Suppr超能文献

从脊髓脊膜膨出初次修复手术获取的神经结构切除边缘中真皮成分的组织病理学表现。

Histopathological presence of dermal elements in resected margins of neural structures obtained from initial repair surgery for myelomeningocele.

作者信息

Murakami Nobuya, Kurogi Ai, Suzuki Satoshi O, Shimogawa Takafumi, Mukae Nobutaka, Yoshimoto Koji, Morioka Takato

机构信息

Department of Neurosurgery, Fukuoka Children's Hospital, Fukuoka, Japan.

Department of Psychiatry, Shourai Hospital, Karatsu, Japan.

出版信息

Surg Neurol Int. 2023 Jan 6;14:7. doi: 10.25259/SNI_989_2022. eCollection 2023.

Abstract

BACKGROUND

Development of dermoid or epidermoid cysts in myelomeningocele (MMC) sites is generally thought to occur in a delayed fashion due to implantation of dermal elements during initial repair surgery. Another theory is that dermal and dermoid elements may already be present within dysplastic neural structures at birth.

METHODS

We experienced histopathological presence of dermal elements in resected tissues at initial repair surgery in four out of 18 cases with MMC who required resection of parts or margins of the neural structures to perform cord untethering. Since one of these cases has already been reported, we describe the clinicopathological findings for the remaining three cases.

RESULTS

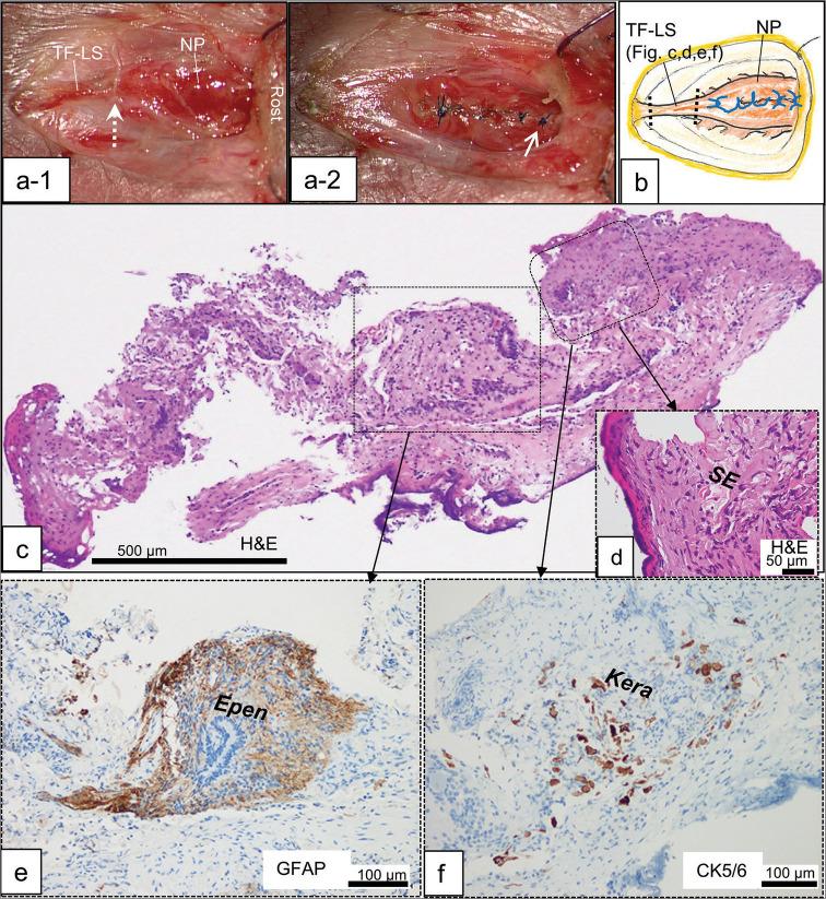
In Case1, cryptic dermoid elements were discovered in the terminal filum-like structure (FT-LS) caudal to the open neural placode (NP). The FT-LS had histopathological characteristics similar to the retained medullary cord. In Case 2, dermoid elements were discovered in the caudal margin of the dysplastic conus medullaris. In Case 3, a thin squamous epithelial layer overlapped the rostral margin of the NP where the NP was located near the skin. Case 1 developed an epidermoid cyst at 1 year and 2 months of age, which was totally resected.

CONCLUSION

Prenatally existing cryptic dermoid elements in the caudal portion of neural structures and remnants of dermal elements overlapping the rostral margin of the NP are associated with delayed occurrence of dermoid/ epidermoid cysts. Postoperative histopathological investigation of the resected specimens is recommended. Once dermal elements are revealed, repeated imaging examination and additional surgery should be considered.

摘要

背景

脊髓脊膜膨出(MMC)部位皮样囊肿或表皮样囊肿的形成通常被认为是由于初次修复手术期间真皮成分植入而延迟发生。另一种理论是,真皮和皮样成分在出生时可能已经存在于发育异常的神经结构中。

方法

在18例需要切除神经结构部分或边缘以进行脊髓松解术的MMC病例中,我们发现4例在初次修复手术切除的组织中有真皮成分的组织病理学表现。由于其中1例已被报道,我们描述其余3例的临床病理结果。

结果

病例1中,在开放神经板(NP)尾侧的终丝样结构(FT-LS)中发现隐匿性皮样成分。FT-LS具有与保留的脊髓相似的组织病理学特征。病例2中,在发育异常的圆锥马尾尾缘发现皮样成分。病例3中,一层薄的鳞状上皮覆盖在NP靠近皮肤的头侧边缘。病例1在1岁2个月时出现表皮样囊肿,已完全切除。

结论

神经结构尾部产前存在的隐匿性皮样成分以及与NP头侧边缘重叠的真皮成分残余与皮样/表皮样囊肿的延迟发生有关。建议对切除标本进行术后组织病理学检查。一旦发现真皮成分,应考虑重复影像学检查和额外手术。

https://cdn.ncbi.nlm.nih.gov/pmc/blobs/dc70/9899468/8946e7f5bf3f/SNI-14-7-g001.jpg

文献AI研究员

20分钟写一篇综述,助力文献阅读效率提升50倍。

立即体验

用中文搜PubMed

大模型驱动的PubMed中文搜索引擎

马上搜索

文档翻译

学术文献翻译模型,支持多种主流文档格式。

立即体验