

机构信息

Nazareth Hospital, Philadelphia, Pennsylvania.

出版信息

CASE (Phila). 2022 Sep 22;7(1):10-13. doi: 10.1016/j.case.2022.07.005. eCollection 2023 Jan.

Abstract

• Unileaflet mitral valve is a very rare congenital heart condition. • It is usually lethal in neonates with severe regurgitation. • Rare asymptomatic cases can be diagnosed later in life.

摘要

• 单叶二尖瓣是一种非常罕见的先天性心脏病。

• 对于患有严重反流的新生儿,它通常是致命的。

• 罕见的无症状病例可在日后生活中被诊断出来。

https://cdn.ncbi.nlm.nih.gov/pmc/blobs/9932/9871345/973aec122c5b/fx1.jpg

文献AI研究员

20分钟写一篇综述,助力文献阅读效率提升50倍。

立即体验

用中文搜PubMed

大模型驱动的PubMed中文搜索引擎

马上搜索

文档翻译

学术文献翻译模型,支持多种主流文档格式。

立即体验