Suppr超能文献

游走脾:急诊科的一例罕见病例。

Wandering Spleen: A Rare Case From the Emergency Department.

作者信息

Jawad Mahdi, Yusuf Mohamed H, Al Doaibel Kaltham A, Nesaif Fatema M, Alharbi Ahlam S

机构信息

Radiology, Qatif Central Hospital, Qatif, SAU.

General Practice, Qatif Central Hospital, Qatif, SAU.

出版信息

Cureus. 2023 Jan 2;15(1):e33246. doi: 10.7759/cureus.33246. eCollection 2023 Jan.

Abstract

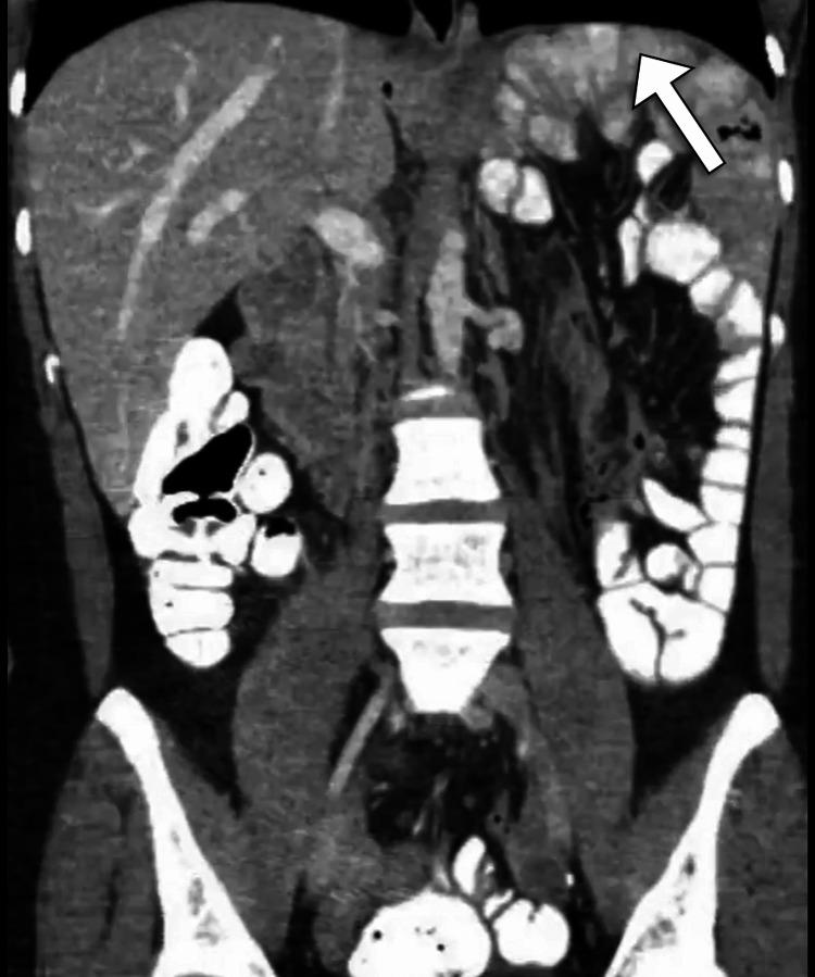
The spleen is typically located in the left upper quadrant and is held in position by the suspensory ligaments, which include the gastrosplenic ligament, the splenorenal ligament, and the phrenicocolic ligament. Abnormalities within these ligaments result in the mobility of the spleen, so it may be located in the pelvis or iliac region, which is termed a wandering spleen. We present a case of a middle-aged man who presented to the emergency department with generalized abdominal pain and diffuse guarding and tenderness. The patient had a previous history of peptic ulcer disease and multiple emergency department visits for gastritis. Given the assumed diagnosis of perforated viscus, the patient underwent a computed tomography scan that demonstrated the absence of the spleen in its usual location and showed an ectopic pelvic spleen. The patient underwent successful surgical treatment with splenopexy. The wandering spleen is a rare medical condition that presents a clinical diagnostic challenge and requires a high index of suspicion. Despite its rarity, the wandering spleen should be considered in patients with recurrent abdominal pain.

摘要

脾脏通常位于左上腹,由悬韧带固定其位置,悬韧带包括胃脾韧带、脾肾韧带和膈结肠韧带。这些韧带出现异常会导致脾脏活动,因此脾脏可能位于盆腔或髂区,这种情况被称为游走脾。我们报告一例中年男性病例,该患者因全腹疼痛、弥漫性腹肌紧张和压痛就诊于急诊科。患者既往有消化性溃疡病史,曾多次因胃炎就诊于急诊科。鉴于初步诊断为脏器穿孔,患者接受了计算机断层扫描,结果显示脾脏不在其正常位置,而是位于盆腔异位。患者接受了脾固定术,手术成功。游走脾是一种罕见的病症,会带来临床诊断挑战,需要高度怀疑指数。尽管罕见,但对于反复腹痛的患者应考虑游走脾的可能性。

https://cdn.ncbi.nlm.nih.gov/pmc/blobs/5e6a/9890613/8a784bed125d/cureus-0015-00000033246-i01.jpg

文献AI研究员

20分钟写一篇综述,助力文献阅读效率提升50倍。

立即体验

用中文搜PubMed

大模型驱动的PubMed中文搜索引擎

马上搜索

文档翻译

学术文献翻译模型,支持多种主流文档格式。

立即体验