Suppr超能文献

脐尿管癌的术前诊断评估准确性。

Preoperative accuracy of diagnostic evaluation of urachal carcinoma.

机构信息

Department of Urology, Tongji Hospital of Tongji Medical College, Huazhong University of Science and Technology (HUST), Wuhan, China.

出版信息

Cancer Med. 2023 Apr;12(8):9106-9115. doi: 10.1002/cam4.5648. Epub 2023 Feb 3.

Abstract

BACKGROUND

We analyzed the clinical data of patients with urachal carcinoma (UrC) in order to strengthen urologists' understanding of UrC and improve preoperative diagnosis.

METHODS

The clinical data of 37 patients with UrC admitted to our hospital from October 2005 to April 2022 were retrospectively analyzed, and 40 patients with urothelial carcinoma (UCa) of bladder were enrolled as the control group. We compared and analyzed the imaging, cystoscopy and immunohistochemistry, serum tumor markers, fluorescence in situ hybridization (FISH) of UrC and bladder UCa for early diagnosis and evaluation of diagnostic accuracy.

RESULTS

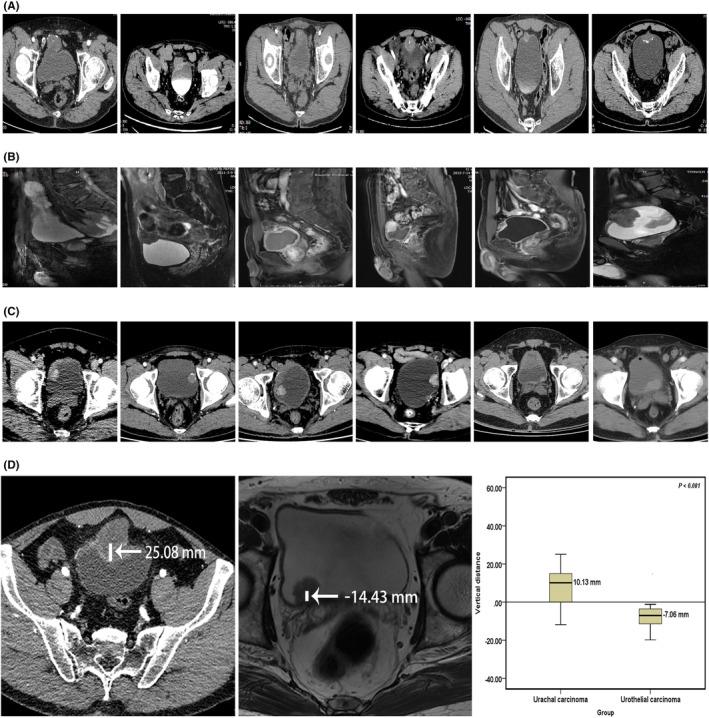
A total of 37 patients with UrC were enrolled in this study, including 30 males and seven females, with a median age of 52.00 (44.50-63.50) years. Imaging and cystoscopy suggest that UrC grows primarily outside the bladder cavity and is found in the middle line of the dome or anterior wall of the bladder. There was a significant difference in tumor location between the UrC group and the UCa group (10.13 mm vs. -7.06 mm, p < 0.001). Immunohistochemistry revealed that CK20 and CDX-2 were both diffusely and strongly positive. β-catenin was strongly positive in cytoplasm and membrane, but negative in nuclear staining. Carcinoembryonic antigen (CEA) and carbohydrate antigen 72-4 (CA724) expression levels were significantly higher in the UrC group than in the UCa group (p < 0.05). In the diagnosis of UrC, the area under the curve (AUC) of CEA combined with CA724 was the greatest. FISH's sensitivity in diagnosing UrC (5/7, 71.43%) was not significantly different from that of UCa (71.43% vs. 77.50%, p = 0.659). Imaging examination has the highest sensitivity and specificity among the accuracy evaluation of different diagnostic methods.

CONCLUSIONS

Imaging and cystoscopy are the powerful diagnostic methods for UrC. Serum tumor markers may assist in diagnosis, prognosis, and monitoring. Positive urine FISH can easily misdiagnose UrC as UCa.

摘要

背景

为了加强泌尿外科医师对脐尿管癌(UrC)的认识,提高术前诊断水平,我们对 UrC 患者的临床资料进行了分析。

方法

回顾性分析 2005 年 10 月至 2022 年 4 月我院收治的 37 例 UrC 患者的临床资料,纳入同期 40 例膀胱尿路上皮癌(UCa)患者作为对照组。比较并分析 UrC 和膀胱 UCa 的影像学、膀胱镜和免疫组化、血清肿瘤标志物、荧光原位杂交(FISH)检查对 UrC 的早期诊断和诊断准确性的评估。

结果

本研究共纳入 37 例 UrC 患者,男 30 例,女 7 例,中位年龄 52.00(44.50~63.50)岁。影像学和膀胱镜提示 UrC 主要向膀胱腔外生长,位于膀胱穹窿或前壁中线。UrC 组与 UCa 组肿瘤位置比较,差异有统计学意义(10.13 mm 比-7.06 mm,P<0.001)。免疫组化结果显示 CK20 和 CDX-2 均弥漫强阳性,β-连环蛋白胞质和膜强阳性,核染色阴性。癌胚抗原(CEA)和糖类抗原 72-4(CA724)在 UrC 组的表达水平明显高于 UCa 组(P<0.05)。在 UrC 诊断中,CEA 联合 CA724 的曲线下面积(AUC)最大。FISH 诊断 UrC 的敏感度(5/7,71.43%)与 UCa 比较差异无统计学意义(71.43%比 77.50%,P=0.659)。不同诊断方法准确性评估中,影像学检查的敏感度和特异度最高。

结论

影像学和膀胱镜是诊断 UrC 的有力手段,血清肿瘤标志物有助于诊断、预后和监测。阳性尿 FISH 容易误诊 UrC 为 UCa。

https://cdn.ncbi.nlm.nih.gov/pmc/blobs/73dc/10166928/4fba55b5a6eb/CAM4-12-9106-g001.jpg

文献检索

告别复杂PubMed语法,用中文像聊天一样搜索,搜遍4000万医学文献。AI智能推荐,让科研检索更轻松。

立即免费搜索

文件翻译

保留排版,准确专业,支持PDF/Word/PPT等文件格式,支持 12+语言互译。

免费翻译文档

深度研究

AI帮你快速写综述,25分钟生成高质量综述,智能提取关键信息,辅助科研写作。

立即免费体验