Suppr超能文献

多灶性结节状脂肪 sparing 样肝肿瘤

Multifocal Nodular Fatty Sparing Mimicking Hepatic Tumors.

作者信息

Hussein Mohamed Lameir Mukhtar, Yasin Ahmad L F, Twair Akram, Darweesh Adham

机构信息

Radiology, Hamad Medical Corporation, Doha, QAT.

出版信息

Cureus. 2023 Jan 2;15(1):e33254. doi: 10.7759/cureus.33254. eCollection 2023 Jan.

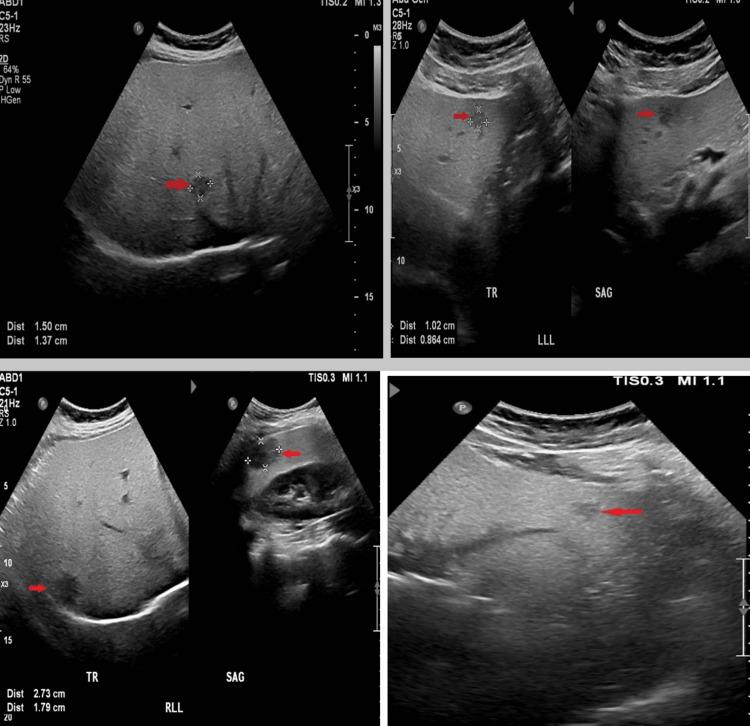
Abstract

Hepatic steatosis is frequent; however, it may present with unusual patterns, resulting in a diagnostic dilemma. Herein, we present a case of fatty liver and multifocal nodular hepatic lesions that were found to be due to multifocal nodular fatty sparing, which mimics metastasis or primary multifocal tumors. As the differential diagnosis of such lesions can be difficult based on ultrasound alone, the knowledge of Magnetic Resonance Imaging (MRI) findings is crucial. It enables the radiologists to make the correct diagnosis and alleviate the patient from unnecessary biopsies.

摘要

肝脂肪变性很常见;然而,它可能呈现出不寻常的模式,导致诊断困境。在此,我们报告一例脂肪肝和多灶性肝结节性病变的病例,结果发现是多灶性结节性脂肪 sparing,它模仿转移瘤或原发性多灶性肿瘤。由于仅基于超声对这些病变进行鉴别诊断可能很困难,了解磁共振成像(MRI)表现至关重要。这使放射科医生能够做出正确诊断,并使患者免于不必要的活检。

https://cdn.ncbi.nlm.nih.gov/pmc/blobs/d709/9891182/520b79507ae7/cureus-0015-00000033254-i01.jpg

相似文献

1
Multifocal Nodular Fatty Sparing Mimicking Hepatic Tumors.
Cureus. 2023 Jan 2;15(1):e33254. doi: 10.7759/cureus.33254. eCollection 2023 Jan.
2
Multiple liver pseudotumors due to hepatic steatosis and fatty sparing: A non-invasive imaging approach.
Eur J Radiol Open. 2019 Jan 12;6:56-59. doi: 10.1016/j.ejro.2019.01.002. eCollection 2019.
3
Hepatic pseudotumor due to nodular fatty sparing: the diagnostic role of opposed-phase MRI.
AJR Am J Roentgenol. 2004 Sep;183(3):721-4. doi: 10.2214/ajr.183.3.1830721.
4
Nodular focal fat sparing of liver mimicking hepatocellular carcinoma in contrast-enhanced ultrasound: A case report.
Medicine (Baltimore). 2019 May;98(22):e15431. doi: 10.1097/MD.0000000000015431.
5
CT and MRI findings of multifocal hepatic steatosis mimicking malignancy.
Abdom Imaging. 2002 Nov-Dec;27(6):708-10. doi: 10.1007/s00261-002-0019-1.
6
Multifocal Nodular Fatty Infiltration of the Liver: A Rare Benign Disorder That Mimics Metastatic Liver Disease.
ACG Case Rep J. 2021 Feb 22;8(2):e00537. doi: 10.14309/crj.0000000000000537. eCollection 2021 Feb.
7
The cheating liver: imaging of focal steatosis and fatty sparing.
Expert Rev Gastroenterol Hepatol. 2016 Jun;10(6):671-8. doi: 10.1586/17474124.2016.1169919. Epub 2016 Apr 6.
8
Radiopathologic findings of multifocal nodular hepatic steatosis.
Radiol Case Rep. 2024 May 10;19(8):3096-3101. doi: 10.1016/j.radcr.2024.04.029. eCollection 2024 Aug.
10
Multifocal nodular lesions in fatty liver mimicking neoplastic disease: a case report.
Future Sci OA. 2023 Mar 28;9(4):FSO848. doi: 10.2144/fsoa-2022-0084. eCollection 2023 Apr.

引用本文的文献

1
Radiopathologic findings of multifocal nodular hepatic steatosis.
Radiol Case Rep. 2024 May 10;19(8):3096-3101. doi: 10.1016/j.radcr.2024.04.029. eCollection 2024 Aug.

本文引用的文献

1
Hyperintensity at fat spared area in steatotic liver on the hepatobiliary phase MRI.
Diagn Interv Radiol. 2019 Nov;25(6):416-420. doi: 10.5152/dir.2019.18535.
2
Multiple liver pseudotumors due to hepatic steatosis and fatty sparing: A non-invasive imaging approach.
Eur J Radiol Open. 2019 Jan 12;6:56-59. doi: 10.1016/j.ejro.2019.01.002. eCollection 2019.
4
Fatty liver deposition and sparing: a pictorial review.
Insights Imaging. 2011 Oct;2(5):533-538. doi: 10.1007/s13244-011-0112-5. Epub 2011 Jun 28.
5
The varied sonographic appearances of focal fatty liver disease: review and diagnostic algorithm.
Clin Radiol. 2012 Apr;67(4):372-9. doi: 10.1016/j.crad.2011.10.020. Epub 2012 Jan 20.
6
Fatty liver disease: MR imaging techniques for the detection and quantification of liver steatosis.
Radiographics. 2009 Jan-Feb;29(1):231-60. doi: 10.1148/rg.291075123.
7
Hepatic pseudotumor due to nodular fatty sparing: the diagnostic role of opposed-phase MRI.
AJR Am J Roentgenol. 2004 Sep;183(3):721-4. doi: 10.2214/ajr.183.3.1830721.
9
Focal sparing in the fatty liver as a sign of an adjacent space-occupying lesion.
AJR Am J Roentgenol. 1998 Nov;171(5):1391-5. doi: 10.2214/ajr.171.5.9798885.
10
Radiologically-guided cutting needle biopsy for suspected malignancy in childhood.
Clin Radiol. 1993 Oct;48(4):236-40. doi: 10.1016/s0009-9260(05)80303-4.

文献AI研究员

20分钟写一篇综述,助力文献阅读效率提升50倍。

立即体验

用中文搜PubMed

大模型驱动的PubMed中文搜索引擎

马上搜索

文档翻译

学术文献翻译模型,支持多种主流文档格式。

立即体验