Suppr超能文献

无特定病原体(SPF)猪感染猪圆环病毒3型后的组织病理学变化及炎症反应

Histopathological Changes and Inflammatory Response in Specific Pathogen-Free (SPF) with Porcine Circovirus Type 3 Infection.

作者信息

Deng Huidan, Zhu Song, Zhu Ling, Jian Zhijie, Zhou Yuancheng, Li Fengqin, Deng Lishuang, Deng Junliang, Deng Youtian, Lai Siyuan, Xu Zhiwen

机构信息

College of Veterinary Medicine, Sichuan Agricultural University, Chengdu 611130, China.

Animal Biology Technology Center, Sichuan Agricultural University, Chengdu 611130, China.

出版信息

Animals (Basel). 2023 Feb 2;13(3):530. doi: 10.3390/ani13030530.

Abstract

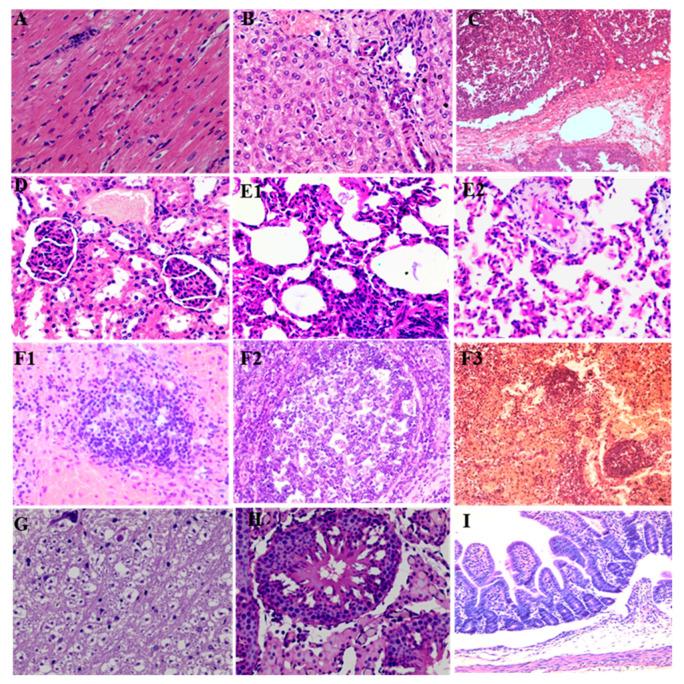
Since the first report of PCV3 virus infection in 2016, it has been linked to multisystemic inflammation, reproductive failure, cardiac pathology, and clinical indications resembling porcine dermatitis and nephropathy syndrome (PDNS). However, the pathogenesis and clinical significance of PCV3 is still unclear. In this study, a PCV3 infection model was created using SPF pigs, and histopathology and fluorescence quantitative PCR were utilized to examine PCV3's pathogenicity. Reductions in body weight gain and fever were observed during this study. However, other clinical signs such as Dermatitis and Nephropathy Syndrome were not observed through the study. Viremia was detected in the PCV3-inoculated group from 17 days post-inoculation (p.i.) until the end of the study. Nasal shedding was detected from 21 to 35 dpi and fecal shedding was detected during 25-33 days and 39 days, respectively. Gross lesions and histological evaluation were detected in various tissues and organs, including the lung, heart, kidney, lymph nodes, spleen, liver, small intestine, and testis. The heart, lung, liver, kidney, lymph nodes, and spleen showed pathological changes. The pathological features include swelling, inflammation, cell degeneration, necrosis, and hemorrhage. The lesions are consistent with multisystemic inflammation. Tissue viral load results showed only heart, lung, liver, kidney, lymph nodes, and spleen was positive by qRT-PCR. Moreover, the pro-inflammation cytokines in serum increased a lot in the PCV3-inoculated group compared to the control group, demonstrating that the induced inflammation response may be the cause of tissue damage in PCV3-infection. This study demonstrated that PCV3 can produce mild pathological damage to multiple organs, especially multisystemic inflammatory cell infiltration and prolonged viremia, viral shedding in nasal secretions. This is the first in vivo characterization of PCV3 infection in the SPF piglets model using isolated PCV3 strain, and this is also the first time to show the gross and pathological lesion with all tissue and organs in the PCV3-inoculated group. Our findings might serve as a starting point for more investigation into PCV3's pathogenic mechanism.

摘要

自2016年首次报告猪圆环病毒3型(PCV3)感染以来,它一直与多系统炎症、繁殖障碍、心脏病变以及类似猪皮炎肾病综合征(PDNS)的临床症状有关。然而,PCV3的发病机制和临床意义仍不明确。在本研究中,利用无特定病原体(SPF)猪建立了PCV3感染模型,并采用组织病理学和荧光定量PCR检测PCV3的致病性。在本研究过程中观察到体重增加减少和发热现象。然而,在整个研究过程中未观察到其他临床症状,如皮炎和肾病综合征。在接种PCV3的组中,从接种后17天(p.i.)直至研究结束均检测到病毒血症。在接种后21至35天检测到鼻腔排毒,在25 - 33天和39天分别检测到粪便排毒。在包括肺、心脏、肾脏、淋巴结、脾脏、肝脏、小肠和睾丸在内的各种组织和器官中检测到大体病变和组织学评估结果。心脏、肺、肝脏、肾脏、淋巴结和脾脏出现了病理变化。病理特征包括肿胀、炎症、细胞变性、坏死和出血。这些病变与多系统炎症一致。组织病毒载量结果显示,仅心脏、肺、肝脏、肾脏、淋巴结和脾脏通过qRT-PCR呈阳性。此外,与对照组相比,接种PCV3的组血清中的促炎细胞因子大量增加,表明诱导的炎症反应可能是PCV3感染中组织损伤的原因。本研究表明,PCV3可对多个器官产生轻度病理损伤,尤其是多系统炎症细胞浸润和持续性病毒血症、鼻腔分泌物中的病毒排毒。这是首次在SPF仔猪模型中使用分离的PCV3毒株对PCV3感染进行体内特征描述,也是首次展示接种PCV3组所有组织和器官的大体和病理病变。我们的研究结果可能为进一步研究PCV3的致病机制提供一个起点。

https://cdn.ncbi.nlm.nih.gov/pmc/blobs/bd8d/9913417/a05f384ec2bc/animals-13-00530-g001.jpg

文献检索

告别复杂PubMed语法,用中文像聊天一样搜索,搜遍4000万医学文献。AI智能推荐,让科研检索更轻松。

立即免费搜索

文件翻译

保留排版,准确专业,支持PDF/Word/PPT等文件格式,支持 12+语言互译。

免费翻译文档

深度研究

AI帮你快速写综述,25分钟生成高质量综述,智能提取关键信息,辅助科研写作。

立即免费体验