Suppr超能文献

颅骨骨肉瘤多发转移的综合保守治疗:1例报告

Comprehensive conservative treatment for multiple metastases of skull osteosarcoma: A case report.

作者信息

Jiang Dawei, Wang Jingming, Chen Qian, Wu Junyi, Xu Ming, Yu Xiuchun

机构信息

Department of Orthopedics, 960th Hospital of PLA, Jinan, China.

出版信息

Front Neurol. 2023 Jan 26;14:1037673. doi: 10.3389/fneur.2023.1037673. eCollection 2023.

Abstract

BACKGROUND

Skull osteosarcoma is relatively rare, and it is difficult to be diagnosed according to medical history and imaging examination due to the complex structure and diverse components of the brain. Consequently, there is only a limited number of patients who can undergo neoadjuvant chemotherapy before the operation. Although neoadjuvant chemotherapy plays an important role in the treatment of osteosarcoma, there is still a "bottleneck" in the current treatment method which when pulmonary metastasis occurs, or surgical treatment is not Enneking appropriate. Under such circumstances, the choice of treatment can be an issue.

CASE

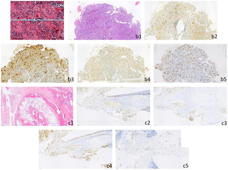
A 16-year-old male patient with multiple metastases of skull osteosarcoma was reported. The patient suffered not only tinnitus and hearing loss in the right ear but also right facial paralysis and headache. The preoperative brain MRI showed a tumor in the right cerebellopontine angle (CPA) area. He underwent skull tumor resection at another hospital in November 2018, during which process the biopsy revealed epithelioid osteoblastoma-like osteosarcoma. The patient had supplemental radiotherapy 1 month after surgery because of tumor recurrence. 32 months afterward, pulmonary metastases and multiple bone metastases were found. Then the patient underwent multiple conservative treatments which include Denosumab, Anlotinib, and DIA (cisplatin + ifosfamide + doxorubicin) chemotherapy at our hospital. After a series of 6 cycles of treatment, the patient can walk without aid. Lactate dehydrogenase (LDH) and Alkaline phosphatase (AKP) returned to a normal level. Fluorodeoxyglucose (FDG) metabolism in all bone metastases decreased to normal except for the ones in the proximal left femur, and the FDG metabolism in the left femur is significantly lower than that before treatment. Multiple bone metastases showed different extents of high-density calcification, and the volume of the local bone metastases has been reduced significantly. The patient's condition stayed stable at latest follow-up.

CONCLUSION

We found that multiple conservative treatments, which include Denosumab, Anlotinib and DIA chemotherapy, can improve patients' life quality, and help avoid further osteolytic destruction for patients with skull osteosarcoma and multiple metastases. Its specific mechanism and scope of the application still need to be further studied.

摘要

背景

颅骨骨肉瘤相对罕见,由于脑部结构复杂且组成多样,依据病史和影像学检查难以确诊。因此,仅有少数患者能够在手术前接受新辅助化疗。尽管新辅助化疗在骨肉瘤治疗中发挥着重要作用,但当前的治疗方法仍存在“瓶颈”,即出现肺转移或手术治疗不符合恩内肯分期标准的情况。在这种情形下,治疗方案的选择可能成为一个问题。

病例

报告了一名16岁男性颅骨骨肉瘤多发转移患者。该患者不仅右耳耳鸣、听力丧失,还伴有右侧面部麻痹和头痛。术前脑部磁共振成像(MRI)显示右侧小脑脑桥角(CPA)区域有肿瘤。2018年11月,他在另一家医院接受了颅骨肿瘤切除术,术中活检显示为上皮样骨母细胞瘤样骨肉瘤。术后1个月,因肿瘤复发患者接受了补充放疗。32个月后,发现肺转移和多发骨转移。随后,该患者在我院接受了多种保守治疗,包括地诺单抗、安罗替尼以及DIA(顺铂+异环磷酰胺+阿霉素)化疗。经过一系列6个周期的治疗后,患者能够独立行走。乳酸脱氢酶(LDH)和碱性磷酸酶(AKP)恢复到正常水平。除左股骨近端骨转移外,所有骨转移灶的氟脱氧葡萄糖(FDG)代谢均降至正常,且左股骨的FDG代谢显著低于治疗前。多发骨转移灶呈现出不同程度的高密度钙化,局部骨转移灶的体积已显著缩小。在最近一次随访时,患者病情保持稳定。

结论

我们发现,包括地诺单抗、安罗替尼和DIA化疗在内的多种保守治疗,能够提高颅骨骨肉瘤多发转移患者的生活质量,并有助于避免进一步的骨质溶解破坏。其具体机制和应用范围仍需进一步研究。

https://cdn.ncbi.nlm.nih.gov/pmc/blobs/9d02/9909182/b98eb3576033/fneur-14-1037673-g0001.jpg

文献AI研究员

20分钟写一篇综述,助力文献阅读效率提升50倍。

立即体验

用中文搜PubMed

大模型驱动的PubMed中文搜索引擎

马上搜索

文档翻译

学术文献翻译模型,支持多种主流文档格式。

立即体验