Suppr超能文献

二尖瓣后叶发育不全:三例临床病例及文献综述

Posterior Mitral Valve Hypoplasia: Three Clinical Cases and a Review of the Literature.

作者信息

Koenig Baudouin, Ionescu Alin, Galli Elena

机构信息

Pôle d'Activité Médico-Chirurgicale Cardio-Vasculaire, Nouvel Hôpital Civil, Centre Hospitalier Universitaire, Université de Strasbourg, 67000 Strasbourg, France.

出版信息

Biomedicines. 2025 Apr 29;13(5):1078. doi: 10.3390/biomedicines13051078.

Abstract

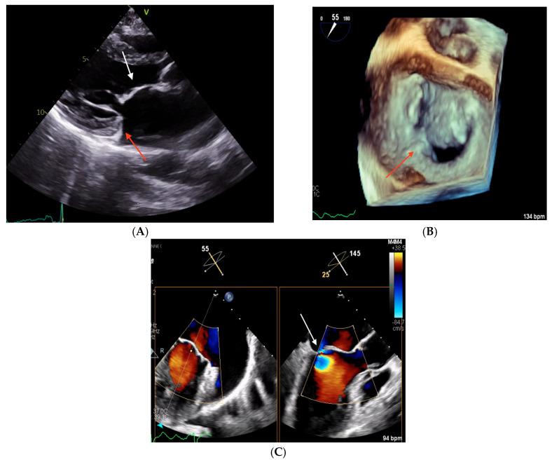
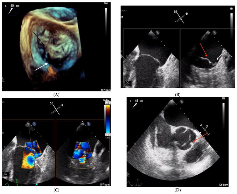
Posterior mitral leaflet hypoplasia is a rare condition, generally diagnosed in children. This paper presents three adult cases of posterior leaflet hypoplasia and comprehensively reviews the existing literature. All patients presented with severe mitral regurgitation necessitating hospitalization. Transthoracic and transesophageal echocardiography were performed to determine the underlying etiology, revealing pronounced posterior mitral leaflet hypoplasia. Each case was evaluated by a multidisciplinary heart team. Surgical mitral valve intervention was feasible in two patients. In one high-risk patient, percutaneous treatment options for MR were explored but ultimately deemed unsuitable due to the anatomical characteristics of the valve. The patient was consequently managed conservatively with medical therapy. These cases demonstrate that posterior mitral leaflet hypoplasia may constitute an underrecognized cause of severe primary mitral regurgitation in adults. The management of such cases can be particularly challenging due to the atypical valvular morphology.

摘要

二尖瓣后叶发育不全是一种罕见的病症,通常在儿童期被诊断出来。本文介绍了三例成人二尖瓣后叶发育不全的病例,并对现有文献进行了全面综述。所有患者均因严重二尖瓣反流而需要住院治疗。通过经胸和经食管超声心动图来确定潜在病因,结果显示二尖瓣后叶明显发育不全。每个病例均由多学科心脏团队进行评估。两名患者可行二尖瓣手术干预。在一名高危患者中,探讨了二尖瓣反流的经皮治疗方案,但最终由于瓣膜的解剖特征而认为不合适。因此,该患者接受药物保守治疗。这些病例表明,二尖瓣后叶发育不全可能是成人严重原发性二尖瓣反流的一个未被充分认识的原因。由于瓣膜形态不典型,此类病例的管理可能极具挑战性。

https://cdn.ncbi.nlm.nih.gov/pmc/blobs/5ce5/12108588/73e5e9b51993/biomedicines-13-01078-g001a.jpg

文献检索

告别复杂PubMed语法,用中文像聊天一样搜索,搜遍4000万医学文献。AI智能推荐,让科研检索更轻松。

立即免费搜索

文件翻译

保留排版,准确专业,支持PDF/Word/PPT等文件格式,支持 12+语言互译。

免费翻译文档

深度研究

AI帮你快速写综述,25分钟生成高质量综述,智能提取关键信息,辅助科研写作。

立即免费体验