• 文献检索
  • 文档翻译
  • 深度研究
  • 学术资讯
  • Suppr Zotero 插件Zotero 插件
  • 邀请有礼
  • 套餐&价格
  • 历史记录
应用&插件
Suppr Zotero 插件Zotero 插件浏览器插件Mac 客户端Windows 客户端微信小程序
定价
高级版会员购买积分包购买API积分包
服务
文献检索文档翻译深度研究API 文档MCP 服务
关于我们
关于 Suppr公司介绍联系我们用户协议隐私条款
关注我们

Suppr 超能文献

核心技术专利:CN118964589B侵权必究
粤ICP备2023148730 号-1Suppr @ 2026

文献检索

告别复杂PubMed语法,用中文像聊天一样搜索,搜遍4000万医学文献。AI智能推荐,让科研检索更轻松。

立即免费搜索

文件翻译

保留排版,准确专业,支持PDF/Word/PPT等文件格式,支持 12+语言互译。

免费翻译文档

深度研究

AI帮你快速写综述,25分钟生成高质量综述,智能提取关键信息,辅助科研写作。

立即免费体验

颅内脂肪瘤中类似出血的磁化率或化学位移伪影——病例系列及文献综述

Susceptibility or chemical shift artifacts in intracranial lipomas mimicking hemorrhage - Case series with review of the literature.

作者信息

Kashyap Ravindar, Kiran Rajkumar Swathi, Shivakrishna Satkuri, Nagarajan Krishnan

机构信息

Department of Radio-Diagnosis, Jawaharlal Institute of Postgraduate Medical Education and Research, Pondicherry, India.

出版信息

J Neurosci Rural Pract. 2022 Oct-Dec;13(4):759-763. doi: 10.25259/JNRP-2022-1-39-R2-(2332). Epub 2022 Oct 22.

DOI:10.25259/JNRP-2022-1-39-R2-(2332)
PMID:36743750
原文链接:https://pmc.ncbi.nlm.nih.gov/articles/PMC9893937/
Abstract

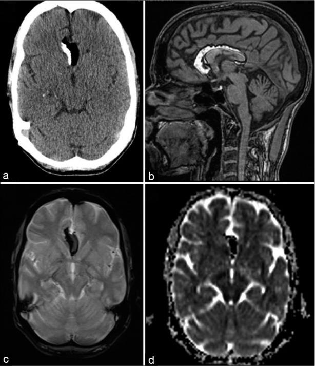
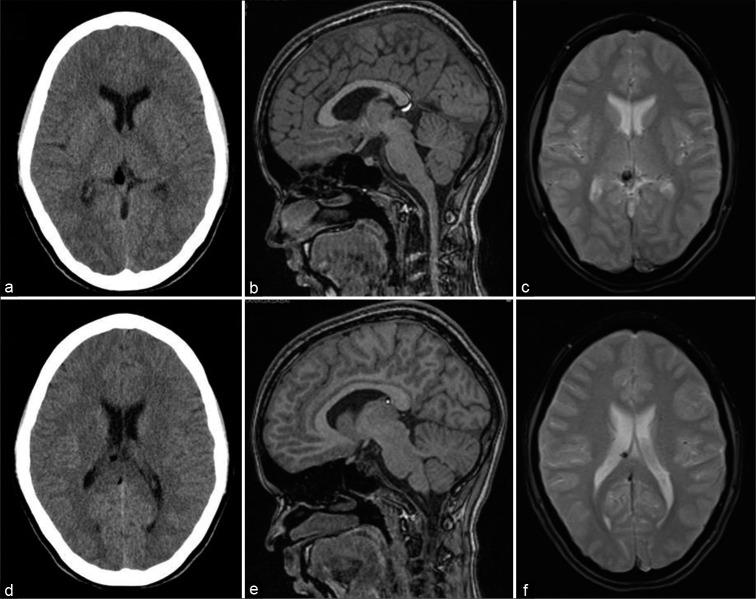
Intracranial lipomas are rare congenital malformations which are present in choroid plexus or subarachnoid locations along the corpus callosum and cisterns. Most of them are identified incidentally during neuroimaging studies done for other indications. Sometimes, they may be associated with other anomalies such as agenesis of corpus callosum and vascular malformations. In magnetic resonance imaging (MRI), they may be associated with chemical shift artifact (CSA) due to their lipid content and can mimic other more serious intracranial lesions. This effect seen in gradient echo MRI sequences can also be used to confirm the presence of these lesions. We report the imaging findings of six patients with intracranial lipomas that showed this chemical shift artifact with a review of the literature.

摘要

颅内脂肪瘤是罕见的先天性畸形,存在于脉络丛或沿胼胝体和脑池的蛛网膜下腔位置。它们大多在因其他指征进行的神经影像学检查中偶然发现。有时,它们可能与其他异常有关,如胼胝体发育不全和血管畸形。在磁共振成像(MRI)中,由于其脂质含量,它们可能与化学位移伪影(CSA)相关,并可模仿其他更严重的颅内病变。在梯度回波MRI序列中看到的这种效应也可用于确认这些病变的存在。我们报告了6例显示这种化学位移伪影的颅内脂肪瘤患者的影像学表现,并对文献进行了综述。

https://cdn.ncbi.nlm.nih.gov/pmc/blobs/8235/9893937/9536a0448cc4/JNRP-13-759-g006.jpg
https://cdn.ncbi.nlm.nih.gov/pmc/blobs/8235/9893937/5e5013c12441/JNRP-13-759-g001.jpg
https://cdn.ncbi.nlm.nih.gov/pmc/blobs/8235/9893937/56acdb8c7d2c/JNRP-13-759-g002.jpg
https://cdn.ncbi.nlm.nih.gov/pmc/blobs/8235/9893937/42e96daed099/JNRP-13-759-g003.jpg
https://cdn.ncbi.nlm.nih.gov/pmc/blobs/8235/9893937/0022a77ddaf4/JNRP-13-759-g004.jpg
https://cdn.ncbi.nlm.nih.gov/pmc/blobs/8235/9893937/80916229d7a2/JNRP-13-759-g005.jpg
https://cdn.ncbi.nlm.nih.gov/pmc/blobs/8235/9893937/9536a0448cc4/JNRP-13-759-g006.jpg
https://cdn.ncbi.nlm.nih.gov/pmc/blobs/8235/9893937/5e5013c12441/JNRP-13-759-g001.jpg
https://cdn.ncbi.nlm.nih.gov/pmc/blobs/8235/9893937/56acdb8c7d2c/JNRP-13-759-g002.jpg
https://cdn.ncbi.nlm.nih.gov/pmc/blobs/8235/9893937/42e96daed099/JNRP-13-759-g003.jpg
https://cdn.ncbi.nlm.nih.gov/pmc/blobs/8235/9893937/0022a77ddaf4/JNRP-13-759-g004.jpg
https://cdn.ncbi.nlm.nih.gov/pmc/blobs/8235/9893937/80916229d7a2/JNRP-13-759-g005.jpg
https://cdn.ncbi.nlm.nih.gov/pmc/blobs/8235/9893937/9536a0448cc4/JNRP-13-759-g006.jpg

相似文献

1
Susceptibility or chemical shift artifacts in intracranial lipomas mimicking hemorrhage - Case series with review of the literature.颅内脂肪瘤中类似出血的磁化率或化学位移伪影——病例系列及文献综述
J Neurosci Rural Pract. 2022 Oct-Dec;13(4):759-763. doi: 10.25259/JNRP-2022-1-39-R2-(2332). Epub 2022 Oct 22.
2
Intracranial lipomas: importance of localization.颅内脂肪瘤:定位的重要性。
Neuroradiology. 2006 Jan;48(1):1-7. doi: 10.1007/s00234-005-0001-z. Epub 2005 Oct 20.
3
Neuroimaging Spectrum of Intracranial Lipomas.颅内脂肪瘤的神经影像学特征
Cureus. 2023 Feb 16;15(2):e35063. doi: 10.7759/cureus.35063. eCollection 2023 Feb.
4
MRI findings in 32 consecutive lipomas using conventional and advanced sequences.使用传统序列和先进序列对32例连续性脂肪瘤进行的MRI检查结果。
J Neuroimaging. 1999 Jul;9(3):134-40. doi: 10.1111/jon199993134.
5
Agenesis of corpus callosum and intraventricular lipomas.胼胝体发育不全和脑室内脂肪瘤。
Pediatr Neurol. 1992 Jul-Aug;8(4):307-9. doi: 10.1016/0887-8994(92)90372-6.
6
A diagnostic pitfall for intracranial aneurysms in time-of-flight MR angiography: small intracranial lipomas.时间飞跃法磁共振血管造影中颅内动脉瘤的一个诊断陷阱:小的颅内脂肪瘤。
AJR Am J Roentgenol. 2008 Jan;190(1):W62-7. doi: 10.2214/AJR.07.2517.
7
Lipoma with Agenesis of Corpus Callosum: 2 Case Reports and Literature Review.脂肪瘤伴胼胝体发育不全:2例报告及文献复习
World Neurosurg. 2019 May;125:123-125. doi: 10.1016/j.wneu.2019.01.088. Epub 2019 Jan 28.
8
A Pericallosal Lipoma Case with Abnormal Vasculature Mimicking Arteriovenous Malformation.胼周脂肪瘤病例伴异常血管,类似动静脉畸形。
Neurol India. 2019 Sep-Oct;67(5):1331-1333. doi: 10.4103/0028-3886.271237.
9
A Rare Case of Pericallosal Lipoma Associated with Bilaterally Symmetrical Lateral Ventricular Choroid Plexus Lipomas without Corpus Callosal Anomalies.一例罕见的胼胝体脂肪瘤合并双侧对称性侧脑室脉络丛脂肪瘤且无胼胝体异常的病例。
J Clin Imaging Sci. 2013 Dec 31;3:69. doi: 10.4103/2156-7514.124109. eCollection 2013.
10
Lipomas of the central nervous system in the newborns - a report of eight cases.新生儿中枢神经系统脂肪瘤——八例报告
Pol J Radiol. 2011 Oct;76(4):63-8.

引用本文的文献

1
A Rare Radiological Mimic of Intracranial Hemorrhage -Interpeduncular Lipoma.一种罕见的颅内出血影像学模拟物——脚间池脂肪瘤。
Neurohospitalist. 2025 Mar 11:19418744251325672. doi: 10.1177/19418744251325672.

本文引用的文献

1
Fat-water interface on susceptibility-weighted imaging and gradient-echo imaging: comparison of phantoms to intracranial lipomas.在磁敏感加权成像和梯度回波成像上的脂肪-水界面:与颅内脂肪瘤的体模比较。
AJR Am J Roentgenol. 2013 Oct;201(4):902-7. doi: 10.2214/AJR.12.10049.
2
Small intracranial lipomas may be a frequent finding on computed tomography of the brain. A case series.小型颅内脂肪瘤在脑部计算机断层扫描中可能是常见的发现。病例系列报告。
Neuroradiol J. 2013 Feb;26(1):27-9. doi: 10.1177/197140091302600104. Epub 2013 Mar 8.
3
Susceptibility artifacts in lipomas.
脂肪瘤的易感性伪影。
Neurol India. 2013 Jan-Feb;61(1):56-9. doi: 10.4103/0028-3886.108012.
4
Intracranial lipomas: clinical appearances on neuroimaging and clinical significance.颅内脂肪瘤:神经影像学的临床表现及临床意义
J Neurol. 2009 Jun;256(6):851-5. doi: 10.1007/s00415-009-5087-5. Epub 2009 Mar 12.
5
Intracranial lipomas: importance of localization.颅内脂肪瘤:定位的重要性。
Neuroradiology. 2006 Jan;48(1):1-7. doi: 10.1007/s00234-005-0001-z. Epub 2005 Oct 20.
6
MRI findings in 32 consecutive lipomas using conventional and advanced sequences.使用传统序列和先进序列对32例连续性脂肪瘤进行的MRI检查结果。
J Neuroimaging. 1999 Jul;9(3):134-40. doi: 10.1111/jon199993134.
7
Pathogenesis of intracranial lipoma: an MR study in 42 patients.颅内脂肪瘤的发病机制:42例患者的磁共振成像研究
AJR Am J Roentgenol. 1990 Oct;155(4):855-64; discussion 865. doi: 10.2214/ajr.155.4.2119122.
8
Intracranial chemical-shift artifacts on MR images of the brain: observations and relation to sampling bandwidth.脑部磁共振成像上的颅内化学位移伪影:观察结果及其与采样带宽的关系
AJR Am J Roentgenol. 1990 Jun;154(6):1275-83. doi: 10.2214/ajr.154.6.2110742.
9
MR imaging of choroid plexus lipomas.脉络丛脂肪瘤的磁共振成像
AJNR Am J Neuroradiol. 1990 Jan-Feb;11(1):202-4.
10
Curvilinear and tubulonodular varieties of lipoma of the corpus callosum: an MR and CT study.胼胝体脂肪瘤的曲线形和管状结节形变体:一项磁共振成像和计算机断层扫描研究
J Comput Assist Tomogr. 1991 Sep-Oct;15(5):805-10. doi: 10.1097/00004728-199109000-00015.